Cô Hoàng Thị Phương (68 tuổi, Việt kiều Séc) đã quyết định trở về Việt Nam để trồng răng Implant cùng ThS.BS Phạm Hùng Sơn và BS Bùi Văn Hưng. Khám phá lý do vì sao nhiều Việt kiều vẫn chọn Nha khoa Olympia để tìm lại nụ cười tự tin sau nhiều năm mất răng.
Mục lục
- 1 Bác gái U70 bay 8.500km về Việt Nam để trồng răng Implant – câu chuyện đặc biệt
- 2 Tình trạng răng của cô Phương trước khi điều trị
- 3 Vì sao cô không trồng răng Implant tại Séc mà chọn Việt Nam?
- 4 Quy trình trồng răng Implant cho bệnh nhân U70
- 5 Kết quả sau điều trị
- 6 Tại sao nhiều Việt kiều chọn về Việt Nam để trồng răng Implant?
- 7 Nha khoa Olympia – Điểm đến trồng răng Implant uy tín cho người Việt trong và ngoài nước
- 8 Thông tin liên hệ
- 9 Xem thêm các bài viết liên quan
Bác gái U70 bay 8.500km về Việt Nam để trồng răng Implant – câu chuyện đặc biệt
Suốt hơn 10 năm, cô Hoàng Thị Phương (68 tuổi, Việt kiều Cộng hòa Séc) đã phải sống chung với hàm răng trống trải, ăn uống khó khăn, giao tiếp thiếu tự tin. Dù có nhiều cơ sở nha khoa tại châu Âu, cô vẫn lựa chọn bay hơn 8.500km về Việt Nam để trồng răng Implant tại Nha khoa Olympia.
Lý do rất đơn giản:
👉 “Niềm tin vào ThS.BS Phạm Hùng Sơn – người đã cấy hơn 17.000 trụ Implant và BS Bùi Hưng – Chuyên gia Implant Kỹ thuật Số hóa hơn 9.500 trụ hiện đại có sự sự tận tâm, công nghệ hiện đại tại Olympia lớn hơn mọi khoảng cách địa lý.”
Hành trình này không chỉ là một ca điều trị nha khoa, mà còn là một minh chứng cho chất lượng và uy tín của nha khoa Việt Nam trên bản đồ quốc tế.
Bác Gái U70 Bay 8.500 km Về Việt Nam Chỉ Để Trồng Răng – Lý Do Khiến Ai Cũng Bất Ngờ
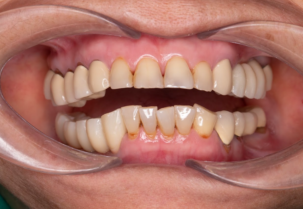
Tình trạng răng của cô Phương trước khi điều trị
-
Mất gần như toàn bộ răng hàm trên và hàm dưới.

-
Đã từng làm cầu răng tháo lắp, nhưng nhanh chóng hỏng và gây đau nướu.
-
Không thể ăn nhai thoải mái, phải lựa chọn thức ăn mềm, ảnh hưởng nghiêm trọng đến sức khỏe tiêu hóa.

-
Nụ cười gượng gạo, tâm lý mặc cảm khi giao tiếp.
Sau nhiều năm chịu đựng, cô quyết định tìm giải pháp trồng răng Implant để khôi phục chức năng ăn nhai và nụ cười.
Vì sao cô không trồng răng Implant tại Séc mà chọn Việt Nam?
Đây là thắc mắc của rất nhiều người. Cô Phương chia sẻ rằng, dù tại châu Âu có nhiều nha khoa, nhưng quyết định trở về Việt Nam được đưa ra bởi 5 lý do lớn:
-
Chi phí hợp lý hơn 2–3 lần so với trồng Implant tại Séc.
-
Được trực tiếp điều trị bởi 2 bác sĩ hàng đầu Việt Nam:
-
ThS.BS Phạm Hùng Sơn: Chuyên gia Implant hơn 20 năm kinh nghiệm, đã thực hiện trên 17.000 ca.
-
BS Bùi Văn Hưng: Bác sĩ trẻ giàu kinh nghiệm, chuyên Implant kỹ thuật số, mang lại độ chính xác và nhanh chóng trong điều trị.
-
-
Công nghệ chuẩn quốc tế: Máy chụp CT ConeBeam 3D, hệ thống scan kỹ thuật số, phần mềm mô phỏng cấy ghép.
-
Chăm sóc tận tâm, gần gũi: Khác với cảm giác “công nghiệp” ở nước ngoài, tại Olympia cô được quan tâm như người nhà.
-
Niềm tin vào chất lượng y tế Việt Nam: Rất nhiều Việt kiều và người nước ngoài đã lựa chọn trở về cấy ghép Implant tại Olympia.
Quy trình trồng răng Implant cho bệnh nhân U70
Điều trị cho bệnh nhân lớn tuổi luôn là một thử thách. Tuy nhiên, với sự phối hợp giữa BS Sơn và BS Hưng, ca điều trị của cô Phương diễn ra suôn sẻ.
1. Khám & chẩn đoán
-
Thực hiện chụp CT ConeBeam 3D để đánh giá mật độ xương hàm.
-
Phân tích tình trạng tiêu xương do mất răng lâu năm.
-
Đưa ra kế hoạch trồng Implant toàn hàm.
2. Lập kế hoạch điều trị kỹ thuật số
-
BS Hưng ứng dụng công nghệ Implant kỹ thuật số để thiết kế vị trí cấy trụ chính xác đến từng micromet.
-
Kế hoạch được mô phỏng 3D, giúp bệnh nhân dễ dàng hình dung kết quả.
3. Cấy ghép Implant
-
BS Sơn trực tiếp thực hiện phẫu thuật đặt trụ Implant.
-
Sử dụng trụ Implant Straumann (Thụy Sỹ) – một trong những hệ thống Implant hàng đầu thế giới.
-
Quy trình diễn ra nhẹ nhàng, an toàn, không đau như nhiều người vẫn nghĩ.
4. Phục hình tạm thời
-
Sau khi cấy ghép, cô được lắp răng tạm trên Implant để có thể ăn uống và giao tiếp bình thường.
5. Gắn răng sứ hoàn thiện
-
Sau 3–6 tháng, khi Implant tích hợp xương, bác sĩ phục hình răng sứ cố định toàn hàm.
-
Kết quả: Hàm răng chắc khỏe, đẹp tự nhiên, ăn nhai như răng thật.
Kết quả sau điều trị
Sau ca điều trị, cô Phương xúc động chia sẻ:
✨ “Tôi không ngờ sau hơn 10 năm, mình lại có thể ăn nhai ngon lành và cười thoải mái như vậy. Cảm giác thật sự như được sống lại tuổi trẻ.”

Kết quả đạt được:
-
Khôi phục 100% khả năng ăn nhai.
-
Nụ cười thẩm mỹ, trẻ trung hơn ít nhất 10 tuổi.

-
Tự tin giao tiếp, cải thiện chất lượng cuộc sống.

-
Sức khỏe tổng thể tốt lên do ăn uống thoải mái hơn.

Tại sao nhiều Việt kiều chọn về Việt Nam để trồng răng Implant?
Không chỉ cô Phương, mà hàng nghìn Việt kiều mỗi năm vẫn chọn trở về quê hương để làm răng. Lý do:
-
Chất lượng điều trị chuẩn quốc tế nhưng chi phí hợp lý.
-
Bác sĩ Việt Nam có tay nghề cao, chuyên sâu về Implant.
-
Ngôn ngữ, văn hóa gần gũi, dịch vụ chăm sóc tận tâm.
-
Thời gian điều trị nhanh chóng, phù hợp với lịch trình về nước ngắn hạn.
Nha khoa Olympia – Điểm đến trồng răng Implant uy tín cho người Việt trong và ngoài nước
Nha khoa Olympia là một trong số ít nha khoa tại Hà Nội có đội ngũ bác sĩ chuyên sâu Implant:
-
ThS.BS Phạm Hùng Sơn – hơn 20 năm kinh nghiệm, hơn 17.000 ca Implant.
-
BS Bùi Văn Hưng – chuyên Implant kỹ thuật số, giúp quy trình chính xác, nhẹ nhàng.
-
Hệ thống công nghệ chuẩn châu Âu: CT ConeBeam 3D, Scan trong miệng, CAD/CAM…
-
Quy trình vô trùng nghiêm ngặt, chuẩn Bộ Y tế.
Olympia đã trở thành địa chỉ quen thuộc của nhiều khách hàng trong và ngoài nước khi tìm đến giải pháp trồng răng Implant.
Thông tin liên hệ
📍 NHA KHOA OLYMPIA
🏥 Địa chỉ: Số 40 Trần Quang Diệu, Đống Đa, Hà Nội
📞 Hotline: 0961 621 186
✉ Zalo/Viber/Whatsapp: 0961 621 186
🕗 Giờ làm việc: 08:00 – 18:00 tất cả các ngày trong tuần
🌐 Website: https://nhakhoaolympia.vn/
Xem thêm các bài viết liên quan
-
Trồng Implant xong có cần tái khám không? Vì sao lại quan trọng?
-
Trụ Implant Straumann – Giải pháp phục hình tin cậy đến từ Thụy Sỹ



