Bọc răng sứ không phải lúc nào cũng tốt. Hãy tìm hiểu những trường hợp nên và không nên bọc răng sứ để tránh những hối tiếc vì quyết định vội vàng.
Mục lục
Bọc răng sứ là gì?
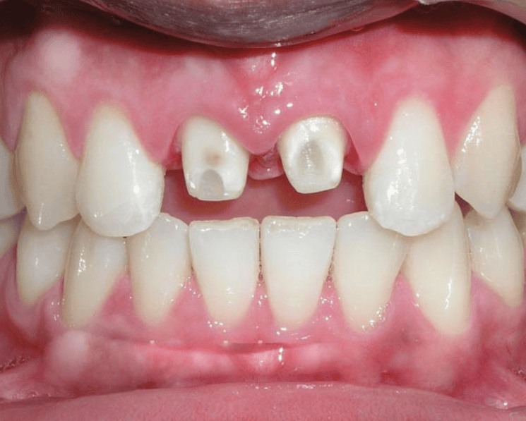
Bọc răng sứ là một phương pháp phục hồi thành hình và chức năng của răng bằng cách mài nhỏ răng thật và bọc một chụp sứ bên ngoài. Tốt khi được áp dụng đúng ngữ cảnh.

Khi nào thì NÊN bọc răng sứ?
✔ Răng bị hỏng nặng, không thể trám:Những răng bị vỡ lớn, viêm tủy đã điều trị tủy, hoặc gãy ngang thân răng – bọc sứ giúce bảo vệ phần còn lại.
✔ Răng đã trổ màu nặng:Trong trường hợp răng đã điều trị tủy hoặc nhiễm tetracycline mà tẩy trắng không hiệu quả.
✔ Răng mài mòn do nghiến răng:Bọc sứ giúce khối phục độ cao khớp cỮ, đảm bảo chức năng nhai.
✔ Mục đích thẩm mỹ trong trường hợp răng lệch nhẹ, khấp khểnh nhẹ:Nhưng chỉ nên là phương án cuối khi bạn không muốn hoặc không thể niềng răng.
Khi nào KHÔNG nên bọc răng sứ?
❌ Răng còn tốt, chỉ lệch nhẹ:Không nên động vào dao mài nhỏ răng khi vẫn có thể chỉnh nha.
❌ Bọc sứ để giải quyết nghiến răng:Bọc sứ không phải là cách điều trị nghiến răng. Nếu nghiến tiếp diễn sẽ làm vỡ sứ.
❌ Chỉ vì thấy người khác đẹp:Mỗi hàm răng đều có cấu trúc khác nhau, đừng bọc răng sứ về mặt thẩm mỹ mà đánh đổi sức khỏe.

Chuyên gia nha khoa khuyên gì?
Làm răng sứ cần được chỉ định cụ thể sau khi đánh giá tổng thể răng – hàm – khớp cỮ. Hãy luôn đặt câu hỏi: “Liệu đây có là phương án duy nhất?”



