Chụp phim X-quang trước khi trồng răng giúp bác sĩ xác định chính xác thể tích xương, vị trí thần kinh, xoang hàm và nguy cơ tiềm ẩn. ThS.BS Phạm Hùng Sơn – chuyên gia Implant tại Nha khoa Olympia giải thích chi tiết lý do vì sao bắt buộc phải chụp phim và thăm khám tại chỗ, không thể chỉ dựa vào tin nhắn hay hình ảnh khách hàng gửi.
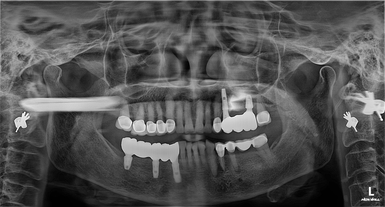
Khi mất răng, nhiều người thường nghĩ chỉ cần đến nha khoa để “đặt trụ”, “gắn răng sứ” là xong. Nhưng trên thực tế, chụp phim X-quang hoặc phim CT Cone Beam 3D là bước không thể thiếu trước khi thực hiện bất kỳ ca trồng răng Implant nào.
Theo ThS.BS Phạm Hùng Sơn – chuyên gia cấy ghép Implant hơn 20 năm kinh nghiệm, việc bỏ qua bước chụp phim là nguyên nhân chính dẫn đến 80% biến chứng sau cấy Implant như: trụ lệch hướng, xâm lấn thần kinh, thủng xoang hoặc tiêu xương quanh trụ sau vài tháng.
Mục lục
- 1 Tại sao phải chụp phim trước khi trồng răng?
- 2 Các loại phim thường được chụp khi trồng răng
- 3 Nhắn tin, gửi ảnh qua Zalo hoặc gọi điện miêu tả — vì sao KHÔNG đủ để chẩn đoán
- 4 Chụp phim có hại gì không? Có tốn nhiều thời gian không?
- 5 Vai trò của phim trong từng giai đoạn trồng răng Implant
- 6 Trường hợp nào bắt buộc phải chụp CT 3D trước khi trồng răng?
- 7 Chụp phim giúp tiết kiệm chi phí điều trị như thế nào?
- 8 Khi nào nên đến Nha khoa Olympia để chụp phim và thăm khám?
- 9 Liên hệ thăm khám và chụp phim tại Nha khoa Olympia
- 10 Xem thêm các bài viết liên quan
Tại sao phải chụp phim trước khi trồng răng?
Chụp phim là cách duy nhất để bác sĩ nhìn thấy được cấu trúc xương hàm bên trong — nơi mắt thường không thể quan sát được.
Cụ thể, phim X-quang giúp đánh giá:
-
Độ cao – độ dày xương hàm: Quyết định có đủ xương để cấy trụ hay phải “tăng thể tích xương hàm bị thiếu” (chi phí từ 3 – 10 triệu VNĐ).
-
Vị trí dây thần kinh và xoang hàm: Đặc biệt quan trọng ở vùng răng hàm dưới và hàm trên, tránh gây tê bì môi, đau dai dẳng hoặc thủng xoang.
-
Mức độ tiêu xương: Với người mất răng lâu năm hoặc đang đeo hàm giả tháo lắp, xương có thể tiêu nghiêm trọng.
-
Tình trạng viêm, nhiễm quanh vùng răng mất: Giúp bác sĩ biết có thể cấy ngay hay cần xử lý viêm trước.
👉 Không chụp phim = Không thể xác định chính xác tình trạng trong xương.
Điều này đồng nghĩa: không thể đưa ra kế hoạch trồng răng an toàn và chính xác.

Các loại phim thường được chụp khi trồng răng
Tùy vào từng trường hợp, bác sĩ sẽ chỉ định các loại phim khác nhau:
• Phim toàn cảnh (Panorex)
Giúp quan sát tổng thể 2 hàm, vị trí răng còn lại, xương và xoang.
→ Thường dùng trong bước khảo sát ban đầu.
• Phim CT Cone Beam 3D
Cho hình ảnh 3 chiều, chi tiết đến từng mm.
→ Là loại phim bắt buộc trong các ca trồng Implant hiện đại.
Phim này giúp bác sĩ đo chính xác thể tích xương, khoảng cách đến dây thần kinh và thiết kế hướng cấy trên phần mềm kỹ thuật số.

• Phim quanh chóp (Periapical)
Dùng để kiểm tra chi tiết một vùng nhỏ — thường áp dụng cho các ca cấy đơn lẻ hoặc kiểm tra viêm quanh răng kế cận.
Nhắn tin, gửi ảnh qua Zalo hoặc gọi điện miêu tả — vì sao KHÔNG đủ để chẩn đoán
Nhiều khách hàng trung niên, lớn tuổi hoặc ở xa thường gửi tin nhắn, hình ảnh hoặc gọi điện để “xin báo giá nhanh” và “xem có cấy được không”.
Tuy nhiên, ThS.BS Phạm Hùng Sơn khẳng định: điều này hoàn toàn không thể thay thế thăm khám trực tiếp.
Lý do:
-
Hình chụp bên ngoài chỉ thấy nướu, không thấy xương bên trong.
→ Trong khi quyết định có cấy Implant được hay không phụ thuộc hoàn toàn vào thể tích xương và khoảng cách giải phẫu. -
Không thể đánh giá độ cứng, độ đặc của xương hàm qua ảnh.
→ Dễ dẫn tới lựa chọn sai loại trụ, sai kích thước trụ → trụ lỏng, tiêu xương, hỏng trụ. -
Không xác định được vị trí dây thần kinh, xoang hàm, ổ viêm.
→ Nếu cấy “mù” không chụp phim, có thể gây biến chứng nặng nề.
📌 Vì vậy, dù khách hàng có gửi ảnh, video hay mô tả chi tiết đến đâu, bác sĩ cũng bắt buộc phải khám trực tiếp và chụp phim.
Chỉ khi đó mới có thể đưa ra kế hoạch điều trị chính xác, an toàn và bền vững.
Chụp phim có hại gì không? Có tốn nhiều thời gian không?
Nhiều cô chú e ngại rằng chụp X-quang sẽ “nhiễm tia” hoặc “hại sức khỏe”.
Thực tế, máy chụp phim kỹ thuật số hiện nay có liều tia cực thấp — chỉ bằng 1/20 so với chụp X-quang y khoa thông thường.
Một lần chụp phim CT Cone Beam 3D chỉ mất 10–15 giây, hoàn toàn không gây đau, không ảnh hưởng đến sức khỏe.
Tại Nha khoa Olympia, toàn bộ hệ thống chụp phim đều là máy CT Cone Beam thế hệ mới, cho hình ảnh rõ nét, chính xác tuyệt đối, giúp bác sĩ thiết kế hướng cấy Implant bằng công nghệ số 3D.
Vai trò của phim trong từng giai đoạn trồng răng Implant
| Giai đoạn | Vai trò của phim X-quang / CT Cone Beam |
|---|---|
| 1. Thăm khám ban đầu | Đánh giá xương, xoang, dây thần kinh, ổ viêm |
| 2. Lên kế hoạch cấy trụ | Mô phỏng hướng cấy chính xác bằng phần mềm |
| 3. Sau khi cấy trụ | Kiểm tra vị trí trụ, độ ổn định và xương quanh trụ |
| 4. Trước khi lắp răng sứ | Đảm bảo trụ tích hợp tốt, không tiêu xương |
| 5. Sau khi hoàn tất | Theo dõi duy trì, đảm bảo trụ ổn định lâu dài |
Trường hợp nào bắt buộc phải chụp CT 3D trước khi trồng răng?
-
Mất răng lâu năm (xương tiêu nhiều, cần đánh giá để tăng thể tích xương hàm bị thiếu).
-
Răng vùng xoang hàm trên (răng số 5, 6, 7).
-
Trồng nhiều răng liên tiếp hoặc trồng toàn hàm.
-
Bệnh lý viêm quanh răng lâu năm cần nhổ hết răng và phục hình lại.
-
Khách hàng từng làm cầu răng sứ hoặc từng cấy Implant thất bại.
Chụp phim giúp tiết kiệm chi phí điều trị như thế nào?
Nghe có vẻ ngược đời, nhưng chụp phim lại giúp khách hàng tiết kiệm đáng kể chi phí dài hạn.
Vì nếu không đánh giá chính xác từ đầu, ca cấy có thể thất bại, phải tháo trụ, ghép lại hoặc sửa chữa — chi phí còn cao hơn nhiều lần.
Ví dụ:
-
Một ca cấy Implant sai hướng, phải tháo trụ → chi phí xử lý có thể tăng thêm 10–15 triệu VNĐ.
-
Trong khi chi phí chụp phim chỉ từ 200.000 – 300.000 VNĐ, nhưng giúp đảm bảo ca cấy an toàn, bền vững 20 năm.
Cô chú/anh chị mất răng muốn tham khảo chi phí trồng răng Implant hoặc tư vấn hướng điều trị trực tiếp với trường hợp mất răng cụ thể của mình. Vui lòng liên hệ trực tiếp đến hotline của nha khoa tư vấn chi tiết, rõ ràng, minh bạch nhất:
Khi nào nên đến Nha khoa Olympia để chụp phim và thăm khám?
-
Khi bị mất răng dù chỉ 1 răng đơn lẻ (răng cửa, răng hàm…)
-
Khi đang đeo hàm giả tháo lắp nhưng ăn nhai yếu, khó chịu
-
Khi có răng lung lay, viêm quanh răng nặng, bác sĩ nghi cần nhổ và trồng lại
-
Khi muốn kiểm tra lại trụ Implant đã trồng có ổn định không
Tại Nha khoa Olympia – Số 40 Trần Quang Diệu, Đống Đa, Hà Nội, khách hàng được:
-
Chụp phim CT Cone Beam 3D ngay tại chỗ
-
Khám và đọc phim trực tiếp bởi ThS.BS Phạm Hùng Sơn
-
Tư vấn miễn phí kế hoạch điều trị phù hợp và an toàn nhất
Quy trình trồng răng số hóa toàn diện tại Nha khoa Olympia
Liên hệ thăm khám và chụp phim tại Nha khoa Olympia
📞 Hotline: 0961 621 186
🏥 Địa chỉ: Số 40 Trần Quang Diệu, Đống Đa, Hà Nội
🕗 Thời gian làm việc: 08:00 – 18:00 hàng ngày
👉 Đừng nhắn tin chỉ để hỏi “trồng được không” — hãy đến trực tiếp để bác sĩ xem phim, kiểm tra và giúp cô chú có kế hoạch trồng răng an toàn, chắc khỏe và ăn nhai tự nhiên như răng thật.
Xem thêm các bài viết liên quan
-
Trồng Implant xong có cần tái khám không? Vì sao lại quan trọng?
-
Tăng thể tích xương hàm bị thiếu là gì? Khi nào cần thực hiện?



