Cầu răng sứ bị lung lay, đau viêm, hỏng? Nên chuyển sang Implant hay tiếp tục làm lại cầu? Bài viết phân tích đầy đủ các trường hợp nên tiếp tục giữ cầu răng sứ hay nên tháo bỏ trường hợp nào. Với các cô chú/ anh chị muốn chuyển từ điều trị cầu răng sứ sang Implant tại bài viết này cũng sẽ cung cấp đầy đủ các thông tin chi tiết về chi phí 1 cách cụ thể cho từng trường hợp 3–4–5–6–8 răng hỏng (đi kèm ví dụ minh họa từ khách hàng thực tế), kèm bảng giá Implant mới nhất tại Nha khoa Olympia. Bài viết được chia sẻ bởi ThS.BS Phạm Hùng Sơn – chuyên gia Implant >20 năm kinh nghiệm.
Mục lục
- 1 Chuyển Từ Cầu Răng Sứ Sang Trồng Răng Implant
- 2 Vì sao cầu răng sứ bị lung lay, viêm và hỏng chỉ sau vài năm?
- 3 Khi cầu răng sứ bị hỏng – có nên tiếp tục làm lại cầu hay chuyển sang Implant?
- 4 Lý do nên chuyển từ cầu răng sứ sang Implant càng sớm càng tốt
- 5 Các tình huống cầu 3–4–5–6–8 răng bị hỏng → chuyển sang Implant
- 6 Quy trình chuyển từ cầu sứ sang Implant tại Nha khoa Olympia
- 7 Lợi ích khi trồng răng Implant tại Nha khoa Olympia
- 8 Tham khảo các bài viết liên quan tại đây:
Chuyển Từ Cầu Răng Sứ Sang Trồng Răng Implant
Cầu răng sứ (dental bridge) xuất hiện và phổ biến từ khoảng 40–50 năm trước, và từng là giải pháp số 1 trong phục hình răng mất cố định trước khi Implant ra đời.
Phương pháp phục hình răng mất này là một trong những lựa chọn quen thuộc đối với người trung niên, lớn tuổi khi mất răng. Thực tế, làm cầu răng sứ vượt trội hơn hẳn so với hàm giả tháo lắp. Có những bệnh nhân, bác sĩ đã từng thăm khám điều trị được làm cầu răng sứ đúng chỉ định, cầu răng làm đúng kỹ thuật tuổi thọ thực tế có thể lên đến 10-15 năm mà chẳng gặp bất cứ vấn đề gì cả.
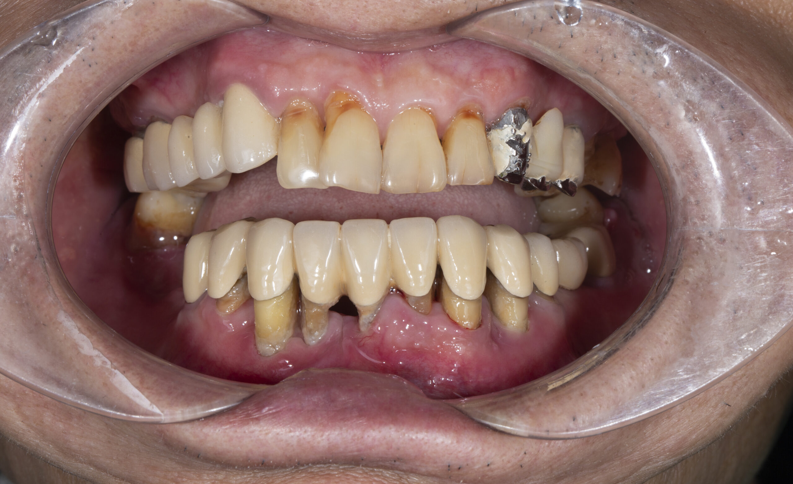
Tuy nhiên, có 1 thực tế đáng buồn là hiện nay nhiều nha khoa thường lạm dụng chỉ định làm cầu răng sứ, hoặc làm cầu không đúng chỉ định kỹ thuật. Nên sau vài năm sử dụng, nhiều vấn đề khiến bệnh nhân trung niên – lớn tuổi phải tìm những giải pháp mới vì không ăn nhai được, thậm chí cũng chẳng còn răng chắc chắn để mài thêm bắc cầu răng. Điển hình như:
-
Cầu răng sứ lung lay: răng trụ yếu dần theo thời gian, mất lực nâng đỡ khiến toàn bộ cầu răng không còn chắc chắn, dễ xô lệch khi ăn nhai.
-
Đau nhức, viêm nướu: khe tiếp xúc giữa cầu răng và nướu dễ tích tụ mảng bám, tạo điều kiện cho vi khuẩn phát triển, gây viêm đỏ – sưng – đau.
-
Hơi thở hôi, kẽ chân răng bị đen: thực phẩm giắt vào, không vệ sinh sạch được, dẫn đến đổi màu nướu, tạo mùi hôi kéo dài.
-
Viêm tủy, hỏng răng trụ: hai răng thật bị mài nhỏ để làm trụ phải chịu lực nhai lớn trong nhiều năm, dễ chết tủy, sâu răng, nứt chân răng và có thể hỏng hoàn toàn.
-
Cầu sứ nứt – gãy: khi răng trụ yếu hoặc cầu răng không còn khít sát, lực nhai phân bổ không đều dẫn đến sứt mẻ hoặc gãy cầu.
- Răng trụ bị sâu hoặc gãy: làm cả cầu răng hỏng và buộc phải tháo bỏ, điều trị lại từ đầu.
-
Tiêu xương hàm ngày càng nặng: vì không có chân răng thay thế nên xương vùng răng mất tiếp tục tiêu đi, khiến nướu lõm sâu và làm cầu răng lộ hở, mất thẩm mỹ.
Răng như thế này thì ăn chẳng ăn được, nuốt cũng chẳng xong, ăn uống là đau nhức khó chịu. Lúc này, đặt câu hỏi: Có nên làm lại cầu mới hay chuyển sang trồng răng Implant? Chi phí là bao nhiêu?

Nếu cô chú/anh chị đã làm cầu răng gặp các bất tiện như lung lay, viêm, hôi miệng…cảm thấy mình không thể chịu đựng thêm khi dùng giải pháp này và muốn nhận tư vấn trực tiếp về quy trình, thời gian, chi phí điều trị trực tiếp khi chuyển từ cầu răng sứ sang Implant ngay tại phòng khám cùng bác sĩ hoàn toàn có thể để lại thông tin để chụp phim, lên kế hoạch tổng thể tình trạng răng MIỄN PHÍ tại đây:
Trường hợp, cô chú/anh chị đang làm cầu răng muốn đọc nghiên cứu chi tiết và hiểu bản chất hơn về giải pháp mới Implant thì phần bên dưới bài viết dưới đây phân tích tất cả trường hợp từ cầu 3–4–5–6–8 răng bị hỏng và cách chuyển sang Implant, kèm bảng giá chi tiết.
Vì sao cầu răng sứ bị lung lay, viêm và hỏng chỉ sau vài năm?
Tiêu xương hàm làm cầu răng không còn điểm đỡ
Khi mất răng, xương hàm bên dưới không còn lực nhai → xương tiêu dần, trung bình 0.4–0.7 mm/năm. Cầu răng sứ chỉ là phục hình tạm thời, không thể ngăn tiêu xương, vì nó không có chân răng thay thế mà chỉ có mỗi răng giả bên trên.
Hãy hiểu đơn giản việc mất răng giống như khi trồng cây ở rừng phòng hộ, bộ rễ của cây sẽ đâm xuống mặt đất giúp giữ lại lớp đất, đá, chất dinh dưỡng khi trời mưa, lũ. Chân răng cũng đóng vai trò tương tự như vậy trong cung hàm.

Khi ăn uống, lực ăn nhai thông qua thân răng truyền xuống chân răng để kích thích quá trình sinh xương. Nhưng khi răng mất, thì không còn chân răng truyền lực, không thể kích thích được xương hàm bên dưới, dần dần xương hàm mất kích thích, bắt đầu tiêu ngót, nướu (lợi) tụt dần xuống theo xương
Khi xương tiêu → khoảng hở giữa lợi và cầu xuất hiện → thức ăn nhét vào → viêm → đau → Cầu răng ngày càng lỏng – hở – lung lay do xương tiêu quá nhiều
Răng trụ bị mài nhỏ → yếu dần theo thời gian
Để làm cầu răng sứ, bác sĩ buộc phải mài nhỏ hai răng thật nằm cạnh vị trí mất răng để làm trụ. Việc này khiến răng trụ mất đi lớp men và mô răng bảo vệ tự nhiên – giống như “cột nhà bị gọt mỏng đi”, khả năng chịu lực giảm đáng kể.
Sau vài năm sử dụng:
-
Răng trụ phải gánh toàn bộ lực nhai cho cả ba răng (hai răng trụ + răng giả ở giữa), để càng lâu càng quá tải lực. Hơn nữa răng bị mài đi thì sẽ ngày càng yếu, dễ bị tổn thương hơn so với nguyên trạng ban đầu do việc mài răng là xâm lấn không thể phục hồi lại được.
-
Lực nhai càng lớn → răng trụ càng nhanh mòn – yếu – lung lay.
-
Dễ xảy ra viêm tủy, chết tủy, sâu tái phát dưới mão sứ.
-
Một số trường hợp, răng trụ gãy hoặc nứt chân răng, buộc phải nhổ bỏ và làm lại toàn bộ phục hình.
- Nhiễm trùng chân răng do răng trụ bị mài nhỏ, yếu dần và không còn lớp men bảo vệ tự nhiên. Khi vi khuẩn xâm nhập vào phần tủy răng hoặc vùng chóp chân răng, nhiễm trùng bắt đầu hình thành. Nên nhiều cô chú trước khi đến thăm khám thường xảy ra quá trình viêm mủ ( nướu sưng đỏ, có thể chảy máu) tại chân răng đã mài làm trụ, tái viêm nhiều lần không hết do các nang xương hàm gây đau nhức âm ỉ, đau tăng lên khi nhai thậm chí bị sốt nhẹ khi viêm lan rộng.
Khi răng trụ yếu đi → toàn bộ cầu răng trở nên lỏng lẻo, dễ đau, dễ viêm, và tuổi thọ chỉ còn 3–7 năm.

Cầu dài → lực nhai dồn lên trụ → gãy, bật cầu
Khi cầu răng bị hỏng, nhiều phòng khám trước đây thường chọn cách mài thêm các răng kế cận để làm lại một cầu lớn hơn, có khi kéo dài 5, 6, thậm chí 8 răng liền.
Nghe thì có vẻ “chắc chắn hơn”, nhưng thực tế đây là một trong những nguyên nhân khiến cầu răng:
-
nhanh hỏng,
-
lung lay,
-
gãy mẻ,
-
và cuối cùng là bật cầu hoàn toàn.

Răng trụ phải gánh lực nhai quá lớn: Cầu càng dài → hai răng trụ ở hai đầu phải chịu lực cho toàn bộ dãy cầu.
Bạn hãy tưởng tượng: Một cây cầu dài mà chỉ có hai cột trụ chống đỡ — chỉ cần một lực mạnh cũng khiến cầu rung, nứt và sập.
Trong miệng cũng vậy:
-
Lực nhai từ 5–8 răng bị dồn 100% lên 2 răng trụ.
-
Răng trụ đã từng bị mài, vốn đã yếu → nhanh chóng mòn – nứt – lung lay.
-
Dẫn đến đau nhức – viêm – gãy chân răng.
Cầu dài gây hiện tượng “đòn bẩy”, bật cầu (như hình minh họa bên trên như cầu bập bênh 2 bên): Khi nhai, lực tác động ở giữa cầu sẽ tạo ra hiệu ứng “bập bênh”:
-
Hai đầu răng trụ chịu lực nén
-
Giữa cầu chịu lực uốn
-
Cả cầu bị xô lệch – bật khỏi răng trụ
Đây là lý do nhiều bệnh nhân đang ăn bình thường, bỗng toạc cả cầu răng ra ngoài.
Cầu càng dài thì càng mất ổn định. Răng trụ càng bị khai thác quá mức → càng nhanh hỏng → cuối cùng toàn bộ cầu bật ra. Đây là lý do tại sao nhiều bệnh nhân làm cầu 2–3 lần, mỗi lần càng mài thêm nhiều răng, đến khi răng trụ không còn đủ khỏe — chỉ còn cách nhổ bỏ và chuyển sang Implant.
Viêm quanh răng – hôi miệng – tụt lợi: Bộ ba vấn đề thường gặp ở người làm cầu răng sứ

Viêm quanh răng do mảng bám kẹt dưới cầu sứ. Cầu răng sứ là một khối liền, không ôm sát hoàn toàn vào nướu. Sau thời gian sử dụng:
-
Xuất hiện khe hở giữa cầu và nướu
-
Thức ăn nhét vào nhưng không thể vệ sinh sạch
-
Vi khuẩn tích tụ → tạo thành mảng bám, cao răng → viêm quanh răng
Dấu hiệu thường gặp:
-
Nướu sưng đỏ, đau
-
Chảy máu khi chải răng
-
Cảm giác nặng nề, ê buốt quanh răng trụ
Nhiều bệnh nhân phát hiện khi viêm đã nặng và lan xuống tận chân răng trụ.
Hôi miệng dai dẳng do vi khuẩn phân hủy thức ăn dưới cầu: Thức ăn kẹt trong khe cầu răng không thể thoát ra, lâu ngày phân hủy tạo mùi hôi.
Khi viêm quanh răng xuất hiện → dịch viêm, mủ, vi khuẩn càng nhiều → hơi thở trở nên:
-
hôi rõ rệt,
-
mùi khẳn,
-
khó che giấu dù đã vệ sinh kỹ.
Hôi miệng là dấu hiệu cảnh báo cầu răng đã có vấn đề cấu trúc, không còn khít với nướu.
Tụt lợi do tiêu xương dưới vùng mất răng: Cầu răng không có chân răng thật, nên xương hàm bên dưới không nhận được lực nhai → tiêu dần 0.4–0.7 mm/năm.
Khi xương tiêu:
-
Nướu tụt thấp xuống
-
Xuất hiện khoảng hở lớn giữa cầu và lợi
-
Cầu trở nên “kênh”, dễ nhét thức ăn
-
Viêm quanh răng ngày càng nặng hơn
Tụt lợi kéo dài còn làm lộ rìa cầu, gây mất thẩm mỹ và cảm giác đau khi nhai.
Viêm quanh răng – hôi miệng – tụt lợi là hệ quả tất yếu của cầu răng sứ lâu năm, đặc biệt khi xương tiêu, cầu hở, thức ăn kẹt và răng trụ yếu dần.
Nếu không xử lý sớm, tình trạng có thể dẫn đến nhiễm trùng chân răng, bật cầu, phải nhổ răng trụ.
Nếu cô chú anh chị làm cầu răng đọc đến đây và thấy toàn bộ hay 2/3 các dấu hiệu được nhắc đến thì với kinh nghiệm lâm sàn thực tế đã điều trị cho nhiều ca hỏng cầu răng sứ khả răng để giữ lại và điều trị lại bằng phương pháp này rất khó khăn. Lúc này lựa chọn thông minh nhất chính là chuyển sang điều trị bằng phương pháp khác. Và bác sĩ (ThS BS Phạm Hùng Sơn) sẽ chia sẻ chi tiết cho cô chú tại phần bài viết bên dưới:
Khi cầu răng sứ bị hỏng – có nên tiếp tục làm lại cầu hay chuyển sang Implant?
Khi cầu răng sứ hỏng, đa số bệnh nhân băn khoăn giữa hai lựa chọn:
-
Làm lại cầu răng mới
-
Chuyển sang trồng răng Implant
Tuy nhiên, từ góc độ chuyên môn, 90% trường hợp cầu răng hỏng không nên làm lại cầu mới – vì lý do rất rõ ràng:
Làm lại cầu răng đồng nghĩa mài thêm răng thật → mất thêm mô răng → răng trụ càng yếu
Cầu hỏng thường do:
-
răng trụ lung lay
-
chết tủy
-
sâu dưới mão
-
nhiễm trùng chân răng
-
tiêu xương khiến cầu hở
Khi làm lại cầu, bác sĩ buộc phải mài thêm mô răng trụ để tạo mặt phẳng mới.
Mài lần 2, lần 3 → răng trụ trở nên:
-
yếu, mỏng
-
dễ nứt, gãy chân răng
-
mức độ nhiễm trùng tăng
Kết quả: tuổi thọ cầu mới ngắn hơn cầu cũ.
Cầu càng dài → lực nhai dồn lên răng trụ càng lớn → nguy cơ bật cầu rất cao
Nhiều bệnh nhân trước đây đã làm cầu 3 răng → hỏng → làm lại thành cầu 5–6 răng → tiếp tục hỏng.
Cơ chế:
-
Càng nhiều răng giả → lực nhai càng nặng
-
Hai răng trụ phải gánh toàn bộ
-
Cầu hoạt động như một “đòn bẩy”
-
Răng trụ lung lay → cầu bật ra
Đây là chu trình lặp lại: hỏng → làm lại cầu → tiếp tục hỏng → nhổ răng trụ.
Mất Răng Lâu Làm Hàm Tháo Lắp, Cầu Răng Sứ Hay Trồng Implant? So Sánh Các Phương Pháp Phục Hình Răng
Làm lại cầu không giải quyết gốc rễ: tiêu xương dưới vùng mất răng
Cầu răng không có chân răng thay thế, nên xương dưới vị trí mất răng:
-
tiếp tục tiêu 0.4–0.7 mm/năm
-
nướu tụt
-
khe hở xuất hiện → nhét thức ăn → viêm
Dù làm lại cầu nhiều lần cũng không thể ngăn tiêu xương.
Do đó, sau 3–7 năm, cầu mới vẫn sẽ:
-
lung lay
-
hở
-
viêm
-
đau nhức
Implant khắc phục triệt để vấn đề mà cầu răng không thể
Implant có chân răng nhân tạo
-
Truyền lực nhai xuống xương
-
Giúp xương duy trì độ dày
-
KHÔNG còn tình trạng tiêu xương, tụt lợi
Không phải mài răng thật
-
Giữ nguyên vẹn 100% răng kế cận
-
Không lo chết tủy, lung lay răng trụ
Độc lập – bền vững
-
Implant đứng độc lập từng răng
-
Không tạo lực “đòn bẩy” như cầu dài
-
Tuổi thọ cao, thường 20 năm – trọn đời
Vệ sinh dễ dàng
-
Đánh răng, tăm nước, chỉ nha khoa như răng thật
-
Không còn nhét thức ăn, hôi miệng, viêm lợi như cầu sứ lâu năm
Vậy khi nào còn có thể làm lại cầu?
Chỉ trong 2 trường hợp sau:
-
Mất 1 răng và răng trụ hai bên còn nguyên vẹn, chắc khỏe
-
Bệnh nhân không đủ điều kiện tài chính tạm thời
Ngoài ra, bất kỳ trường hợp cầu hỏng nào kèm:
-
tiêu xương
-
răng trụ yếu
-
viêm – nhiễm trùng
-
cầu dài
-
chết tủy
→ KHÔNG nên làm lại cầu.
👉 Nếu cầu răng đã hỏng → giải pháp an toàn, bền vững nhất là chuyển sang Implant. Vừa khắc phục tiêu xương, vừa bảo tồn răng thật, vừa tạo khả năng ăn nhai chắc chắn lâu dài.
Lời khuyên từ ThS.BS Phạm Hùng Sơn:
Nếu răng trụ đã yếu hoặc đã từng làm cầu >1 lần → bắt buộc nên chuyển sang Implant.
Implant độc lập từng răng, không ảnh hưởng răng thật, ngăn tiêu xương, dùng bền 20–30 năm.
Lý do nên chuyển từ cầu răng sứ sang Implant càng sớm càng tốt
Ngăn tiêu xương hàm – điểm vượt trội của Implant
Khi mất răng, xương hàm bên dưới không còn nhận lực nhai, dẫn đến tiêu dần trung bình 0,4–0,7 mm mỗi năm.
Cầu răng sứ không có chân răng, nên lực nhai không truyền xuống xương → xương tiếp tục tiêu → nướu tụt, cầu hở, dễ viêm và lung lay.
Ngược lại, Implant thay thế chân răng tự nhiên:
-
Trụ Implant cấy vào xương hàm
-
Lực ăn nhai từ răng sứ truyền trực tiếp xuống trụ → kích thích xương
-
Giữ xương chắc khỏe, ngăn tiêu xương 100%
-
Nướu ôm sát răng, duy trì thẩm mỹ và chức năng ăn nhai lâu dài
Nói đơn giản: Implant giống như cây rễ trong rừng phòng hộ, giúp xương hàm “giữ đất” và phát triển vững chắc, trong khi cầu răng chỉ là “cây giả” trên mặt đất, không thể giữ gìn xương.
Khách hàng làm cầu răng sứ cách đây 10 năm nhưng dùng gãy, vỡ không thể ăn được
Không cần mài thêm răng thật – lợi ích vượt trội của Implant
Khi cầu răng sứ hỏng, nhiều người nghĩ đến việc mài thêm răng kế cận để làm cầu mới. Tuy nhiên:
-
Răng trụ cũ thường đã bị mài và yếu
-
Mài tiếp → mỏng thêm, dễ gãy, chết tủy
-
Chịu lực nhai cho toàn bộ cầu dài → răng trụ quá tải, tăng nguy cơ bật cầu
Ngược lại, Implant không cần mài răng thật:
-
Trụ Implant độc lập, đứng vững trên xương hàm
-
Không ảnh hưởng răng kế cận
-
Giữ nguyên vẹn 100% răng tự nhiên
-
Đảm bảo ăn nhai chắc chắn, lâu dài, an toàn cho các răng thật còn lại
Đây là lý do tại Nha khoa Olympia, khi cầu răng sứ hỏng, bác sĩ luôn tư vấn chuyển sang Implant thay vì làm lại cầu, vừa bảo tồn răng thật, vừa ngăn tiêu xương và duy trì chức năng ăn nhai.
Nhai chắc như răng thật – điểm mạnh của Implant
Một trong những lợi ích nổi bật nhất của Implant là khả năng ăn nhai gần như răng thật:
-
Trụ Implant tích hợp trực tiếp vào xương hàm → tạo nền chắc chắn, vững như chân răng thật.
-
Khác với cầu răng sứ, Implant không dựa vào răng trụ kế cận, lực nhai được phân bổ trực tiếp xuống xương hàm.
-
Tuổi thọ Implant lâu dài: 25–30 năm, thậm chí nhiều trường hợp sử dụng trọn đời nếu được chăm sóc đúng cách.
-
Ăn nhai thoải mái, kể cả đồ cứng, mà không lo lung lay hay bật răng như cầu sứ lâu năm.
Nói đơn giản: Implant hoạt động giống như răng thật, giúp bệnh nhân ăn uống thoải mái, tự tin và bảo vệ sức khỏe xương hàm lâu dài.
Ngăn viêm nhiễm tái phát – lợi ích của Implant so với cầu răng sứ
Một trong những nhược điểm lớn của cầu răng sứ lâu năm là khoảng hở giữa cầu và lợi, dẫn đến:
-
Thức ăn nhét vào khe → vi khuẩn phát triển
-
Viêm nướu, viêm quanh răng trụ
-
Hôi miệng kéo dài
Implant khắc phục triệt để vấn đề này:
-
Trụ Implant và răng sứ ôm sát nướu tự nhiên
-
Không còn khe hở → thức ăn không lọt vào
-
Giảm viêm nhiễm, hôi miệng và đau nhức
-
Vùng nướu quanh răng Implant duy trì khỏe mạnh lâu dài
Nói đơn giản: Implant xây dựng lại chân răng và nướu hoàn chỉnh, giúp ăn nhai an toàn, nướu khỏe, không còn lo viêm hay hôi miệng tái phát như cầu sứ lâu năm.
Dưới góc nhìn ThS.BS Phạm Hùng Sơn – Chuyên gia Implant với hơn 20 năm kinh nghiệm, đa số trường hợp cầu răng sứ bị hỏng đều nên chuyển sang Implant, vì:
-
Làm lại cầu mới tiếp tục phải mài nhỏ răng trụ
-
Răng trụ thường đã yếu, viêm, không còn khỏe để nâng đỡ
-
Càng chờ lâu càng tiêu xương, sau này phục hồi khó hơn
-
Implant giúp khôi phục độc lập từng vị trí mất răng, không xâm lấn răng thật
Bài viết dưới đây phân tích tất cả trường hợp từ cầu 3–4–5–6–8 răng bị hỏng và cách chuyển sang Implant, kèm bảng giá chi tiết.
Các tình huống cầu 3–4–5–6–8 răng bị hỏng → chuyển sang Implant
Tổng chi phí = Số trụ Implant × Giá trụ + Số nhịp răng phát sinh × 3.000.000đ
(Số nhịp răng phát sinh = Tổng số răng – Số trụ)
(1 nhịp răng sứ = 3.000.000đ — tính cho răng phát sinh ngoài số trụ)
Giá trụ tại Nha khoa Olympia (theo bảng giá mới nhất):

Mức giá trụ sử dụng (theo bảng anh cung cấp):
-
Dentium: 12.000.000 đ / trụ
-
Superline: 16.500.000 đ / trụ
-
Neodent: 22.500.000 đ / trụ
-
Straumann SLA: 29.750.000 đ / trụ
-
Straumann SLActive: 34.850.000 đ / trụ
Ghi chú: Bảng tính đã bao gồm Abutment + Răng sứ cho mỗi trụ theo giá trọn gói; phần “nhịp phát sinh” chỉ là răng (nhịp) phát sinh phải làm thêm, tính 3.000.000đ/nhịp.
Mỗi bảng: cột Số trụ, Số nhịp phát sinh = Số răng − Số trụ, và giá tổng theo từng loại trụ. Giá ghi bằng chữ dạng: xx.xxx.xxx đ.
Trường hợp các cô chú/anh chị khi chọn trụ Implant để cấy thay thế cầu răng. Hãy chọn ưu tiên theo điều kiện kinh tế, kinh tế đến đâu chọn dòng trụ giá phù hợp. Một lưu ý là cô chú/anh chị không chọn trụ giá rẻ 1,9 Triệu; 2,9 Triệu; 3,9 Triệu để tránh hỏng thêm hỏng răng và đặc biệt là nền xương. Trường hợp cô chú chưa biết chọn loại trụ nào hãy đọc ngay bài viết này [Cách chọn loại trụ Implant phù hợp với từng đối tượng – BS Phạm Hùng Sơn chia sẻ bí quyết lựa chọn “chuẩn – bền – tiết kiệm”] rồi quay trở lại bài viết này đọc tiếp hoặc chọn loại trụ phù hợp nhanh nhất bằng cách gọi điện thoại trực tiếp để nhận tư vấn dòng trụ phù hợp tại hotline bên dưới:
Cầu 3 răng → cấy 2 trụ (3 răng, 2 trụ)
Tổng chi phí = 2 × Giá trụ (loại trụ đã chọn) + 1 × 3.000.000đ
| Loại trụ | Số trụ | Số răng | Số nhịp phát sinh | Tổng tiền |
|---|---|---|---|---|
| Dentium | 2 | 3 | 1 | 27.000.000 đ |
| Superline | 2 | 3 | 1 | 36.000.000 đ |
| Neodent | 2 | 3 | 1 | 48.000.000 đ |
| Straumann SLA | 2 | 3 | 1 | 62.500.000 đ |
| Straumann SLActive | 2 | 3 | 1 | 72.700.000 đ |
Bác làm cầu Implant 3 răng do cầu răng bị hỏng
Cầu 4 răng → phương án A: 2 trụ (phổ biến)
Tổng chi phí = 2 × Giá trụ (loại trụ đã chọn) + 2 × 3.000.000đ
| Loại trụ | Số trụ | Số răng | Số nhịp phát sinh | Tổng tiền |
|---|---|---|---|---|
| Dentium | 2 | 4 | 2 | 30.000.000 đ |
| Superline | 2 | 4 | 2 | 39.000.000 đ |
| Neodent | 2 | 4 | 2 | 51.000.000 đ |
| Straumann SLA | 2 | 4 | 2 | 65.500.000 đ |
| Straumann SLActive | 2 | 4 | 2 | 75.700.000 đ |
Cầu 4 răng → phương án B: 3 trụ (ổn định hơn)
Tổng chi phí = 3 × Giá trụ (loại trụ đã chọn) + 1 × 3.000.000đ
| Loại trụ | Số trụ | Số răng | Số nhịp phát sinh | Tổng tiền |
|---|---|---|---|---|
| Dentium | 3 | 4 | 1 | 48.000.000 đ |
| Superline | 3 | 4 | 1 | 61.500.000 đ |
| Neodent | 3 | 4 | 1 | 79.500.000 đ |
| Straumann SLA | 3 | 4 | 1 | 101.250.000 đ |
| Straumann SLActive | 3 | 4 | 1 | 116.550.000 đ |
Cầu 5 răng → cấy 3 trụ
Tổng chi phí = 3 × Giá trụ (loại trụ đã chọn) + 2 × 3.000.000đ
| Loại trụ | Số trụ | Số răng | Số nhịp phát sinh | Tổng tiền |
|---|---|---|---|---|
| Dentium | 3 | 5 | 2 | 51.000.000 đ |
| Superline | 3 | 5 | 2 | 64.500.000 đ |
| Neodent | 3 | 5 | 2 | 82.500.000 đ |
| Straumann SLA | 3 | 5 | 2 | 104.250.000 đ |
| Straumann SLActive | 3 | 5 | 2 | 119.550.000 đ |
Cầu 6 răng → phương án A: 3 trụ
Tổng chi phí = 3 × Giá trụ (loại trụ đã chọn) + 3 × 3.000.000đ
| Loại trụ | Số trụ | Số răng | Số nhịp phát sinh | Tổng tiền |
|---|---|---|---|---|
| Dentium | 3 | 6 | 3 | 54.000.000 đ |
| Superline | 3 | 6 | 3 | 67.500.000 đ |
| Neodent | 3 | 6 | 3 | 85.500.000 đ |
| Straumann SLA | 3 | 6 | 3 | 107.250.000 đ |
| Straumann SLActive | 3 | 6 | 3 | 122.550.000 đ |
Cầu 6 răng → phương án B: 4 trụ (ổn định hơn)
Tổng chi phí = 4 × Giá trụ (loại trụ đã chọn) + 2 × 3.000.000đ
| Loại trụ | Số trụ | Số răng | Số nhịp phát sinh | Tổng tiền |
|---|---|---|---|---|
| Dentium | 4 | 6 | 2 | 66.000.000 đ |
| Superline | 4 | 6 | 2 | 84.000.000 đ |
| Neodent | 4 | 6 | 2 | 108.000.000 đ |
| Straumann SLA | 4 | 6 | 2 | 137.000.000 đ |
| Straumann SLActive | 4 | 6 | 2 | 157.400.000 đ |
Làm cầu răng dài không thể ăn nhai được chú khách hàng quyết tâm chuyển sang Implant để ăn nhai tốt hơn
Cầu 7 răng → phương án A: 4 trụ
Tổng chi phí = 4 × Giá trụ (loại trụ đã chọn) + 3 × 3.000.000đ
| Loại trụ | Số trụ | Số răng | Số nhịp phát sinh | Tổng tiền |
|---|---|---|---|---|
| Dentium | 4 | 7 | 3 | 69.000.000 đ |
| Superline | 4 | 7 | 3 | 87.000.000 đ |
| Neodent | 4 | 7 | 3 | 111.000.000 đ |
| Straumann SLA | 4 | 7 | 3 | 140.000.000 đ |
| Straumann SLActive | 4 | 7 | 3 | 160.400.000 đ |
Cầu 7 răng → phương án B: 5 trụ
Tổng chi phí = 5 × Giá trụ (loại trụ đã chọn) + 2 × 3.000.000đ
| Loại trụ | Số trụ | Số răng | Số nhịp phát sinh | Tổng tiền |
|---|---|---|---|---|
| Dentium | 5 | 7 | 2 | 81.000.000 đ |
| Superline | 5 | 7 | 2 | 103.500.000 đ |
| Neodent | 5 | 7 | 2 | 133.500.000 đ |
| Straumann SLA | 5 | 7 | 2 | 169.750.000 đ |
| Straumann SLActive | 5 | 7 | 2 | 195.250.000 đ |
Cầu 8 răng → phương án A: 4 trụ
Tổng chi phí = 4 × Giá trụ (loại trụ đã chọn) + 4 × 3.000.000đ
| Loại trụ | Số trụ | Số răng | Số nhịp phát sinh | Tổng tiền |
|---|---|---|---|---|
| Dentium | 4 | 8 | 4 | 60.000.000 đ |
| Superline | 4 | 8 | 4 | 78.000.000 đ |
| Neodent | 4 | 8 | 4 | 102.000.000 đ |
| Straumann SLA | 4 | 8 | 4 | 131.000.000 đ |
| Straumann SLActive | 4 | 8 | 4 | 151.400.000 đ |
Cầu 8 răng → phương án B: 5 trụ (ổn định hơn)
Tổng chi phí = 5 × Giá trụ (loại trụ đã chọn) + 3 × 3.000.000đ
| Loại trụ | Số trụ | Số răng | Số nhịp phát sinh | Tổng tiền |
|---|---|---|---|---|
| Dentium | 5 | 8 | 3 | 69.000.000 đ |
| Superline | 5 | 8 | 3 | 91.500.000 đ |
| Neodent | 5 | 8 | 3 | 121.500.000 đ |
| Straumann SLA | 5 | 8 | 3 | 157.750.000 đ |
| Straumann SLActive | 5 | 8 | 3 | 183.250.000 đ |
Cô khách hàng 60 tuổi quyết tâm thay đổi từ cầu răng sứ sang trồng răng Implant
Ghi chú quan trọng (đọc kỹ)
-
Bảng trên chưa bao gồm: chi phí tăng thể tích xương hàm bị thiếu (ghép xương) và nâng nền xoang bị sà xuống nếu cần — các chi phí này phát sinh theo tình trạng xương thực tế. (Tham khảo: tăng thể tích xương 3–10 triệu; nâng nền xoang 5–10 triệu.)
-
Nếu cầu cũ đang bị viêm, lung lay, nhiễm trùng, trước khi đặt Implant cần xử lý nhiễm trùng + làm sạch, có thể cần thời gian hoá giải viêm 4–8 tuần. Chi phí xử lý khác nhau tùy ca.
-
Bán hàm (full-arch / hybrid) thường áp dụng khi cầu quá dài hoặc xương tiêu nặng; mức giá sẽ khác, cần đánh giá CT 3D cụ thể.
-
Tất cả mức giá trên là ước tính theo bảng giá hiện tại — cửa hàng có thể có khuyến mãi hoặc gói ưu đãi theo đợt.
Cô chú/anh chị đang hỏng cầu răng sứ, lung lay khó ăn uống muốn tham khảo chi phí từ cầu răng sứ sang trồng răng Implant hoặc tư vấn hướng điều trị trực tiếp với trường hợp mất răng cụ thể của mình. Vui lòng liên hệ trực tiếp đến hotline của nha khoa tư vấn chi tiết, rõ ràng, minh bạch nhất:
Quy trình chuyển từ cầu sứ sang Implant tại Nha khoa Olympia
Khi cầu răng sứ hỏng, làm lại cầu mới không giải quyết được gốc rễ. Tại Nha khoa Olympia, khách hàng được chuyển sang trồng răng Implant theo công nghệ số, đảm bảo an toàn, không đau, bảo vệ răng thật và xương hàm.
Quy trình trồng răng số hóa toàn diện tại Nha khoa Olympia
Bước 1: Thăm khám – kiểm tra răng trụ và xương hàm
-
Bác sĩ kiểm tra cầu răng hỏng: tình trạng răng trụ, mão sứ, viêm lợi, nhiễm trùng.
-
Chụp X-quang / CT 3D để đánh giá xương hàm, chiều cao, thể tích và mật độ xương.
-
Lập kế hoạch điều trị cá nhân hóa, xác định có cần tăng thể tích xương hay không (chi phí: 3–10 triệu đồng nếu cần).
Bước 2: Tháo bỏ cầu răng cũ – xử lý răng trụ nếu còn sử dụng
-
Tháo cầu răng sứ cẩn thận, tránh làm tổn thương mô nướu.
-
Kiểm tra răng trụ: nếu răng trụ còn chắc, có thể giữ; nếu nhiễm trùng, hỏng tủy → điều trị hoặc nhổ.
-
Làm sạch hoàn toàn khu vực để trồng Implant chính xác và an toàn.
Bước 3: Trồng Implant bằng công nghệ số – có thể dùng máng hướng dẫn phẫu thuật
-
Scan 3D để lập mô phỏng vị trí Implant chính xác cho từng răng.
-
Sử dụng máng hướng dẫn phẫu thuật:
-
Đảm bảo vị trí, hướng, độ sâu Implant chuẩn từng mm
-
Giảm xâm lấn, hạn chế rạch lợi → không đau, hồi phục nhanh
-
-
Cấy trụ Implant trực tiếp vào xương hàm, độc lập với răng kế cận → không ảnh hưởng răng thật.
Bước 4: Phục hình tạm thời – theo dõi tích hợp xương
-
Trong quá trình lành xương (thường 3–6 tháng):
-
Lắp răng tạm thẩm mỹ, giúp ăn nhai nhẹ.
-
-
Bác sĩ theo dõi tình trạng xương hàm, nướu và tích hợp trụ Implant.
Bước 5: Lắp răng sứ cố định trên Implant
-
Sau khi trụ tích hợp xương chắc chắn → lắp răng sứ cố định, màu sắc và hình dáng giống răng thật.
-
Đảm bảo ăn nhai chắc chắn, thẩm mỹ tự nhiên, nướu ôm sát răng, không còn khe hở → không còn nhét thức ăn, viêm nướu hay hôi miệng.
Bước 6: Tái khám định kỳ – bảo dưỡng lâu dài
-
Khách hàng được hướng dẫn vệ sinh Implant đúng cách.
-
Tái khám 6 tháng/lần để kiểm tra:
-
Tình trạng xương hàm
-
Khớp cắn
-
Nướu quanh răng
-
-
Trụ Implant tại Nha khoa Olympia có bảo hành quốc tế, tuổi thọ lâu dài, ăn nhai bền vững 20 năm – trọn đời nếu chăm sóc đúng.
Ưu điểm quy trình tại Nha khoa Olympia
-
Thực hiện bởi chuyên gia ThS.BS Phạm Hùng Sơn (>20 năm kinh nghiệm, hơn 17.000 ca thành công).
-
Sử dụng công nghệ số, máng hướng dẫn phẫu thuật, hạn chế đau – sưng – mất máu.
-
Bảo tồn răng thật, ngăn tiêu xương, duy trì thẩm mỹ và chức năng ăn nhai.
-
Tư vấn chi phí minh bạch, linh hoạt theo nhu cầu khách hàng (chia 2 đợt thanh toán: 70% khi đặt trụ, 30% khi lắp răng sứ).
Gọi điện để nhận tư vấn toàn bộ quá trình điều trị chuyển từ cầu răng sứ sang trồng răng Implant với trường hợp sử dụng cầu răng sứ của cô chú anh chị. Hãy chia sẻ chia tiết số răng đã mài, vị trí và số lượng răng sứ làm cầu để nhận tư vấn chi tiết nhất thông qua bảng thông tin bên dưới:
Lợi ích khi trồng răng Implant tại Nha khoa Olympia
Thực hiện trực tiếp bởi chuyên gia Implant hàng đầu – kết quả là sự an tâm tuyệt đối
Trồng răng Implant không chỉ là đặt một chiếc trụ vào xương hàm – mà là mô phỏng lại toàn bộ cấu trúc răng thật, quyết định đến khả năng ăn nhai 10–20 năm, thậm chí cả đời.
Vì vậy, yếu tố đầu tiên và quan trọng nhất chính là người bác sĩ.
Tại Nha khoa Olympia, toàn bộ ca phẫu thuật Implant được phụ trách bởi:
👉 ThS.BS Phạm Hùng Sơn – Chuyên gia Implant hơn 20 năm kinh nghiệm, hơn 17.000 ca thành công.
Khi bác sĩ đã xử lý hàng chục nghìn ca, đặc biệt là những ca khó như mất răng lâu năm, tiêu xương, tụt nướu, nền xoang sà xuống… thì việc trồng 1–2 chiếc răng đối với bác chỉ đơn giản như “vẽ lên một bản đồ đã thuộc nằm lòng”.
ThS BS Phạm Hùng Sơn trong chương trình “Sống khỏe mỗi ngày” chia sẻ về cách trồng răng an toàn
Lợi ích dành cho khách hàng:
-
Tỷ lệ thành công cao vượt trội.
-
Hạn chế tối đa đau, sưng, biến chứng.
-
Trụ Implant chắc – bền – tích hợp xương đẹp.
-
Quá trình phục hồi nhanh, ăn nhai sớm hơn.

👉 Bác sĩ Bùi Văn Hưng – Người đưa công nghệ Digital Implant trở thành “tiêu chuẩn” điều trị tại Olympia
Nếu ThS.BS Phạm Hùng Sơn là “bàn tay vàng phẫu thuật” thì BS Bùi Hưng chính là bộ não số hóa đứng sau mọi kế hoạch đặt trụ tại Nha khoa Olympia.
BS Hưng không chỉ thực hiện Implant theo kỹ thuật truyền thống, mà còn là người chuyên sâu về công nghệ Digital Implant, tích hợp toàn bộ dữ liệu 3D để xác định vị trí – hướng đi – độ sâu – lực chịu tải của từng trụ Implant.
Với BS Bùi Hưng, mỗi ca Implant đều là một bài toán kỹ thuật chính xác tuyệt đối, không để yếu tố “đoán cảm giác của bác sĩ” chi phối như trước kia.
Điều này mang lại lợi ích cực lớn cho khách hàng:
-
Vị trí trụ Implant đặt đúng 100% theo kế hoạch.
-
Tránh chạm dây thần kinh, xoang hàm, mạch máu.
-
Phục hình sau này đẹp, chính xác, khớp cắn lý tưởng.
-
Ít đau – ít sưng – lành nhanh.
Quy trình của BS Hưng bao gồm:
-
Chụp CT Cone Beam 3D để phân tích toàn bộ cấu trúc xương, độ dày – mật độ – vùng xương tốt/kém.
-
Scan răng – nướu bằng camera 3D để mô phỏng chính xác dữ liệu trong miệng.
-
Ghép hai nguồn dữ liệu thành mô hình 3D hoàn chỉnh.
-
Lập kế hoạch đặt trụ trên phần mềm: góc đặt, độ nghiêng, độ sâu, điểm chịu lực theo tiêu chuẩn quốc tế.
-
Thiết kế máng hướng dẫn phẫu thuật (Surgical Guide) dựa trên dữ liệu 3D.
Toàn bộ quá trình trồng răng bằng Máng hướng dẫn phẫu thuật của 1 bệnh nhân
Khi đã có máng hướng dẫn, ca phẫu thuật gần như không còn sai số, bởi:
-
Máng cố định chính xác vị trí trụ.
-
Bác sĩ chỉ cần khoan theo hệ thống dẫn hướng.
-
Trụ được đặt đúng như bản vẽ trên phần mềm – không lệch dù chỉ vài micron.
Đây là lý do những khách hàng sợ đau, sợ biến chứng rất thích phương pháp này.

Hai bác sĩ điều trị kết hợp – kiểm soát lâm sàng chặt chẽ, tăng độ an toàn tối đa
Không phải nha khoa nào cũng có mô hình điều trị kép như tại Olympia.
👉 Một bác sĩ phẫu thuật Implant kinh nghiệm cao (ThS.BS Sơn)
👉 Một bác sĩ Implant Số hóa (BS Bùi Hưng)
Sự kết hợp này tạo nên độ chính xác – sự an toàn – tính kiểm soát cao hơn gấp nhiều lần so với việc một bác sĩ làm tất cả.
-
BS Sơn xử lý kỹ thuật phẫu thuật – đảm bảo an toàn tuyệt đối, tránh tổn thương dây thần kinh, mạch máu, xoang hàm.
-
BS Hưng chịu trách nhiệm tính toán số liệu – vị trí trụ – hướng lực – điểm chịu tải – khớp cắn trên phần mềm Digital.
Khách hàng được hưởng gói điều trị “song kiếm hợp bích”, vừa chắc chắn về chuyên môn, vừa nhẹ nhàng – kiểm soát – không đau.
Ứng dụng Digital Implant – Đặt trụ chính xác đến từng micron, không phải “đoán mò” như phương pháp cũ
Quy trình Digital Implant tại Olympia bao gồm:
-
Chụp CT 3D độ phân giải cao.
-
Scan trong miệng bằng camera 3D.
-
Mô phỏng xương – nướu – dây thần kinh trên phần mềm.
-
Lập kế hoạch đặt trụ chính xác theo lực nhai từng răng.
-
Nếu cần, sử dụng máng hướng dẫn phẫu thuật để định vị trụ.
Kết quả:
-
Trụ Implant đặt đúng vị trí lý tưởng – chắc – bền – tích hợp xương tối ưu.
-
Răng sứ phục hình lên đẹp tự nhiên, không bị lệch, không bị hở kẽ, không đau khi nhai.
-
Hạn chế tối đa rạch – lật vạt → ít chảy máu, ít đau, ít sưng.
Đó chính là lý do nhiều người nói:
“Trồng răng Implant ở Olympia nhẹ như nhổ một chiếc răng sữa.”
Cô chú muốn điều trị cùng bác sĩ của Nha khoa Olympia với bác sĩ nào vui lòng liên hệ trực tiếp qua hotline để nhận tư vấn đặt lịch thăm kham, lên kế hoạch điều trị ngay tại đây:
Cơ sở vật chất vô trùng tuyệt đối – phòng phẫu thuật đạt chuẩn
Ca trồng Implant không thể làm ở phòng khám chung như nhổ răng hoặc lấy cao răng.
Olympia có phòng phẫu thuật vô trùng tách biệt, với:
-
Hệ thống vô trùng không khí Air Flow Clean.
-
Máy CT Cone Beam 3D thế hệ mới nhất.
-
Bộ dụng cụ Implant chuẩn quốc tế.
-
Implant chính hãng có mã QR – xuất xứ rõ ràng – bảo hành toàn cầu.
Điều này giúp hạn chế tối đa nhiễm trùng, đảm bảo trụ bám xương tốt và ổn định lâu dài.
Bảo hành trọn trụ theo hợp đồng, hãng cung cấp trụ Implant – cam kết mạnh mẽ về chất lượng
Không nhiều nha khoa dám bảo hành trọn đời trụ Implant như Olympia.
Bảo hành trọn theo hợp đồng, hãng cung cấp trụ Implant nghĩa là:
-
Trụ chính hãng 100%, có hãng sẽ bảo hành 15 năm, 20 năm, 22 năm, thậm chí trọn đời. Tức là sẽ 1 đổi 1 hoàn toàn không phát sinh bất cứ chi phí thay trụ cùng chủng loại trong thời gian bảo hành.
-
Cấy đúng kỹ thuật tiêu chuẩn quốc tế
-
Bác sĩ đủ kinh nghiệm để đảm bảo trụ tồn tại lâu dài
-
Quy trình vô trùng – chăm sóc – theo dõi nghiêm ngặt
Đó là lời khẳng định: “Chúng tôi tự tin vào tay nghề và chất lượng điều trị của mình.”

Chi phí trọn gói – minh bạch – chia làm 2 đợt thanh toán
Nhiều khách hàng lo lắng phải thanh toán nhiều lần hoặc phát sinh chi phí.
Tại Olympia, mọi thứ rõ ràng – minh bạch:
-
Đợt 1: 70% chi phí khi đặt trụ Implant.
-
Đợt 2: 30% chi phí còn lại khi lắp răng sứ sau 3–6 tháng.
Không phát sinh thêm:
❌ Không thu thêm chi phí khám
❌ Không thu phí trụ
❌ Không thu phí ghim, vít, thuốc tê
❌ Không thu phí tái khám
Khách hàng biết rõ mình đang chi trả cho điều gì, không lo bị “độn giá”.
Tóm lại – Người mất răng chọn Olympia vì 6 điều Nha khoa khác khó có thể đồng thời đáp ứng
-
👨⚕️ Thực hiện bởi chuyên gia Implant hàng đầu – ThS.BS Phạm Hùng Sơn (>20 năm kinh nghiệm, hơn 17.000 ca thành công).
- 👨⚕️ Đồng hành cùng điều trị 2 bác sĩ kết hợp song song – Bác sĩ Bùi Hưng (Chuyên gia Implant Số hóa), giúp ca điều trị đơn giản, nhẹ nhàng, có kiểm soát lâm sàng
-
🦷 Ứng dụng công nghệ Digital Implant, xác định vị trí trụ bằng phần mềm 3D, an toàn – chính xác tuyệt đối.
-
🏥 Cơ sở vật chất vô trùng tuyệt đối, phòng phẫu thuật riêng biệt, hệ thống CT Cone Beam 3D hiện đại.
-
📄 Bảo hành trọn đời trụ Implant, cam kết chất lượng phục hình ổn định lâu dài.
-
💰 Chi phí trọn gói – minh bạch – chia làm 2 đợt thanh toán.
Quy trình trồng răng số hóa toàn diện tại Nha khoa Olympia
Cô chú/anh chị đang bị cầu răng sứ lung lay, đau nhức hoặc viêm tái đi tái lại? Hãy để ThS.BS Phạm Hùng Sơn kiểm tra và tư vấn đúng tình trạng xương của để đánh giá thực tế khi chuyển từ cầu răng sứ sang trồng răng Implant.
📞 Hotline: 0961 621 186
🏥 Nha khoa Olympia – Số 40 Trần Quang Diệu, Đống Đa, Hà Nội
⏰ Giờ làm việc: 08:00 – 18:00 (tất cả các ngày)



