Cạo vôi răng cho trẻ em có cần thiết không? Lợi ích, thời điểm phù hợp, quy trình nhẹ nhàng tại Nha khoa Olympia giúp bé khỏe răng – không sợ nha sĩ.
Mục lục
- 1 Cạo vôi răng cho trẻ em có cần thiết không? Bác sĩ trả lời thật lòng
- 1.1 Vôi răng là gì? Vì sao trẻ em cũng bị?
- 1.2 Cạo vôi răng cho trẻ em có cần thiết không?
- 1.3 Bao nhiêu tuổi thì nên cạo vôi răng cho bé?
- 1.4 Quy trình cạo vôi răng cho trẻ em tại Olympia
- 1.5 Có nên cạo vôi răng cho trẻ thường xuyên?
- 1.6 Chi phí cạo vôi răng cho bé tại Olympia
- 1.7 Tại sao phụ huynh nên chọn Nha khoa Olympia?
- 1.8 📞 Đặt lịch khám & làm sạch răng cho bé ngay hôm nay!
Cạo vôi răng cho trẻ em có cần thiết không? Bác sĩ trả lời thật lòng
Bạn đang băn khoăn:
“Trẻ nhỏ có cần cạo vôi răng không?” – “Bé mới 5–6 tuổi, có nên làm sạch răng định kỳ?”
Nhiều phụ huynh nghĩ rằng răng sữa sẽ thay, không cần chăm sóc kỹ… nhưng thực tế, vôi răng ở trẻ nhỏ chính là nguyên nhân âm thầm gây sâu răng, hôi miệng và viêm nướu từ rất sớm.
Hãy cùng chuyên gia tại Nha khoa Olympia giải đáp chi tiết để bạn yên tâm hơn khi chăm sóc răng miệng cho bé nhé.

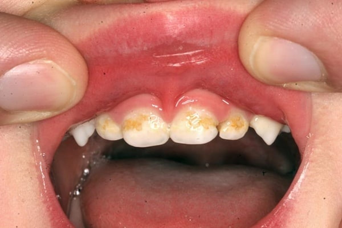
Vôi răng là gì? Vì sao trẻ em cũng bị?
Vôi răng (cao răng) là lớp mảng bám cứng lại, bám quanh cổ răng do thức ăn thừa, vi khuẩn và nước bọt kết hợp tạo thành.
Dù đánh răng kỹ, mảng bám vẫn có thể tồn đọng – đặc biệt ở các vị trí như mặt trong răng cửa, răng hàm…
👉 Trẻ em vẫn bị vôi răng như người lớn, nhất là bé có thói quen:
-
Ăn ngọt, uống sữa đêm
-
Không đánh răng đúng cách hoặc chưa được kiểm tra thường xuyên
-
Thở miệng, khô miệng khi ngủ
Cạo vôi răng cho trẻ em có cần thiết không?
Có!
Cạo vôi răng định kỳ giúp loại bỏ mảng bám cứng đầu – nguyên nhân gây:
✅ Hôi miệng dù bé vẫn đánh răng
✅ Viêm nướu, sưng đỏ, chảy máu khi chải răng
✅ Sâu răng sớm, đặc biệt ở răng cửa, răng sữa
✅ Răng đổi màu, kém thẩm mỹ
✅ Gây ảnh hưởng răng vĩnh viễn sau này nếu không phát hiện kịp thời
📌 Việc làm sạch răng cho bé có thể bắt đầu từ 3–4 tuổi nếu thấy có mảng bám nhiều hoặc dấu hiệu hôi miệng.
Bao nhiêu tuổi thì nên cạo vôi răng cho bé?
Không có độ tuổi cố định, tuy nhiên:
| Độ tuổi bé | Khuyến nghị của bác sĩ |
|---|---|
| 2 – 3 tuổi | Kiểm tra, theo dõi, chưa cần cạo vôi |
| 4 – 6 tuổi | Có thể bắt đầu làm sạch nếu mảng bám nhiều |
| 6 tuổi trở lên | Nên khám định kỳ 6 tháng/lần – cạo vôi nếu cần |
Bác sĩ CK1 tại Olympia sẽ khám lâm sàng kỹ càng trước khi chỉ định – không cạo nếu chưa thực sự cần thiết.
Quy trình cạo vôi răng cho trẻ em tại Olympia
Quy trình được thiết kế riêng cho bé – nhẹ nhàng, không đau, không tiếng ồn:
-
Khám và tư vấn cùng phụ huynh
-
Làm quen không gian – giúp bé không sợ
-
Làm sạch bằng máy siêu âm đầu nhỏ – không ảnh hưởng men răng
-
Đánh bóng răng & hướng dẫn bé chăm sóc răng đúng cách
👉 Chỉ 15–20 phút/lần – bé cảm thấy thoải mái và vui vẻ hơn sau buổi khám.
Có nên cạo vôi răng cho trẻ thường xuyên?
Không cần quá thường xuyên!
Cạo vôi răng chỉ nên thực hiện khi bác sĩ đánh giá có chỉ định.
Thông thường:
-
Mỗi 6 tháng/lần nếu bé có nguy cơ cao (ăn ngọt, vệ sinh kém)
-
Mỗi năm 1 lần nếu bé có thói quen chải răng tốt
Quan trọng hơn là tập cho bé thói quen đánh răng đúng cách và kiểm tra định kỳ.

Chi phí cạo vôi răng cho bé tại Olympia
| Dịch vụ | Giá tham khảo |
|---|---|
| Cạo vôi răng cho bé < 12 tuổi | 200.000 – 250.000đ/lần |
| Khám & tư vấn bác sĩ CK1 | Miễn phí khi đặt lịch online |
| Đánh bóng + Hướng dẫn chải răng | Miễn phí kèm theo |
🎁 Ưu đãi gói “Làm sạch răng cho bé” – giảm 20% khi đi cùng cha mẹ.
Tại sao phụ huynh nên chọn Nha khoa Olympia?
-
👩⚕️ Bác sĩ chuyên khoa Răng trẻ em – khám nhẹ nhàng, trò chuyện cùng bé
-
🦷 Máy siêu âm tần số thấp, đầu tip nhỏ – không gây ê buốt, không tổn thương men răng
-
🎈 Khu khám riêng cho trẻ em – có không gian làm quen, trò chơi, tivi hoạt hình
-
🛡️ Môi trường vô khuẩn, tiêu chuẩn quốc tế – an toàn tuyệt đối cho bé
📞 Đặt lịch khám & làm sạch răng cho bé ngay hôm nay!
-
Hotline: 0961 621 186
-
Địa chỉ: 40 Trần Quang Diệu, Đống Đa, Hà Nội
-
Đặt lịch online tại: https://nhakhoaolympia.vn



