Ai nên trồng răng toàn hàm? Trường hợp mất răng thế nào thì phải trồng toàn hàm — hướng dẫn chuyên sâu từ ThS.BS Phạm Hùng Sơn – Chuyên gia Cấy ghép Implant Toàn Hàm hơn 20 năm kinh nghiệm. Bài viết này sẽ đặc biệt dài cho những ai muốn tìm hiểu – nghiên cứu chi tiết trước khi đến nha khoa thăm khám. Đồng thời, nội dung sẽ này giải thích chi tiết, dễ hiểu tất cả các thắc mắc liên quan đến giải pháp trồng răng toàn hàm. Bao gồm: Đối tượng, Phương pháp và Chi phí trồng răng chi tiết theo từng trường hợp và có ví dụ thực tế với ca đã trồng răng để cô chú/anh chị mất răng toàn hàm có thể tham khảo:
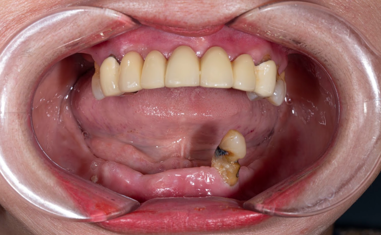
Khi mất hết răng hoặc hầu hết răng trong một hàm, nhiều người trung niên và lớn tuổi vẫn dùng hàm giả tháo lắp hoặc cầu răng sứ siêu dài (mài răng từ hàm bên trái sang hàm bên phải đến 5,6 thậm chí 7,8 răng). Ban đầu, hầu hết các cô chú anh chị thấy ổn — nhưng theo thời gian, hàm lỏng, đau, khó ăn nhai, thậm chí các răng trụ (cầu răng sứ) bị đau sinh ra hiện tượng lung lay càng ngày càng dữ dỗi, ăn uống là đau đớn, trệu trạo nên buộc phải nhổ dần.
Vấn đề đặt ra: Khi nào cần chuyển sang trồng răng toàn hàm cố định trên Implant? Và chi phí cần chuẩn bị là bao nhiêu? Tại sao trên mạng hay video cô chú xem các bác sĩ lại hay nói đến chọn giải pháp 4, 5 hoặc 6 trụ khi trồng răng toàn hàm?
Mục lục
- 1 Ai nên cân nhắc trồng răng toàn hàm?
- 2 Tại sao trồng toàn hàm thường chỉ cần 4–6 trụ Implant mà không cần 12–14 trụ?
- 3 Cấu phần chi phí trồng răng toàn hàm (những khoản cần biết)
- 4 Bảng tính ví dụ — chi phí trồng răng toàn hàm theo số trụ & loại trụ (tham khảo)
- 5 Câu hỏi thường gặp (FAQ) — tóm tắt nhanh
- 6 Tại sao nên lựa chọn Nha khoa Olympia?
- 7 Kết luận — nên làm gì nếu bạn đang dùng hàm giả hoặc cầu răng lung lay?
- 8 Đặt lịch thăm khám & tư vấn miễn phí
- 9 Tham khảo các bài viết liên quan
Ai nên cân nhắc trồng răng toàn hàm?
Trồng răng toàn hàm là giải pháp phục hình cố định hiện đại, dành cho những trường hợp mất răng gần như toàn bộ, không thể ăn nhai bằng răng thật nữa. Theo kinh nghiệm điều trị của ThS.BS Phạm Hùng Sơn (>20 năm Implant) và BS Bùi Hưng (Implant Kỹ thuật số), có 5 nhóm khách hàng nên cân nhắc sớm:
1. Người đã mất răng nhiều năm, xương hàm tiêu đáng kể
-
Hàm răng tháo lắp không còn bám chắc, ăn nhai lỏng lẻo.
-
Xương hàm bị tiêu khiến mặt hóp, lão hóa nhanh.
→ Trồng toàn hàm giúp khôi phục khả năng ăn nhai, hạn chế tiêu xương tiếp tục.
2. Người đang dùng hàm giả tháo lắp nhưng gặp đau – loét – vướng víu
-
Hàm giả lỏng, lệch, gây ê buốt.
-
Khó ăn nhai đồ cứng.
-
Tự ti khi nói cười vì hàm dễ rơi.
→ Chuyển sang răng cố định trên 4 hoặc 6 trụ Implant giúp ổn định tuyệt đối.
3. Người mất nhiều răng liên tiếp, răng còn lại yếu – lung lay
Khi số răng còn lại không đủ để làm cầu răng hoặc đã bị bệnh lý nha chu nặng → cần phương án ổn định lâu dài hơn.

4. Người muốn phục hồi toàn bộ hàm răng để ăn nhai như trước
-
Muốn quay lại ăn nhai thịt dai, xương mềm…
-
Muốn răng chắc, đẹp, không phải tháo ra mỗi tối.
-
Muốn một hàm răng cố định giúp trẻ trung hơn.
5. Người muốn giảm chi phí và rút ngắn thời gian điều trị
Trồng từng răng một sẽ rất tốn kém và kéo dài điều trị.
→ Trồng toàn hàm 4 trụ hoặc 6 trụ giúp tối ưu chi phí nhưng vẫn đảm bảo ăn nhai chắc chắn.

Dấu hiệu cho thấy bạn nên khám và cân nhắc trồng toàn hàm ngay
-
Mất răng lâu năm + mặt hóp, móm, lão hóa nhanh.
-
Khó ăn nhai: ăn thịt dai, hạt cứng là đau – khó.
-
Hơi thở có mùi kéo dài do răng hỏng, răng mục.
-
Răng lung lay, hái chùm.
-
Hàm tháo lắp đang dùng ngày càng lỏng.
Nếu xuất hiện ≥2 dấu hiệu, cô chú/ anh chị là có thể nên đọc tiếp bài viết này để biết mình có phù hợp cho điều trị toàn hàm hay không?
Lời khuyên từ chuyên gia Implant
-
Càng mất răng lâu năm → xương tiêu càng nhiều → điều trị càng phức tạp và tốn kém.
-
Nếu khám sớm, bác sĩ có thể hạn chế tối đa việc phải tăng thể tích xương hàm bị thiếu hoặc nâng nền xoang bị sà xuống.
Nếu cô chú/anh chị mất răng đang có tình trạng này và muốn tư vấn sâu hơn xem mình có cần phục hồi lại chức năng ăn nhai với phương pháp trồng răng Implant bộ hàm hay không có thể chia sẻ thông tin trực tiếp tại bảng điền thông tin, đội ngũ chuyên gia bác sĩ của nha khoa Olympia sẽ chia sẻ tư vấn trực tiếp để cô chú/anh chị hiểu rõ hơn về tình trạng của mình:
Vậy: Phương pháp phục hình răng mất bằng trồng răng Implant toàn hàm là gì?
Trồng răng Implant toàn hàm là kỹ thuật phục hình hiện đại, trong đó bác sĩ đặt 4 trụ hoặc 6 trụ Implant vào xương hàm để tạo nền tảng chắc chắn, rồi gắn lên trên một hàm răng cố định (thường là răng sứ nguyên khối hoặc sứ rời).
→ Hiểu đơn giản: thay toàn bộ hàm răng đã mất bằng một hàm răng mới, cố định – không tháo ra, ăn nhai như răng thật.
Tại sao trồng toàn hàm thường chỉ cần 4–6 trụ Implant mà không cần 12–14 trụ?
Rất nhiều cô chú lớn tuổi mất răng hiểu nhầm việc mất răng toàn hàm bác sĩ sẽ trồng theo kiểu: Mất răng nào trồng răng đấy. Sẽ cấy 12-14 trụ trên cả 1 hàm răng. Đây là 1 quan điểm hoàn toàn sai lầm. Thực tế khi mất răng toàn hàm trồng Implant để phục hình răng mất, bác sĩ sẽ chỉ cấy 4, 5 hoặc 6 trụ trên 1 hàm mà thôi. Tại sao lại cấy ít như vậy khi mất hết cả răng? Tại sao trồng toàn hàm lại chỉ cần 4–6 trụ Implant mà không cần 12–14 trụ?
Đây là câu hỏi phổ biến. Lý do kỹ thuật và sinh lý sẽ được bác sĩ giải đáp chi tiết bên dưới như sau:
Nguyên tắc phân bổ lực — mỗi trụ có thể chịu lực cho nhiều răng
Mỗi trụ Implant là chân đỡ rất vững, khi đặt với khoảng cách và hướng đúng, các trụ sẽ phân phối đều lực nhai lên toàn hàm. Với phục hình dạng cầu khung hợp kim + răng sứ hoặc hàm liền khối, mỗi trụ có thể chịu lực cho 2–4 răng tuỳ vị trí. Vì vậy chỉ cần 4 trụ cho hàm có xương tốt; 5–6 trụ khi cần tăng ổn định (xương kém hoặc bệnh nhân nhai mạnh).
Kỹ thuật đặt trụ theo góc tối ưu giúp chịu lực tốt hơn
Thay vì đặt trụ thẳng đứng như trước đây, kỹ thuật hiện đại cho phép:
-
Trụ sau đặt nghiêng để tận dụng vùng xương dày
-
Trụ trước đặt thẳng trong vùng xương nanh – nơi rất chắc
Cách đặt này giúp tăng diện tích tiếp xúc xương – tăng độ ổn định, nên chỉ cần 4–6 trụ vẫn chịu lực nhai tốt cho cả hàm.

Xương hàm không tiêu đồng đều nên bác sĩ tận dụng vùng xương khỏe nhất
Sau khi mất răng nhiều năm, xương hàm thường tiêu lõm ở vùng răng cửa và răng hàm lớn.
Tuy nhiên, vùng răng nanh và vùng răng hàm nhỏ vẫn còn xương tốt, đủ để đặt trụ Implant.
👆 Bác sĩ sẽ đặt 4 hoặc 6 trụ chính xác vào những vị trí xương khỏe nhất, nên không cần đặt trụ ở 12–14 vị trí yếu hơn.
Phục hình nguyên khối phân bổ lực đều, không giống răng đơn lẻ
Khi trồng từng răng một, mỗi trụ Implant chỉ chịu lực của 1 răng → cần rất nhiều trụ.
Nhưng với phục hình toàn hàm:
-
Răng được thiết kế dạng nguyên khối
-
Lực nhai được chia đều lên tất cả các trụ
-
Không tạo điểm chịu lực quá mức ở bất kỳ vị trí nào
👉 Vì vậy ít trụ vẫn đảm bảo ăn nhai mạnh – ổn định – bền lâu.
Giảm phẫu thuật và chi phí, vẫn đảm bảo vững chắc
Trồng 12–14 trụ là giải pháp cực kỳ dư thừa về mặt kỹ thuật cho hầu hết bệnh nhân — tốn kém, phẫu thuật nhiều mà không đem lại lợi ích tương xứng. Số trụ tối ưu cân bằng giữa độ vững, chi phí và thời gian lành thương.
Nếu đặt 12–14 trụ:
-
Xâm lấn nhiều
-
Thời gian điều trị dài
-
Nguy cơ biến chứng cao
-
Chi phí đội lên rất lớn
Trong khi 4 hoặc 6 trụ:
-
Ít xâm lấn
-
Thời gian lành thương nhanh
-
Đủ vững chắc cho 1 hàm răng cố định
-
Tối ưu chi phí cho khách hàng
Các kỹ thuật phục hình hiện đại (khung Titanium, Zirconia liền khối, Thimble rời) giúp liên kết tốt
Hàm cố định được thiết kế để liên kết chắc trên các trụ, cho cảm giác răng thật và phân bố lực nhai tốt, giảm rủi ro quá tải từng trụ.
Kết luận: 4 trụ là đủ cho nhiều trường hợp (hàm dưới thường có tỷ lệ thành công cao), 5–6 trụ dành cho hàm trên hoặc khi xương tiêu nhiều/nhu cầu nhai lớn.
Mất răng toàn hàm: Trồng 4 trụ hay 6 trụ Implant là tốt nhất?
Kết luận theo chuyên gia Implant
Theo kinh nghiệm điều trị >20 năm của ThS.BS Phạm Hùng Sơn và Implant Kỹ thuật số BS Bùi Hưng:
👉 “Không phải đặt nhiều trụ mới chắc. Quan trọng là đặt đúng trụ – đúng vị trí – đúng góc – đúng vùng xương khỏe.”
👉 4 hoặc 6 trụ là tiêu chuẩn hiện đại, an toàn và tối ưu cho hầu hết trường hợp mất răng toàn hàm.
Bạn phù hợp cấy 4,5 hay 6 trụ Implant? Hãy để lại số điện thoại tại bảng đặt lịch thăm khám này để nhận tư vấn trực tiếp chi tiết các thông tin trước khi đến nha khoa thăm khám:
Cấu phần chi phí trồng răng toàn hàm (những khoản cần biết)
Một ca trồng toàn hàm bao gồm các khoản chính sau:

Tại Nha khoa Olympia chi phí trồng răng thông báo trên bảng giá là giá trọn gói: Trụ + Abutment + Mão răng sứ. Đây là chi phí TRỌN GÓI CHO 1 RĂNG IMPLANT. Tuy nhiên, khi trồng răng toàn hàm thì sẽ chia làm 2 phần (Có thể lên 3 phần với 1 số trường hợp đặc biệt khó):
- Chân trụ Implant bên dưới xương hàm. Số lượng trụ phụ thuộc vào nên xương của mỗi cô chú
- Hàm phục hình răng sứ lắp bên trên trụ
- Chi phí có thể phát sinh nếu phải xử lý nền xương (Rất hạn chế)
-
Chi phí phục hình toàn hàm (hàm sứ cố định): ở đây ta sử dụng 2 lựa chọn bạn yêu cầu:
-
Hàm sứ Zirconia nguyên khối (12 răng): 48.000.000 VNĐ (nếu phục hình đến răng số 6 hai bên);
-
Hàm Thimble (răng rời) 12 răng: 54.000.000 VNĐ.
-
-
Chi phí xử lý nền xương (nếu cần):
-
Tăng thể tích xương hàm bị thiếu: 3.000.000 – 10.000.000 VNĐ (tùy mức độ).
-
Nâng nền xoang bị sà xuống (hàm trên): 5.000.000 – 10.000.000 VNĐ.
-
-
Chi phí kiểm tra, chụp CT ConeBeam 3D, xét nghiệm, thuốc, công tái khám.
Lưu ý: Tại Nha khoa Olympia, chi phí được báo minh bạch, tư vấn cụ thể sau khi chụp CT 3D.
Cách Tiết Kiệm Chi Phí Trồng Răng Toàn Hàm Cho Người Cao Tuổi ThS BS Phạm Hùng Sơn
Bảng tính ví dụ — chi phí trồng răng toàn hàm theo số trụ & loại trụ (tham khảo)
Giả thiết: Tính cho 1 hàm. Phần “trụ” lấy đúng giá khuyến mãi trọn gói trụ trong bảng nhưng khi tính toàn hàm ta chỉ tính phần trụ (vì phần răng sứ toàn hàm đã có giá riêng). Đơn vị VNĐ.
Giá trụ tham khảo (giá khuyến mãi trên bảng bạn cung cấp)
-
Dentium (Hàn Quốc) — 12.000.000 / trụ (loại có sẵn)
-
SuperLine (Mỹ) — 16.500.000đ (loại có sẵn)
-
Neodent (Thụy Sĩ) — 22.500.000đ / trụ.
-
Straumann SLA (Thụy Sĩ) — 29.750.000đ / trụ.
-
Straumann SLActive — 34.850.000đ / trụ.
Trường hợp xem đến đây cô chú vấn chưa biết nếu mình mất răng toàn hàm nên chọn loại trụ Implant nào và hàm phục hình như thế nào hãy xem ngay video bên dưới hoặc liên hệ trực tiếp hotline cô chú sẽ được đội ngũ chuyên gia, bác sĩ của nha khoa tư vấn nhanh, chính xác nhất con số cụ thể mình sẽ cần đầu tư khi trồng răng toàn hàm
Trồng răng toàn hàm chọn loại nào BỀN – TỐT?
Để biết xem trường hợp mất răng của mình cụ thể cần cấy bao nhiêu trụ khi cấy Implant toàn hàm vui lòng gọi điện trực tiếp qua hotline để nhận tư vấn chi tiết nhất về số trụ, hàm trên trụ và quy trình, thời gian cấy ghép cụ thể tại đây:
A. Toàn hàm 4 trụ + Hàm Zirconia 12 răng (48.000.000 VNĐ)
| Loại trụ | (Giá/trụ) | Số trụ | Chi phí trụ | Giá hàm Zirconia | Tổng ước tính |
|---|---|---|---|---|---|
| Dentium | 12.000.000 | 4 | 48.000.000 | 48.000.000 | 96.000.000 |
| SuperLine | 16.500.000 | 4 | 66.000.000 | 48.000.000 | 114.000.000 |
| Neodent | 22.500.000 | 4 | 90.000.000 | 48.000.000 | 138.000.000 |
Bác Lã Quý Vĩnh (B18 Tập thể Kim Liên; 79 tuổi) trồng toàn hàm trụ Dentium 4 trụ và 1 hàm sứ nguyên khối 12 răng
Trường hợp mất răng của bác Lã Quý Vĩnh (B18 Tập thể Kim Liên; 79 tuổi); Trồng Implant toàn hàm dưới
Tình trạng:
Dùng hàm tháo lắp tạm thời hàm dưới, còn vài chân răng không ăn uống được
Kế hoạch điều trị:
+ Nhổ các các chân răng còn sót lại
+ Trồng răng toàn hàm dưới 4 trụ Dentium của Hàn: 12 Triệu x 4 = 48 Triệu
+ Làm hàm sứ nguyên khối Zirconia 12 răng: 48 Triệu
Tổng chi phí điều trị trồng răng toàn hàm trên: 48 Triệu + 48 triệu = 96 Triệu
Trường hợp mất răng của chú Phan Thế Tuấn (58 tuổi; Cổ Loa, Đông Anh, Hà Nội); Trồng Implant toàn hàm trên
Chú Phan Thế Tuấn (58 tuổi; Cổ Loa, Đông Anh, Hà Nội); Trồng Implant toàn hàm trên
Tình trạng:
13/11/2024: Chú Tuấn đến đến phòng khám với ThS BS Phạm Hùng Sơn gặp tình trạng răng:
*Hàm trên
+ Lung lay các răng hàm trên bên phải số 3,4 (R13,14) và răng số 4,5 hàm trên bên trái (R24, 25)
+ Các răng còn lại hàm trên mất hết
*Hàm dưới:
+ Bên phải mất 2 răng cửa số 1, 2 (R41, 42)
+ Bên trái mất 2 răng cửa số 1, 2 (R31, 32)
+ Bên trái và bên phải đều mất các răng hàm số 6,7 (R46, 47, 36, 37)
Kế hoạch điều trị:
+ Trồng răng Implant chia thành nhiều giai đoạn. Cấy Implant toàn hàm trên trước
+Trồng 4 trụ Implant Dentium của Hàn Quốc: 12 Triệu x 4 = 48 Triệu
+ Làm hàm sứ nguyên khối Zirconia 12 răng: 48 Triệu
Tổng chi phí điều trị trồng răng toàn hàm trên: 48 Triệu + 48 triệu = 96 Triệu
B. Toàn hàm 4 trụ + Hàm Thimble rời 12 răng (54.000.000 VNĐ)
-
TRỤ DENTIUM CỦA HÀN QUỐC: 48.000.000 + 54.000.000 = 102.000.000 VNĐ
-
TRỤ SUPERLINE CỦA MỸ: 66.000.000 + 54.000.000 = 120.000.000 VNĐ
-
TRỤ NEODENT CỦA THỤY SỸ: 90.000.000 + 54.000.000 = 144.000.000 VNĐ
-
TRỤ STRAUMANN SLC CỦA THỤY SỸ: 140.000.000 + 72.000.000 = 212.000.000 VNĐ
*Đối với trường hợp cô chú muốn trồng trụ Straumann SLA cấy 4 trụ sẽ không dùng được loại hàm Zirconia 12 răng (48.000.000 VNĐ) hay Hàm Thimble rời 12 răng (54.000.000 VNĐ) này. Implant Straumann SLA cần dùng răng đồng bộ theo kết nối đặc biệt của hãng, hàm sứ rời (6 triệu/ răng).
| Loại trụ | (Giá/trụ) | Số trụ | Chi phí trụ | Giá hàm Thimble rời | Tổng ước tính |
|---|---|---|---|---|---|
| Dentium | 12.000.000 | 4 | 48.000.000 | 54.000.000 | 102.000.000 |
| SuperLine | 16.500.000 | 4 | 66.000.000 | 54.000.000 | 120.000.000 |
| Neodent | 22.500.000 | 4 | 90.000.000 | 54.000.000 | 144.000.000 |
| Straumann SLA | 35.000.000 | 4 | 140.000.000 | 72.000.000 | 212.000.000 |
Trường hợp mất răng của chú Bùi Đình Hợp (66 tuổi; Việt Kiều Mỹ); Trồng Implant toàn 2 hàm

Tình trạng:
22/10/2023: Chú Hợp về Việt Nam đến đến phòng khám tìm gặp ThS BS Phạm Hùng Sơn với tình trạng răng:
+ Dùng hàm tháo lắp đã lâu năm do mất răng 2 hàm
+ Có răng ngầm vùng răng cửa
Kế hoạch điều trị:
+ Nhổ răng ngầm
+ Trồng răng toàn hàm trên 4 trụ Straumann SLA của Thụy Sỹ: 35 Triệu x 4 = 140 Triệu
+ Trồng răng toàn hàm dưới 4 trụ Straumann SLA của Thụy Sỹ: 35 Triệu x 4 = 140 Triệu
+ Làm hàm sứ rời Thimble 12 răng hàm trên: 72 Triệu
+ Làm hàm sứ rời Thimble 12 răng hàm dưới: 72 Triệu
Tổng chi phí điều trị trồng răng toàn hàm trên: 140 Triệu x 2 + 54 triệu x 2 = 424 Triệu

C.Toàn hàm 5 trụ (tăng ổn định) + Hàm Zirconia 12 răng (48.000.000 VNĐ)
| Loại trụ | Giá/trụ | 5 trụ | Hàm Zirconia | Tổng |
|---|---|---|---|---|
| Dentium | 12.000.000 | 60.000.000 | 48.000.000 | 108.000.000 |
| SuperLine | 16.500.000 | 82.500.000 | 48.000.000 | 130.500.000 |
| Neodent | 22.500.000 | 112.500.000 | 48.000.000 | 160.500.000 |
*Đối với trường hợp cô chú muốn trồng trụ Straumann SLA cấy 4 trụ sẽ không dùng được loại hàm Zirconia 12 răng (48.000.000 VNĐ) này. Implant Straumann SLA cần dùng răng đồng bộ theo kết nối đặc biệt của hãng, hàm sứ rời (6 triệu/ răng)
Toàn hàm 5 trụ (tăng ổn định) + Hàm Thimble rời 12 răng (54.000.000 VNĐ)
| Loại trụ | Giá/trụ | 5 trụ | Hàm Thimble rời | Tổng |
|---|---|---|---|---|
| Dentium | 12.000.000 | 60.000.000 | 54.000.000 | 114.000.000 |
| SuperLine | 16.500.000 | 82.500.000 | 54.000.000 | 136.500.000 |
| Neodent | 22.500.000 | 112.500.000 | 54.000.000 | 166.500.000 |
| Straumann SLA | 35.000.000 | 175.000.000 | *72.000.000 | 247.000.000 |
*Đối với trường hợp cô chú muốn trồng trụ Straumann SLA cấy 4 trụ sẽ không dùng được loại hàm Zirconia 12 răng (48.000.000 VNĐ) hay Hàm Thimble rời 12 răng (54.000.000 VNĐ) này. Implant Straumann SLA cần dùng răng đồng bộ theo kết nối đặc biệt của hãng, hàm sứ rời (6 triệu/ răng)
Trường hợp mất răng của cô Phan Thị Hải Yến (SN 1965; Hồ Tùng Mậu, Hà Nội); Trồng Implant toàn 2 hàm
Cô Phan Thị Hải Yến (59 tuổi; Hồ Tùng Mậu – Hà Nội) Trồng Implant toàn hàm dưới 5 trụ Dentium
Tình trạng:
22/11/2024: Chú Hải Yến đến phòng khám tìm gặp ThS BS Phạm Hùng Sơn và bác sĩ Bùi Văn Hưng với tình trạng răng:
+ Hàm dưới mất toàn hàm, dùng hàm tháo lắp
+ Hàm trên dùng cầu răng sứ cầu đèo các răng siêu dài
Kế hoạch điều trị:
+ Trồng răng chia thành từng giai đoạn, trồng răng toàn hàm dưới trước, giai đoạn 2 sẽ xử lý phục hồi răng hàm trên
+ Trồng răng toàn hàm dưới 5 trụ Dentium của Hàn Quốc: 12 Triệu x 5 = 60 Triệu
+ Làm hàm sứ nguyên khối Zirconia 12 răng hàm trên: 48 Triệu
Tổng chi phí điều trị trồng răng toàn hàm trên: 60 Triệu + 48 triệu = 108 Triệu
Cô chú/anh chị mất răng muốn tham khảo chi phí trồng răng Implant toàn hàm hoặc tư vấn hướng điều trị trực tiếp với trường hợp mất răng cụ thể của mình muốn chọn phương án số lượng trụ và hàm răng sứ loại nào. Vui lòng liên hệ trực tiếp đến hotline của nha khoa tư vấn chi tiết, rõ ràng, minh bạch nhất:
D. Toàn hàm 6 trụ (ví dụ cho hàm “cần độ bền cao nhất”)
Toàn hàm 6 trụ (tăng ổn định) + Hàm Zirconia 12 răng (48.000.000 VNĐ)
| Loại trụ | Giá/trụ | 6 trụ | Hàm Zirconia | Tổng |
|---|---|---|---|---|
| Dentium | 12.000.000 | 72.000.000 | 48.000.000 | 120.000.000 |
| SuperLine | 16.500.000 | 99.000.000 | 48.000.000 | 147.000.000 |
| Neodent | 22.500.000 | 135.000.000 | 48.000.000 | 183.000.000 |
*Đối với trường hợp cô chú muốn trồng trụ Straumann SLA cấy 4 trụ sẽ không dùng được loại hàm Zirconia 12 răng (48.000.000 VNĐ) này. Implant Straumann SLA cần dùng răng đồng bộ theo kết nối đặc biệt của hãng, hàm sứ rời (6 triệu/ răng)
Toàn hàm 6 trụ + Thimble sứ rời 54 Triệu (ví dụ cho hàm “cần độ bền cao nhất”)
| Loại trụ | Giá/trụ | 6 trụ | Hàm Thimble sứ rời | Tổng |
|---|---|---|---|---|
| Dentium | 12.000.000 | 72.000.000 | 54.000.000 | 126.000.000 |
| SuperLine | 16.500.000 | 99.000.000 | 54.000.000 | 153.000.000 |
| Neodent | 22.500.000 | 135.000.000 | 54.000.000 | 189.000.000 |
| Straumann SLA | 35.000.000 | 210.000.000 | 72.000.000 | 282.000.000 |
*Đối với trường hợp cô chú muốn trồng trụ Straumann SLA cấy 4 trụ sẽ không dùng được loại hàm Zirconia 12 răng (48.000.000 VNĐ) hay Hàm Thimble rời 12 răng (54.000.000 VNĐ) này. Implant Straumann SLA cần dùng răng đồng bộ theo kết nối đặc biệt của hãng, hàm sứ rời (6 triệu/ răng)
Chú Đỗ Đức Tiến trồng toàn hàm Superline 6 trụ (chia thành các đợt cấy ghép), 12 răng hàm sứ rời Zirconia
Trường hợp mất răng của chú Đỗ Đức Tiến (63 tuổi; Hà Huy Tập- Hà Nội); Trồng Implant toàn hàm trên
Tình trạng:
26/06/2025: Chú Tiến đến đến phòng khám với tình trạng răng:
*Hàm trên
+ Dùng hàm tháo lắp đã lâu năm
+ Hàm trên còn các răng cửa (1 răng cửa bên phải R11; 2 răng cửa bên trái R21, R22 và 1 răng nanh răng số 3 là R23) và 1 răng 8 hàm trên bên trái
+ Còn chân răng số 2 và 3 bên phải (R13, 12)
*Hàm dưới:
+ Làm răng từ răng số 4 đến răng số 8 bên phải (R44-48)
+ Cầu răng từ răng số 3 đến rắng số 7 bên trái (R33-37)
Kế hoạch điều trị:
+ Cả răng hàm trên và hàm dưới còn này đều ở tình trạng lung lay, hoặc còn chân rất khó bảo tồn nhổ bỏ
+ Trồng răng toàn hàm trên 6 trụ Superline của Mỹ: 16,5 Triệu x 6 = 99 Triệu
+ Làm hàm sứ rời Zirconia 12 răng: 54 Triệu
Tổng chi phí điều trị trồng răng toàn hàm trên: 99 Triệu + 54 triệu = 153 Triệu
-
TRỤ NEODENT CỦA THỤY SỸ: 135.000.000 + 54.000.000 = 189.000.000
Trường hợp mất răng của cô Nguyễn Kim Hoa (64 tuổi; Hoàn Kiếm- Hà Nội); Trồng Implant toàn hàm dưới

Tình trạng:
01/06/2025: Cô Kim Hoa đến đến phòng khám gặp ThS BS Phạm Hùng Sơn với tình trạng răng:
*Hàm trên
+ Hàm trên tiêu xương nhiều
+ 2 răng số 7 hàm trên đều mất hết (R17, 27)
+ Toàn bộ cụm răng cửa từ răng số 4 bên trái sang bên phải 8 răng đều đã điều trị tủy cắm chốt
+ Răng số 6 hàm trên bên phải (R16) sâu to sát tủy
*Hàm dưới:
+ Hàm dưới tiêu xương nhiều
+ Răng số 5 bên trái (R35) và răng số 4 bên phải (R44) gãy chân
+ Răng số 5,6,7 hàm dưới bên phải (R45,46,47) mất
+ Răng số 6,7 hàm dưới bên trái (R37, 36) mất
Kế hoạch điều trị:
+ Chia thành 2 đợt điều trị cấy toàn hàm dưới trước
+ Trồng răng toàn hàm dưới 6 trụ Neodent của Thụy Sỹ: 22,5 Triệu x 6 = 135 Triệu
+ Làm hàm sứ rời Zirconia 12 răng: 54 Triệu
Tổng chi phí điều trị trồng răng toàn hàm trên: 135 Triệu + 54 triệu = 189 Triệu

Lưu ý về chi phí xử lý nền xương (nếu cần)
-
Tăng thể tích xương: + 3.000.000 – 10.000.000 VNĐ (tùy mức độ, có thể áp dụng cho từng vùng).
-
Nâng nền xoang bị sà xuống (hàm trên cần): + 5.000.000 – 10.000.000 VNĐ.
Ví dụ: nếu cần nâng nền xoang cho hàm trên khi chọn Neodent 4 trụ + Zirconia → tổng ~138.000.000 + 7.000.000 (nâng xoang trung bình) = 145.000.000 VNĐ.
Vì sao giá có chênh lệch giữa các loại trụ (Dentium, Neodent, Straumann)?
-
Xuất xứ & chứng nhận: Straumann (Thụy Sĩ) & Neodent (Thụy Sĩ) là thương hiệu cao cấp, độ tích hợp xương nhanh, bảo hành tốt → giá cao. Dentium và SuperLine có chi phí thấp hơn nhưng vẫn đảm bảo tiêu chuẩn.
-
Loại trụ cá nhân hóa vs loại có sẵn: trụ cá nhân hóa (custom abutment) có giá cao hơn nhưng mang lại thẩm mỹ và khớp cắn tối ưu.
-
Hỗ trợ kỹ thuật & phụ kiện: trụ chính hãng đi kèm chứng nhận, hỗ trợ khi cần thay phụ kiện, điều này làm tăng chi phí ban đầu nhưng giảm rủi ro về lâu dài.
Quy trình trồng răng toàn hàm: các bước chính
-
Khám & chụp CT ConeBeam 3D — đánh giá thể tích xương, xoang, kế hoạch số trụ.
-
Lập phác đồ kỹ thuật số (Digital Implant) — mô phỏng vị trí trụ tối ưu.
-
Phẫu thuật cấy trụ (4–6 trụ) trong phòng mổ vô trùng.
-
Lắp răng tạm (24–48h) để bệnh nhân có thể ăn mềm và đảm bảo thẩm mỹ.
-
Thời gian tích hợp xương (6–12 tuần) tuỳ trụ & nền xương.
-
Lắp hàm sứ cố định (Zirconia hoặc Thimble), cân chỉnh khớp cắn.
-
Tái khám định kỳ và vệ sinh chuyên sâu.
Quy trình trồng răng số hóa toàn diện tại Nha khoa Olympia
Ưu – nhược điểm của 2 loại hàm toàn hàm
Hàm Zirconia nguyên khối 48.000.000 VNĐ, 12 răng (4 Triệu/Răng)
Ưu điểm
-
Rất bền, chịu lực cao
Zirconia nguyên khối có độ chịu nén và chịu uốn vượt trội — phù hợp cho phục hình toàn hàm hoặc vùng hậu hàm chịu lực lớn. Ít mẻ, tuổi thọ dài nếu chăm sóc tốt. -
Ít mài mòn, ít gãy vỡ
So với sứ chắp lớp (layered porcelain), zirconia monolithic ít bị mẻ vỡ, đặc biệt với bệnh nhân nghiến/răng cắn mạnh. -
Thẩm mỹ ổn định (phi kim loại)
Không có bóng kim loại như cầu răng kim loại — không tạo “viền đen” cổ nướu. Màu sắc có thể đạt thẩm mỹ tốt ở dạng nhuộm và đánh bóng, phù hợp với nhiều bệnh nhân muốn kết hợp bền + thẩm mỹ. -
Tương hợp sinh học tốt
Vật liệu lành tính, ít gây dị ứng — an toàn cho hầu hết bệnh nhân. -
Ít nhu cầu tái điều chỉnh/đổi vật liệu trong thời gian ngắn
Với công nghệ CAD/CAM chính xác, miếng phục hình khớp tốt, giảm tái khám do khớp cắn/fit kém. -
Giá/hiệu quả ở mức hợp lý
4 triệu/răng cho zirconia nguyên khối là mức giá cạnh tranh so với một số loại sứ cao cấp chắp lớp hoặc implant + mão sứ — nếu mục tiêu là bền và tiết kiệm dài hạn thì có lợi.
Nhược điểm
-
Thẩm mỹ kém linh hoạt hơn sứ chắp lớp
Zirconia nguyên khối có độ trong mờ (translucency) kém hơn sứ chắp lớp hoặc e.max; khó tái tạo độ trong thị giác như răng tự nhiên ở vùng răng cửa nếu bệnh nhân yêu cầu thẩm mỹ tối đa. -
Gây mài mòn răng đối diện (có thể)
Bề mặt zirconia nếu không được đánh bóng tốt hoặc trong trường hợp nghiến răng, có thể làm mòn men răng đối diện hơn so với mão sứ thủy tinh mềm hơn. Tuy nhiên đánh bóng kỹ và dùng glaze/adjustment đúng kỹ thuật sẽ giảm rủi ro. -
Khó sửa chữa tại chỗ
Nếu bị mẻ hoặc cần sửa màu/shape sau gắn, sửa zirconia nguyên khối tại phòng khám khó hơn — thường phải làm lại labo (thay bản phục hình). -
Yêu cầu chuẩn bị răng (mài) đủ nhưng thận trọng
Mức mài răng có thể tương đối (tùy chỉ định). Nếu muốn giữ mô răng tối đa, cần cân nhắc các phương án bảo tồn khác. -
Thẩm mỹ phụ thuộc kỹ thuật labo / màu nền trụ
Nếu nền răng tối (một số cùi kim loại hoặc răng nhiễm thuốc nặng), zirconia monolithic khó che hoàn toàn so với giải pháp có lớp phủ sứ chắp lớp. -
Không phù hợp cho mọi trường hợp thẩm mỹ cực cao
Với bệnh nhân đòi hỏi “y như răng thật” về độ trong và hiệu ứng xương răng cửa, giải pháp layer ceramic hoặc veneer dán trên zirconia/e.max có thể cho kết quả thẩm mỹ vượt trội.
Khi nào nên chọn Zirconia nguyên khối 4 triệu/răng (12 răng = 48 Triệu)
-
Khách hàng ưu tiên độ bền, ít phải sửa, chi phí hợp lý cho phục hình nhiều răng hoặc toàn hàm.
-
Bệnh nhân có thói quen có lực cắn mạnh, nghiến răng (bruxism) — zirconia ít mẻ hơn.
-
Khi nền răng và nướu không quá tối, nhu cầu thẩm mỹ là tốt chứ không phải tuyệt đối siêu thực.
Khi nên cân nhắc phương án khác
-
Muốn độ trong/ánh sáng giống răng thật tối đa (nhất là răng cửa): cân nhắc sứ chắp lớp thẩm mỹ cao hoặc kỹ thuật layering.
-
Cần sửa đổi/điều chỉnh thẩm mỹ rất thường xuyên: zirconia khó sửa tại chỗ.
-
Bệnh nhân có răng đối diện men mỏng, dễ mòn — cần thận trọng, cân nhắc vật liệu mềm/chỉnh bề mặt.
Lưu ý kỹ thuật & chăm sóc
-
Đánh bóng/glaze hoàn hảo sau chỉnh cắn để giảm mài mòn răng đối diện.
-
Kiểm tra khớp cắn kỹ, đặt night-guard (khay chống nghiến) nếu bệnh nhân nghiến răng.
-
Vệ sinh tại nhà + khám định kỳ để phát hiện sớm vấn đề viền nướu/hở cổ mão.
-
Nếu cần đổi/điều chỉnh -> thường phải làm lại labo (chi phí phát sinh).
Hàm Thimble (sứ rời) 54.000.000 VNĐ, 12 răng (4,5 Triệu/ Răng)
Ưu điểm của hàm Thimble (sứ rời)
1. Tính cá nhân hóa & thẩm mỹ cao
-
Mỗi răng là một mão sứ rời độc lập, cho phép bác sĩ và labo tinh chỉnh:
-
Hình thể từng răng
-
Trục răng
-
Độ dài – độ phồng
-
Màu sắc và hiệu ứng ánh sáng
-
-
Đặc biệt phù hợp vùng răng cửa – răng cười, nơi yêu cầu thẩm mỹ cao, tự nhiên như răng thật.
2. Dễ điều chỉnh – sửa chữa cục bộ
-
Nếu một răng gặp vấn đề (mẻ, lệch màu, sai khớp cắn):
-
Có thể tháo riêng răng đó để chỉnh hoặc làm lại
-
Không ảnh hưởng toàn hàm như các khối nguyên khối
→ Đây là ưu điểm rất lớn so với hàm liền hoặc zirconia nguyên khối.
-
3. Phân bố lực sinh lý tốt hơn
-
Vì là sứ rời, mỗi răng chịu lực độc lập → lực nhai được phân tán đều
-
Giảm nguy cơ nứt gãy hàng loạt khi bệnh nhân cắn lệch hoặc nghiến răng nhẹ–trung bình.
4. Khớp cắn dễ đạt chuẩn hơn
-
Bác sĩ có thể tinh chỉnh khớp cắn từng răng, dễ đạt:
-
Tiếp xúc cắn sinh lý
-
Giảm điểm chạm sớm
-
Tối ưu vận động hàm
→ Bệnh nhân thích nghi nhanh, ít khó chịu sau khi gắn.
-
5. Cảm giác ăn nhai tự nhiên
-
Vì từng răng có hình thể riêng → cảm giác “ăn bằng răng thật” rõ hơn so với hàm liền.
-
Phù hợp bệnh nhân đã từng làm răng sứ và nhạy cảm với khớp cắn.
Nhược điểm của hàm Thimble (sứ rời)
1. Chi phí cao hơn hàm liền
-
4,5 triệu/răng cao hơn zirconia nguyên khối (~4 triệu/răng).
-
Tổng 12 răng = 54 triệu, phù hợp nhóm khách hàng:
-
Ưu tiên thẩm mỹ & trải nghiệm
-
Không chỉ chọn phương án “bền – rẻ”.
-
2. Yêu cầu kỹ thuật cao từ bác sĩ & labo
-
Nếu kỹ thuật không chuẩn:
-
Dễ hở viền
-
Sai trục răng
-
Khó kiểm soát đường cười
-
-
Kết quả phụ thuộc nhiều vào tay nghề bác sĩ và labo thẩm mỹ.
3. Thời gian thực hiện có thể dài hơn
-
Do phải tinh chỉnh từng răng:
-
Lấy dấu – thử răng – chỉnh nhiều bước
-
-
So với hàm nguyên khối CAD/CAM, tiến trình có thể chậm hơn.
4. Nguy cơ mẻ sứ cao hơn zirconia nguyên khối (nếu nghiến răng mạnh)
-
Nếu dùng sứ chắp lớp thẩm mỹ cao:
-
Độ bền chịu lực kém hơn zirconia monolithic
-
-
Với bệnh nhân nghiến răng nặng → cần:
-
Thiết kế khớp cắn chuẩn
-
Khay chống nghiến ban đêm
-
5. Chăm sóc & vệ sinh cần kỹ hơn
-
Nhiều đường tiếp xúc – kẽ răng → cần:
-
Chỉ nha khoa
-
Tăm nước
-
Tái khám định kỳ
-
-
Nếu vệ sinh kém → dễ viêm nướu quanh răng sứ.
Khi nào nên chọn hàm Thimble (sứ rời) 4,5 triệu/răng?
✔ Khách hàng:
-
Ưu tiên thẩm mỹ cao – tự nhiên từng răng
-
Làm 12 răng vùng trước hoặc toàn cung hàm cười
-
Đã từng làm răng sứ, khó tính với khớp cắn
-
Muốn dễ sửa từng răng nếu có vấn đề về sau
Khi nên cân nhắc phương án khác?
❌ Nếu:
-
Ưu tiên độ bền tuyệt đối – ít mẻ
-
Có thói quen nghiến răng mạnh
-
Muốn thời gian làm nhanh, ít chỉnh sửa
→ Nên cân nhắc Zirconia nguyên khối.
So sánh nhanh với Zirconia nguyên khối
| Tiêu chí | Thimble (sứ rời) | Zirconia nguyên khối |
|---|---|---|
| Thẩm mỹ | ⭐⭐⭐⭐⭐ | ⭐⭐⭐⭐ |
| Độ bền | ⭐⭐⭐⭐ | ⭐⭐⭐⭐⭐ |
| Sửa từng răng | Rất dễ | Khó |
| Khớp cắn | Rất linh hoạt | Ít linh hoạt |
| Nguy cơ mẻ | Cao hơn | Thấp |
| Giá | 4,5 triệu/răng | ~4 triệu/răng |
Kết luận ngắn gọn để tư vấn khách hàng
Hàm Thimble (sứ rời) phù hợp với người coi trọng thẩm mỹ – cảm giác ăn nhai – khả năng chỉnh sửa lâu dài, sẵn sàng đầu tư thêm chi phí.
Không phải lựa chọn tối ưu cho người nghiến răng mạnh hoặc chỉ ưu tiên độ bền tuyệt đối.
Lựa chọn giữa 2 loại phụ thuộc vào nguyện vọng thẩm mỹ, ngân sách, mật độ xương và kỳ vọng sử dụng lâu dài — bác sĩ sẽ tư vấn cá nhân hóa.
Cảm nhận của bác trai 75 tuổi sau khi trồng răng toàn hàm
Hàm Thimble Implant Thụy Sỹ (sứ rời) 72.000.000 VNĐ, 12 răng (6 Triệu/ Răng)
Đang có một dòng hàm sứ rời Thimble được thiết kế riêng cho phục hình toàn hàm trên trụ Implant của Thụy Sỹ, không phải loại “thimble răng sứ đơn lẻ” thông thường.Trong chuyên môn, dòng này thường được gọi là: 👉 Implant Thimble System / Swiss Implant Thimble Full-Arch System
(ở Việt Nam hay gọi ngắn gọn: Hàm Thimble Implant Thụy Sỹ)👉 Bản chất:
- Là hệ phục hình toàn hàm trên Implant
- Mỗi răng là 1 mão sứ rời (thimble)
- Nhưng bên dưới KHÔNG phải răng thật mà là:
- Khung sườn (framework) bằng Titanium hoặc Zirconia
- Bắt vít cố định trực tiếp lên các trụ Implant Thụy Sỹ
- Các răng sứ rời được gắn lên khung bằng cơ chế chính xác (cement đặc biệt hoặc locking system)
➡️ Khác hoàn toàn với:
- Hàm liền nguyên khối
- Hàm sứ rời gắn trên răng thật
Các hệ Implant Thụy Sỹ thường dùng với Thimble toàn hàm
Thường đi cùng các hệ Implant Thụy Sỹ cao cấp như:
- Straumann
- Neodent (Straumann Group)
- Nobel Biocare (nhiều labo vẫn xếp chung phân khúc Swiss-based)
Các hệ này có:
- Connection rất chính xác
- Tương thích tốt với khung bắt vít toàn hàm→ Là điều kiện bắt buộc để làm Thimble toàn hàm bền lâu
Cấu trúc 1 hàm Thimble Implant Thụy Sỹ (chuẩn)
Một hàm hoàn chỉnh gồm:1️⃣ Trụ Implant Thụy Sỹ
2️⃣ Multi-unit abutment (chuẩn hóa hướng cắm)
3️⃣ Khung sườn (framework)
- Titanium CNC hoặc Zirconia
- Bắt vít cố định lên Implant4️⃣ 12–14 răng sứ rời dạng Thimble
- Có thể là:
- Zirconia chắp thẩm mỹ
- Hoặc sứ thẩm mỹ cao cấp đa lớp
➡️ Khi cần:
- Tháo toàn hàm bằng vít
- Hoặc tháo từng răng sứ rời để sửa chữa
Ưu điểm vượt trội của Thimble toàn hàm trên Implant Thụy Sỹ
🔹 1. Thẩm mỹ cao nhất trong các phục hình toàn hàm Implant
- Mỗi răng có:
- Trục riêng
- Hình thể riêng
- Hiệu ứng ánh sáng như răng thật
- Đặc biệt đẹp ở cung hàm cười
👉 Đây là lý do dòng này thường dành cho khách cao cấp – khó tính
🔹 2. Dễ sửa – bảo trì lâu dài
- Mẻ 1 răng → chỉ thay răng đó
- Lệch khớp cắn → chỉnh cục bộ
- Không phải phá toàn hàm như hàm liền
👉 Ưu điểm mà bác sĩ rất thích về mặt lâu dài
🔹 3. Phân bố lực sinh lý – bảo vệ trụ Implant
- Lực nhai không dồn vào 1 khối
- Giảm stress lên cổ trụ
- Phù hợp bệnh nhân:
- Lực nhai mạnh
- Có tiền sử tiêu xương
🔹 4. Cảm giác ăn nhai “giống răng thật”
- Bệnh nhân thường phản hồi:
“Cảm giác như từng chiếc răng mọc lại”
Nhược điểm (cần nói thẳng)
❗ Chi phí cao
- Do gồm:
- Trụ Implant Thụy Sỹ
- Khung CNC chính xác
- 12 răng sứ rời cao cấp
- Thường cao hơn hàm liền zirconia toàn hàm
❗ Yêu cầu kỹ thuật rất cao
- Bác sĩ đặt Implant
- Bác sĩ phục hình
- Labo→ Phải đồng bộ, nếu không rất dễ:
- Hở viền
- Lệch khớp cắn
- Lung vít
❗ Thời gian làm lâu hơn
- Nhiều bước
- Nhiều lần thử
Dòng này phù hợp với ai?
✔ Rất phù hợp nếu:
- Trồng toàn hàm 4 trụ / 6 trụ
- Khách:
- Muốn đẹp – tự nhiên – lâu dài
- Không muốn “đẹp tạm”
- Có khả năng tài chính tốt
- Phòng khám muốn:
- Ít bảo hành rủi ro
- Dễ bảo trì về sau
So sánh nhanh với hàm liền toàn hàm
| Tiêu chí | Thimble Implant Swiss | Hàm liền Zirconia |
|---|---|---|
| Thẩm mỹ | ⭐⭐⭐⭐⭐ | ⭐⭐⭐⭐ |
| Sửa chữa | Rất dễ | Khó |
| Lực sinh lý | Tốt | Trung bình |
| Chi phí | Cao | Thấp hơn |
| Kỹ thuật | Rất cao | Cao |
Hàm Thimble Implant Thụy Sỹ là giải pháp cao cấp nhất trong phục hình toàn hàm trên Implant: đẹp nhất – tự nhiên nhất – dễ bảo trì nhất, đổi lại là chi phí và yêu cầu kỹ thuật cao.
Câu hỏi thường gặp (FAQ) — tóm tắt nhanh
Q1: Trồng 4 trụ có chắc không?
A: Với nền xương tốt và phục hình kỹ thuật số chuẩn, 4 trụ là đủ cho nhiều bệnh nhân; nếu xương yếu hoặc bệnh nhân nhai mạnh, cân nhắc thêm 1–2 trụ.
Q2: Thời gian hoàn tất một hàm toàn hàm là bao lâu?
A: Thông thường 2–3 tháng (bao gồm tích hợp xương). Có thể lắp răng tạm ngay 24–48h.
Q3: Tôi đã dùng hàm tháo 10 năm — có trồng được 4 trụ không?
A: Phần lớn có thể, nhưng cần chụp CT đánh giá. Nếu xương tiêu nhiều, cần tăng thể tích xương trước khi đặt trụ.
Cận cảnh lắp răng toàn hàm sau 4 tháng trồng răng Implant tích hợp xương
Q4. Tôi đang đeo hàm giả tháo lắp, có nên đổi sang trồng toàn hàm không?
Nếu bạn gặp tình trạng:
-
Hàm lỏng
-
Khó nhai
-
Loét – đau
-
Ngại giao tiếp
→ Trồng toàn hàm là cải thiện rõ rệt: răng chắc – đẹp – không tháo lắp – ăn nhai như thật.
Q5. Trồng răng toàn hàm có đau không?
Trong quá trình phẫu thuật: hầu như không đau nhờ gây tê và công nghệ máng hướng dẫn phẫu thuật.
Sau 1–2 ngày, có thể hơi ê nhưng dễ chịu bằng thuốc giảm đau bác sĩ kê.
Q6. Bao lâu thì có răng để ăn nhai?
-
Ngay sau đặt trụ: gắn răng tạm để ăn mềm.
-
Sau 3–6 tháng: gắn răng cố định cuối cùng.
Tùy chất lượng xương mỗi người.
Q7. Tuổi nào thì làm được?
Từ 30–80 tuổi đều làm được, miễn là sức khỏe tổng quát tốt và đủ xương tại vị trí đặt trụ.
Q8. Trồng toàn hàm có bền không?
Trụ Implant có tuổi thọ 15–25 năm hoặc lâu hơn nếu chăm sóc tốt.
Phục hình phía trên (răng sứ/Hybrid) có thể duy trì 10–15 năm trước khi cần thay mới do mòn lực nhai.
Q9. Sau khi trồng toàn hàm có phải kiêng gì nhiều không?
-
Tuần đầu ăn mềm
-
Tránh nhai mạnh trực tiếp lên vùng mới cấy
-
Giữ vệ sinh tốt, súc miệng sát khuẩn
-
Tái khám đúng hẹn để kiểm tra lực nhai và tích hợp xương
Q10. Tôi bị tiểu đường – huyết áp có làm trồng toàn hàm được không?
Được nếu bệnh ổn định và kiểm soát tốt.
Trước khi làm, bác sĩ cần kiểm tra xét nghiệm để đảm bảo an toàn.
Q11. Sau bao lâu tôi có thể nhai đồ cứng?
Răng tạm: ăn mềm
Răng cố định: nhai bình thường
→ Thời gian chính xác phụ thuộc vào tốc độ tích hợp xương (thường 3–6 tháng).
Q12. Tôi có cần tái khám định kỳ không?
Có. Đây là yếu tố bắt buộc để duy trì tuổi thọ trụ và chỉnh lực nhai đều.
→ Tái khám 6 tháng/lần.
Tại sao nên lựa chọn Nha khoa Olympia?
-
Chuyên gia thực hiện: ThS.BS Phạm Hùng Sơn (hơn 20 năm kinh nghiệm Implant) trực tiếp thăm khám & phẫu thuật.
-
Đồng hành kỹ thuật số: BS Bùi Hưng (Chuyên gia Implant số hóa) tham gia, giúp ca điều trị nhẹ nhàng, chính xác.
-
Trang thiết bị: CT ConeBeam 3D, phòng mổ vô trùng tiêu chuẩn, labo kỹ thuật số.
-
Bảo hành & chăm sóc: minh bạch, theo dõi lâu dài.
Cô chú/anh chị mất răng muốn tham khảo chi phí trồng răng Implant hoặc tư vấn hướng điều trị trực tiếp với trường hợp mất răng cụ thể của mình. Vui lòng liên hệ trực tiếp đến hotline của nha khoa tư vấn chi tiết, rõ ràng, minh bạch nhất:
Kết luận — nên làm gì nếu bạn đang dùng hàm giả hoặc cầu răng lung lay?
-
Nếu bạn đang dùng hàm tháo lắp nhiều năm, hoặc có cầu răng bị lung lay, hoặc bị viêm quanh răng lâu năm dẫn tới mất nhiều răng: hãy tới khám càng sớm càng tốt.
-
Trồng răng toàn hàm (4–6 trụ) là giải pháp an toàn, tiết kiệm và bền vững so với việc tiếp tục dùng hàm tháo lắp hoặc sửa chữa cầu liên tục.
-
Chuẩn bị ngân sách dựa trên bảng ví dụ phía trên; bác sĩ sẽ tư vấn loại trụ và phục hình phù hợp với điều kiện xương & mong muốn thẩm mỹ.
Đặt lịch thăm khám & tư vấn miễn phí
Bạn muốn biết chính xác trường hợp của mình cần bao nhiêu trụ, có cần tăng thể tích xương hay không, và chi phí tổng cộng là bao nhiêu?
Hãy đặt lịch khám với ThS.BS Phạm Hùng Sơn tại:
Nha khoa Olympia
📍 Địa chỉ: Số 40 Trần Quang Diệu, Đống Đa, Hà Nội
📞 Hotline: 0961 621 186
🕗 Thời gian: 08:00 – 18:00 hàng ngày



