Theo thống kê tại Nha khoa Olympia, có đến 60% bệnh nhân mất răng không chỉ mất 1 chiếc mà thường mất nhiều răng liên tiếp, đặc biệt là vùng răng hàm. Khi đó, nhiều cô chú thường băn khoăn:
“Nếu tôi mất 3–4 răng liền nhau, có cần trồng từng trụ riêng không? Hay có cách nào tiết kiệm hơn?”
Trong bài viết này, ThS.BS Phạm Hùng Sơn – chuyên gia Implant phục hình toàn hàm hơn 20 năm kinh nghiệm, sẽ giúp cô chú hiểu rõ cách tính chi phí trồng răng Implant khi mất nhiều răng, kèm ví dụ thực tế và bảng giá cụ thể tại Nha khoa Olympia (40 Trần Quang Diệu, Đống Đa, Hà Nội).
Mục lục
- 1 Nguyên tắc chung khi tính chi phí trồng răng Implant
- 2 Bảng giá trồng răng Implant mới nhất 2025 tại Nha khoa Olympia
- 3 Cách tính chi phí trồng răng khi mất nhiều răng – từng trường hợp cụ thể
- 4 Vì sao không nên làm cầu răng khi mất nhiều răng liên tiếp
- 5 Ưu điểm khi trồng răng Implant tại Nha khoa Olympia
- 6 Lời khuyên của bác sĩ dành cho cô chú mất nhiều răng
- 7 Tư vấn miễn phí cùng chuyên gia
- 8 Xem thêm các bài viết liên quan
Nguyên tắc chung khi tính chi phí trồng răng Implant
Chi phí trồng răng Implant được tính dựa trên số lượng trụ cần cấy ghép, số răng phục hình bên trên và tình trạng xương hàm.
Công thức tổng quát:
👉 Tổng chi phí = (Giá trụ Implant × số trụ cần trồng) + (Giá răng sứ × số răng cần phục hình) + (Chi phí tăng thể tích xương / nâng nền xoang nếu có)
💡 Ghi nhớ:
Không phải mất bao nhiêu răng là cần trồng bấy nhiêu trụ Implant.
Bác sĩ sẽ dựa trên mật độ xương, vị trí răng mất, khả năng chịu lực nhai để tính toán số trụ tối ưu nhất – giúp tiết kiệm mà vẫn đảm bảo độ bền và ăn nhai tự nhiên.
Bảng giá trồng răng Implant mới nhất 2025 tại Nha khoa Olympia
| Loại trụ Implant | Xuất xứ | Giá 1 trụ (VNĐ) |
|---|---|---|
| Dentium Superline | Hàn Quốc | 12.000.000 – 15.000.000 |
| Dentium Implants | Hàn Quốc | 14.000.000 – 17.000.000 |
| Neodent | Thụy Sĩ | 20.000.000 – 25.000.000 |
| Straumann | Thụy Sĩ | 28.000.000 – 35.000.000 |
💬 Chi phí trồng 1 răng Implant tại Nha khoa Olympia: 12.000.000 – 35.000.000 VNĐ (bao gồm trụ + abutment + răng sứ).
Chi phí bổ sung (nếu có):
-
Tăng thể tích xương hàm bị thiếu: 3.000.000 – 10.000.000 VNĐ
-
Nâng nền xoang bị sà xuống: 5.000.000 – 10.000.000 VNĐ
Thanh toán chia 2 đợt:
-
Đợt 1: Khi đặt trụ – thanh toán 70% chi phí
-
Đợt 2: Khi lắp răng sứ – thanh toán 30% còn lại

Cách tính chi phí trồng răng khi mất nhiều răng – từng trường hợp cụ thể
Dưới đây là hướng dẫn chi tiết từng trường hợp thực tế, giúp cô chú hiểu nên trồng bao nhiêu trụ Implant, tổng chi phí khoảng bao nhiêu và cách tính cụ thể.
Mất nhiều răng đơn lẻ (không liền kề)
Trường hợp này thường gặp ở người lớn tuổi, mất răng xen kẽ giữa các răng còn lại.
👉 Mỗi vị trí răng mất cần 1 trụ Implant riêng biệt vì các răng còn lại không thể làm cầu nối.
Công thức:
Tổng chi phí = (Giá 1 trụ × số răng mất)
Ví dụ:
Cô Hạnh (58 tuổi) mất 2 răng hàm và 1 răng cửa (3 vị trí riêng biệt).
→ Bác sĩ chỉ định 3 trụ Dentium Hàn Quốc.
→ Tổng chi phí: 12.000.000 × 3 = 36.000.000 VNĐ

Nếu chọn trụ Superline (Mỹ): 16.500.000 × 3 = 49.500.000 VNĐ
Nếu chọn trụ Neodent (Thụy Sĩ): 22.500.000 × 3 = 67.500.000 VNĐ
Mất 3 răng liên tiếp
Thay vì trồng 3 trụ, bác sĩ có thể trồng 2 trụ Implant ở 2 đầu, rồi làm 1 răng sứ nối ở giữa.
Công thức:
Tổng chi phí = (Giá trụ × 2) + (Giá răng sứ × 3)
Ví dụ:
Cô Lan mất 3 răng hàm liên tiếp → Bác sĩ chỉ định 2 trụ Dentium Superline + 1 răng sứ Zirconia phát sinh.
→ Chi phí: (12.000.000 × 2) + 3.000.000 = 27.000.000 VNĐ
Nếu xương tiêu nhẹ, cần tăng thể tích xương thêm 3.000.000 → Tổng: 30.000.000 VNĐ

Mất 4 răng liên tiếp
Bác sĩ sẽ trồng 3 trụ Implant, nâng đỡ 4 răng sứ liền nhau.
Công thức:
Tổng chi phí = (Giá trụ × 3) + 1 răng sứ Zirconia phát sinh.
Ví dụ:
Cô Tâm mất 4 răng vùng hàm dưới, chọn trụ Neodent (Thụy Sĩ).
→ Chi phí: (22.500.000 × 3) + (3.000.000 × 4) = 78.000.000 VNĐ
Mất 5 răng liên tiếp
Tuỳ vào nền xương, bác sĩ có thể trồng 3 hoặc 4 trụ Implant, phục hình 5 răng sứ bên trên.
Công thức:
Tổng chi phí = (Giá trụ × 3 hoặc 4) + 1 răng sứ Zirconia phát sinh.

Ví dụ:
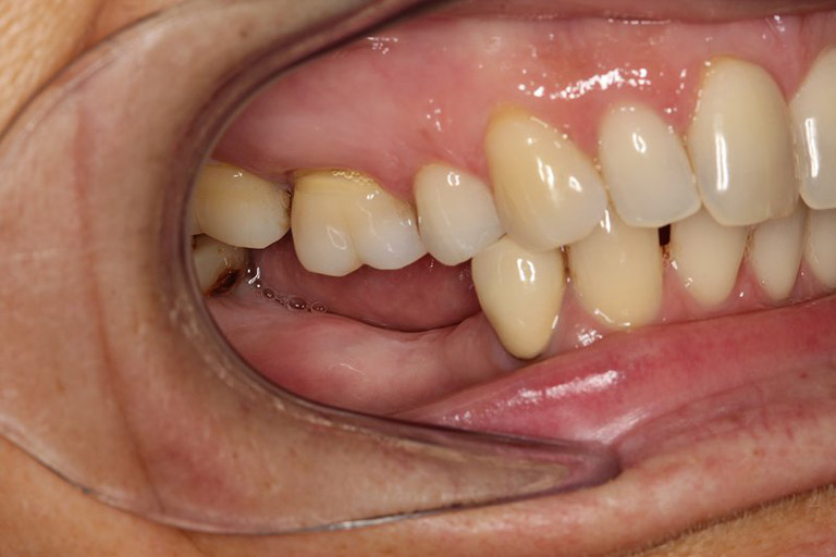
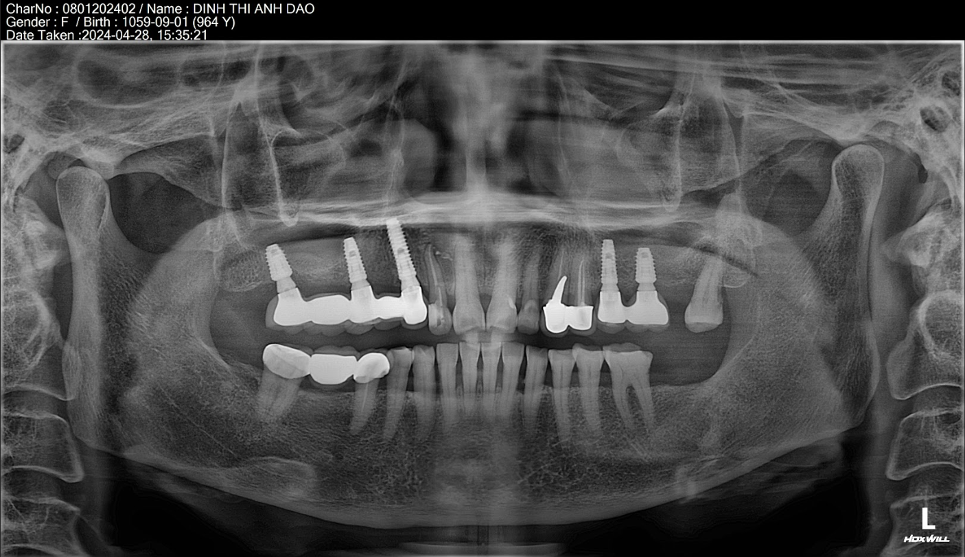
Cô Anh Đào mất 5 răng liên tiếp, nền xương tốt → chỉ cần 3 trụ Dentium Implants.
→ Chi phí: (12.000.000 × 3) + (3.000.000 x 2) = 42.000.000 VNĐ

Nếu xương yếu → bác sĩ đặt 4 trụ, tổng chi phí khoảng 54.000.000 VNĐ.
Cô Đinh Thị Anh Đào có cụm răng mất 5 răng liên tiếp cần trồng 3 trụ, làm 5 răng lên trên
Mất 6 răng liên tiếp
Thông thường sẽ cấy 4 hoặc 5 trụ Implant, phục hình 6 răng sứ bên trên (tùy nền xương và vị trí nhai).
Công thức:
Tổng chi phí = (Giá trụ × 4 hoặc 5) + 1 hoặc 2 răng sứ Zirconia phát sinh.
Ví dụ:
Chú Bình mất 6 răng hàm trên, xương tiêu vừa → bác sĩ chỉ định 4 trụ Neodent + 2 răng sứ.
→ (22.500.000 × 4) + (3.000.000 × 2) = 96.000.000 VNĐ
Mất 6 răng liên tiếp chỉ cần trồng 4-5 trụ, làm 6 răng lên trên
Mất 7 răng liên tiếp
Với trường hợp này, bác sĩ sẽ trồng 4 hoặc 5 trụ Implant, phục hình 7 răng liền trên cùng 1 dãy.
Công thức:
Tổng chi phí = (Giá trụ × 4 hoặc 5) + 2 hoặc 3 răng sứ Zirconia phát sinh
Ví dụ:
Cô Hòa mất 7 răng hàm dưới → bác sĩ chỉ định 5 trụ Straumann + 7 răng sứ toàn sứ.
→ (30.000.000 × 5) + (3.000.000 × 2) = 156.000.000 VNĐ
Cô chú/anh chị mất răng muốn tham khảo chi phí trồng răng Implant hoặc tư vấn hướng điều trị trực tiếp với trường hợp mất răng cụ thể của mình. Vui lòng liên hệ trực tiếp đến hotline của nha khoa tư vấn chi tiết, rõ ràng, minh bạch nhất:
Vì sao không nên làm cầu răng khi mất nhiều răng liên tiếp
Một số cô chú nghĩ rằng “làm cầu răng sứ cho rẻ hơn”, tuy nhiên theo ThS.BS Phạm Hùng Sơn, phương pháp đó có nhiều hạn chế:
-
Phải mài nhỏ răng thật hai bên, gây yếu răng, dễ viêm tủy.
-
Không ngăn được tiêu xương hàm, mặt hóp, lão hóa sớm.
-
Tuổi thọ trung bình chỉ 5–7 năm, trong khi Implant bền đến trên 20 năm.
👉 Vì vậy, trồng Implant là đầu tư lâu dài, tiết kiệm hơn về tổng chi phí duy trì.
Ưu điểm khi trồng răng Implant tại Nha khoa Olympia
-
Trực tiếp thực hiện bởi ThS.BS Phạm Hùng Sơn – hơn 20 năm kinh nghiệm, cấy hơn 17.000 ca thành công.
-
Đồng hành cùng BS Bùi Hưng (Chuyên gia Implant Số hóa) – giúp quy trình nhẹ nhàng, có kiểm soát lâm sàng chính xác.
-
Trang thiết bị hiện đại: Máy CT Cone Beam 3D, Implant kỹ thuật số, phòng mổ vô khuẩn chuẩn châu Âu.
-
Quy trình thanh toán minh bạch – chia 2 đợt rõ ràng.

Lời khuyên của bác sĩ dành cho cô chú mất nhiều răng
-
Nên chụp phim CT 3D trước khi cấy để xác định chính xác mật độ và thể tích xương.
-
Nếu mất răng lâu năm, nên tăng thể tích xương bị thiếu trước khi trồng để trụ bám vững hơn.
-
Không nên chọn nơi “giá rẻ bất thường” vì có thể dùng trụ không chính hãng, dễ viêm và thất bại sớm.
Tư vấn miễn phí cùng chuyên gia
📍 Nha khoa Olympia – Số 40 Trần Quang Diệu, Đống Đa, Hà Nội
📞 Hotline: 0961 621 186
🕗 Thời gian làm việc: 08:00 – 18:00 hàng ngày
Tại đây, ThS.BS Phạm Hùng Sơn và BS Bùi Hưng sẽ trực tiếp thăm khám, tính toán chính xác số trụ cần thiết – giúp cô chú trồng răng Implant nhẹ nhàng, tiết kiệm, an toàn và bền lâu.



