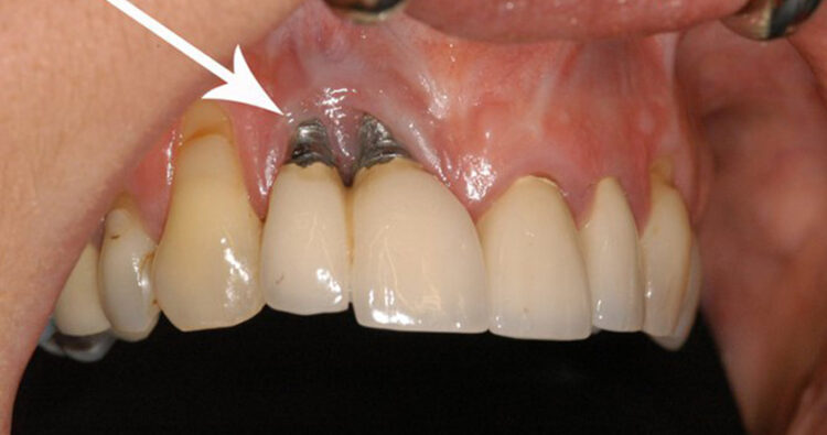
Viêm nha chu không chỉ gây mất răng – mà còn khiến việc phục hồi trở nên phức tạp. Vậy nên chọn Implant hay cầu răng? ...[Xem thêm]
Chăm sóc nha chu khi cắm Implant – Bí quyết giữ trụ răng bền chắc
Cắm Implant không chỉ là gắn trụ vào xương hàm – mà là cả hành trình chăm sóc nha chu khoa học để giữ trụ tồn tại bền ...[Xem thêm]
Viêm nha chu khi mang thai – Nguy hiểm ít ai ngờ!
Tác hại viêm nha chu với bà bầu: ảnh hưởng không chỉ đến mẹ mà còn đến cả thai nhi. Phòng ngừa từ sớm là chìa khóa bảo ...[Xem thêm]
Điều trị nha chu có khỏi hoàn toàn được không?
Viêm nha chu có thể chữa khỏi hoàn toàn không? Câu trả lời từ chuyên gia tại Nha khoa Olympia: Có thể kiểm soát lâu dài ...[Xem thêm]
Chăm sóc sau điều trị nha chu: 5 nguyên tắc cần ghi nhớ
Sau điều trị nha chu, nếu không chăm sóc đúng cách, bệnh dễ tái phát. Nha khoa Olympia chia sẻ 5 nguyên tắc chăm sóc nha ...[Xem thêm]
Viêm nha chu có chữa khỏi được không? Cách phòng tái phát hiệu quả
Viêm nha chu có chữa khỏi hoàn toàn không? Làm sao để không tái phát sau điều trị? Nha khoa Olympia chia sẻ giải pháp ...[Xem thêm]
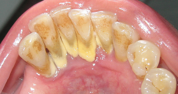
Cạo vôi răng có ngăn được viêm nha chu? Bao lâu nên làm?
Cạo vôi răng có thật sự giúp ngăn ngừa viêm nha chu? Bao lâu nên làm 1 lần? Nha khoa Olympia giải đáp chi tiết và chia ...[Xem thêm]
Viêm nha chu là gì? Nguy hiểm thế nào nếu không điều trị kịp thời?
Viêm nha chu là bệnh lý răng miệng nguy hiểm, có thể gây mất răng nếu không điều trị đúng cách. Nha khoa Olympia cảnh ...[Xem thêm]











