Niềng răng không nhổ răng có thực sự hiệu quả? Khám phá bí quyết từ BS CK1. Hà Thị Hương Trang – chuyên gia chỉnh nha cá ...[Xem thêm]
Chi phí niềng răng cho trẻ em tại Hà Nội – Bảng giá mới nhất 2025
Tìm hiểu chi tiết chi phí niềng răng cho trẻ em tại Hà Nội năm 2025. Cập nhật bảng giá mới nhất và lời khuyên từ BS CK1. ...[Xem thêm]
Trẻ em mấy tuổi nên niềng răng? Cảnh báo 4 sai lầm thường gặp
Nhiều bậc phụ huynh loay hoay với câu hỏi “trẻ em mấy tuổi nên niềng răng?” mà không biết giai đoạn vàng để can thiệp ...[Xem thêm]
Niềng răng có đau không? Cách giảm đau nhanh, hiệu quả – Hướng dẫn chăm sóc chi tiết từ A–Z
Niềng răng có đau không? Bác sĩ Hà Thị Hương Trang chia sẻ hướng dẫn chăm sóc khi niềng răng giúp giảm đau nhanh, ăn ...[Xem thêm]
Niềng răng có khó chăm sóc không? 9 điều BẮT BUỘC phải nhớ khi bạn đang niềng răng
Bạn đang niềng răng và lo lắng ăn gì, vệ sinh thế nào, xử lý mắc cài ra sao? Hướng dẫn chăm sóc khi niềng răng từ chuyên ...[Xem thêm]
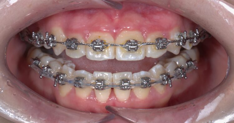
Niềng răng mắc cài kim loại – Có thực sự tối ưu như nhiều người vẫn nghĩ?
Mắc cài kim loại là phương pháp niềng răng phổ biến và tiết kiệm. Nhưng liệu có thực sự tối ưu với mọi trường hợp? Cùng ...[Xem thêm]
Niềng răng khớp cắn hạng II – Giải pháp hiệu quả để điều chỉnh khuôn mặt, cải thiện khớp cắn, nâng cấp nụ cười
Khớp cắn hạng II khiến gương mặt lệch, răng chìa và cười kém tự nhiên. Tìm hiểu chi tiết nguyên nhân, dấu hiệu và giải ...[Xem thêm]
Phá kén sau 2 năm niềng răng: Từ cô gái khép nép thành phiên bản tỏa sáng của chính mình
“Niềng răng xong, em không chỉ cười đẹp hơn. Mà em còn học được cách nhìn mình bằng đôi mắt yêu thương hơn.” – Phạm Anh ...[Xem thêm]
Niềng răng đổi diện mạo – Hành trình lột xác ngoạn mục của Thảo Linh (2002)
Răng khểnh, xoay trục, hô nặng và cười hở lợi đã từng khiến Thảo Linh thiếu tự tin. Nhưng chỉ sau 2 năm, một nụ cười ...[Xem thêm]
Vì sao máng hướng dẫn phẫu thuật là “trợ lý vô hình” của bác sĩ Implant hiện đại?
Máng hướng dẫn phẫu thuật không chỉ giúp cấy Implant chính xác từng milimet mà còn rút ngắn thời gian, giảm đau và tối ...[Xem thêm]













