Trồng răng thì ai cũng làm được — nhưng để trồng răng chắc bền, không đau, không biến chứng, và ăn nhai như răng thật ...[Xem thêm]
Nha khoa trồng răng Implant uy tín tại Hà Nội – Bác sĩ hơn 20 năm kinh nghiệm trực tiếp cấy ghép
Nhiều cô chú trung niên và người lớn tuổi sau khi mất răng thường rất băn khoăn: “Nên trồng Implant ở đâu để yên tâm, ...[Xem thêm]
Cách tính chi phí trồng 1 răng Implant chính xác nhất 2026 – Chuyên gia ThS.BS Phạm Hùng Sơn giải đáp
Khi bị mất một chiếc răng, nhiều cô chú, anh chị thường rơi vào hoang mang, lo lắng: “Không biết mình nên trồng răng thế ...[Xem thêm]
Bác sĩ Bùi Văn Hưng và hành trình không ngừng học hỏi: Ghép xương tự thân nâng cao cùng GS. Thomas Hanser
Bác sĩ Bùi Văn Hưng và hành trình không ngừng học hỏi: Ghép xương tự thân nâng cao cùng GS. Thomas Hanser Trong y khoa, ...[Xem thêm]
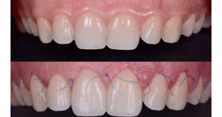
BS CK1. Hà Thị Hương Trang – Chuyên gia Chỉnh nha cá nhân hóa tại Nha khoa Olympia
Hơn 10 năm kinh nghiệm – Hơn 8.200 ca chỉnh nha thành công – Mỗi ca niềng là một thiết kế nụ cười cá nhân hóa Chuyên ...[Xem thêm]
Đừng dại đi trồng răng sau 3 giờ chiều! Đây là lý do chuyên gia không khuyến khích!
Việc trồng răng Implant không nên thực hiện muộn vào buổi chiều là một khuyến cáo được nhiều bác sĩ cấy ghép kinh nghiệm ...[Xem thêm]
BS Bùi Hưng – Chuyên gia Implant số hóa với hơn 9.500 ca lâm sàng tại Nha khoa Olympia
Trong thời đại nha khoa hiện đại, cấy ghép Implant không còn chỉ là "trồng lại chiếc răng đã mất", mà đã trở thành một ...[Xem thêm]
ThS BS Phạm Hùng Sơn là ai? Chân dung chuyên gia Implant thế hệ đầu tại miền Bắc
ThS BS Phạm Hùng Sơn là ai? Chân dung chuyên gia Implant hàng đầu – người tái tạo nụ cười bằng cả tâm và tài. Trong lĩnh ...[Xem thêm]
Nếu Bạn Mất Răng Quá 2 Năm, Đừng Cấy Implant Vội!
Nghe có vẻ lạ, đúng không? Bởi vì ai cũng nghĩ mất răng thì chỉ cần đi cắm Implant là xong. Nhưng nếu bạn đã mất răng ...[Xem thêm]
Nhiều người tưởng mất răng lâu năm thì không thể trồng lại. Nhưng thực tế…
90% người mất răng lâu năm không biết họ đang “mất dần xương hàm từng ngày” – và hậu quả không chỉ là ăn uống khó khăn, ...[Xem thêm]













