Câu trả lời ngắn gọn: KHÔNG nên bọc sứ nếu răng chỉ khấp khểnh mà chưa có vấn đề về chức năng ăn nhai hay sức khỏe răng miệng.
Mục lục
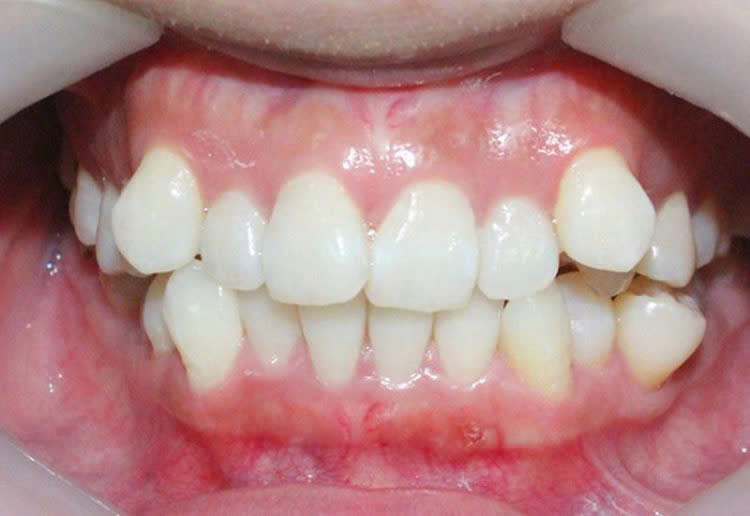
Răng khấp khểnh là gì?
Răng khấp khểnh là tình trạng răng mọc lệch khỏi vị trí chuẩn trên cung hàm, khiến hàm răng không đều, chen chúc hoặc lệch khớp cắn. Đây là một trong những vấn đề thẩm mỹ và chức năng phổ biến, ảnh hưởng đến cả ngoại hình và việc ăn nhai hằng ngày.
Bọc răng sứ có giúp răng khấp khểnh đều đẹp hơn không?
Bọc răng sứ là phương pháp sử dụng mão sứ để chụp lên răng thật đã được mài nhỏ. Nhiều người nghĩ rằng chỉ cần mài răng khấp khểnh, sau đó bọc sứ lên là sẽ có hàm răng đều và trắng đẹp.
???? Sự thật: Bọc răng sứ chỉ có thể “giả lập” sự đều đặn, không điều chỉnh được gốc răng hay khớp cắn – đây là điều chỉnh nha mới làm được. Vì vậy, nếu chỉ bị lệch nhẹ và răng vẫn còn khỏe, không nên bọc sứ chỉ để làm đều.
Vì sao không nên bọc răng sứ cho răng khấp khểnh khỏe mạnh?
❌ Mài răng khỏe là xâm lấn không cần thiết:Răng phải mài nhỏ để bọc sứ, và điều này sẽ làm mất lớp men răng tự nhiên – khiến răng yếu dần đi theo thời gian.
❌ Không giải quyết được gốc răng và khớp cắn:Dù nhìn ngoài có vẻ đều, nhưng gốc răng bên trong vẫn lệch, lâu dài dễ gây lệch hàm, đau khớp thái dương hàm, mòn răng đối diện.
❌ Tuổi thọ kém nếu nền răng yếu:Bọc răng sứ trên răng khấp khểnh, gốc lệch có thể dẫn đến hở nướu, tụt lợi, mất thẩm mỹ sau vài năm.
Bọc sứ KHÔNG phải là phương pháp chỉnh nha
-
Nhiều người lầm tưởng rằng bọc sứ có thể “làm đều răng”. Thực tế, bác sĩ sẽ phải mài nhỏ thân răng thật, sau đó chụp sứ lên để tạo hình dáng “thẳng đều” hơn.
-
Tuy nhiên, điều này không điều chỉnh được khớp cắn – và về lâu dài có thể gây lệch khớp thái dương hàm, mòn răng đối diện, hoặc tiêu xương.

Răng khấp khểnh nên niềng – không nên “mài cho đều”
-
Nếu răng bạn chỉ lệch nhẹ, chen chúc, không đều – niềng răng là phương pháp khoa học và an toàn hơn nhiều vì:
-
Không xâm lấn men răng
-
Điều chỉnh khớp cắn chuẩn
-
Bảo tồn răng thật lâu dài
-
Khi nào nên bọc răng sứ cho răng khấp khểnh?
-
Răng khấp khểnh nhưng kèm theo răng sâu lớn, mòn nhiều, gãy vỡ hoặc đã điều trị tủy → Lúc này, bọc sứ có thể vừa thẩm mỹ, vừa phục hình chức năng.
- Răng khấp khểnh nhưng đã hỏng nặng, bị sâu lớn, vỡ gãy, viêm tủy, mòn men…
- Có sự đánh giá tổng thể từ bác sĩ phục hình và bác sĩ chỉnh nha, đảm bảo khớp cắn và cấu trúc hàm không bị ảnh hưởng.
- Người trưởng thành không thể/không muốn niềng răng, nhưng chấp nhận rủi ro của việc mài răng.
-
Tuy nhiên, vẫn cần bác sĩ chuyên về phục hình + chỉnh nha đánh giá kỹ trước khi quyết định.
Lưu ý: Nên chụp phim CT toàn hàm trước khi quyết định để xác định rõ hướng mọc, chân răng và tình trạng xương hàm.
Răng khấp khểnh nên niềng răng hay bọc răng sứ?
Giải pháp tối ưu: Chỉnh nha (niềng răng)
Nếu răng bạn chỉ lệch nhẹ, không sâu hay gãy vỡ, phương pháp chỉnh nha là giải pháp an toàn, không xâm lấn và có thể giữ răng thật trọn đời:
✅ Không cần mài răng
✅ Đưa răng về đúng vị trí trên cung hàm
✅ Giữ đúng khớp cắn, ngăn lệch hàm, mòn răng
Tại Nha khoa Olympia, chúng tôi cung cấp các gói niềng răng cá nhân hóa giúp bạn đạt hiệu quả chỉnh nha tối ưu với thời gian phù hợp.
Kết luận: Răng khấp khểnh có nên bọc răng sứ không?
KHÔNG nên nếu răng vẫn còn khỏe, chỉ lệch nhẹ, vì dễ làm hỏng răng thật và không giải quyết tận gốc vấn đề. Thay vào đó, hãy chọn chỉnh nha để giữ nụ cười lâu dài, bền vững.
Nếu bạn băn khoăn về tình trạng của mình, hãy để bác sĩ tại Nha khoa Olympia thăm khám trực tiếp và tư vấn lộ trình phù hợp nhất.
Bọc sứ không phải là cách chỉnh răng khấp khểnh đúng nghĩa.
Nếu răng bạn còn khỏe và chỉ lệch nhẹ → Niềng là hướng điều trị lâu dài, khoa học hơn.
Đừng vì “đẹp nhanh” mà đánh đổi cả răng thật suốt đời!



