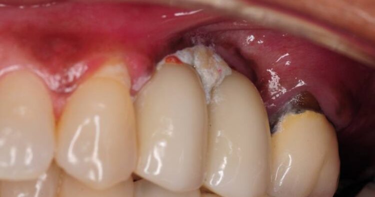
Tại Nha khoa Olympia, các cô chú/anh chị mất răng đến thăm khám kiểm tra tình trạng răng đã làm cầu răng sứ bị hỏng: ...[Xem thêm]
Hậu quả mất răng lâu năm: 7 biến chứng âm thầm khiến gương mặt “già đi 10 tuổi” mà nhiều người không biết!
Mất răng lâu năm gây tiêu xương, xô lệch hàm, khớp thái dương đau, mặt già nhanh. Chuyên gia Implant Phạm Hùng Sơn phân ...[Xem thêm]
Có nên dùng hàm tháo lắp? Chuyên gia Implant cảnh báo 5 nguy cơ nghiêm trọng người lớn tuổi hay bỏ qua!
Hàm tháo lắp (removable denture) là phương pháp phục hình răng mất cổ điển nhất, phổ biến từ nhiều thập kỷ trước. Không ...[Xem thêm]
Chi phí điều trị tủy, bọc chụp răng sứ sau điều trị tủy – Vì sao cần làm ngay sau khi chữa tủy?
Nhiều cô chú khi được bác sĩ tư vấn “nên bọc chụp răng sứ sau khi điều trị tủy” thường thắc mắc: “Tôi vừa chữa tủy ...[Xem thêm]
Răng bị sâu chỉ còn chân nhổ hay không nhổ có nguy hiểm không?
Răng sâu không chỉ khiến ăn uống đau buốt, mà nếu để lâu ngày, phần thân răng có thể vỡ nát chỉ còn lại chân răng nằm ...[Xem thêm]
Lợi ích của lấy cao răng thường xuyên – Nha khoa Olympia
Lấy cao răng thường xuyên không chỉ giúp bạn sở hữu nụ cười trắng sáng, tự tin mà còn phòng ngừa hôi miệng, viêm lợi, ...[Xem thêm]
Khám răng định kỳ 6 tháng/lần – bảo vệ sức khỏe răng miệng tối đa, an tâm cả nhà
Khám răng định kỳ 6 tháng/lần là cách bảo vệ sức khỏe răng miệng tối đa. Nha khoa Olympia cung cấp dịch vụ khám và chăm ...[Xem thêm]
Đội Ngũ Bác Sĩ Giàu Kinh Nghiệm Chăm Sóc Toàn Diện Tại Nha Khoa Olympia – Nụ Cười Khỏe Đẹp Bắt Đầu Từ Đây!
Khám phá đội ngũ bác sĩ giàu kinh nghiệm, tận tâm chăm sóc toàn diện tại Nha khoa Olympia. Nơi mang đến nụ cười khỏe, ...[Xem thêm]
Khi nào cần đến nha khoa ngay? 10 dấu hiệu cảnh báo bạn không thể chần chừ
Khi nào cần đến nha khoa ngay? 10 dấu hiệu cảnh báo bạn không thể chủ quan. Khám răng kịp thời tại Nha khoa Olympia để ...[Xem thêm]
Khám răng định kỳ có cần thiết không? 7 lý do bạn nên khám răng 6 tháng/lần
Khám răng định kỳ có cần thiết không? Đây là câu hỏi không ít người băn khoăn, đặc biệt là những ai chưa từng trải qua ...[Xem thêm]













