Câu chuyện cảm động: Người mẹ 60 tuổi tìm lại nụ cười sau 10 năm giấu mình vì mất răng
10 năm giấu nỗi buồn sau chiếc hàm tháo lắp, bà Yến – 60 tuổi ở Hà Nội – từng từ chối cả những bữa ăn cùng con cháu vì mặc cảm. Mãi đến khi người con trai phát hiện, một hành trình cảm động mới thật sự bắt đầu…
“Bữa nay mẹ lại ăn trong phòng à?” – người con trai hỏi. Bà Yến – 60 tuổi, ở Hồ Tùng Mậu, Hà Nội – chỉ mỉm cười rồi lảng đi.
Chẳng ai trong nhà biết rằng, suốt 10 năm qua, mẹ đã giấu đi nỗi tự ti về hàm răng mất gần như toàn bộ. Mỗi bữa ăn, bà chọn ngồi riêng. Mỗi dịp giỗ chạp hay tiệc gia đình, bà viện lý do mệt hay đau dạ dày để tránh ra ngoài.
Mất răng không chỉ làm bà ăn nhai kém, mà còn khiến bà sợ cười, sợ nói, sợ giao tiếp. Và hàm tháo lắp cũ kỹ – thứ bà xem như giải pháp duy nhất – lại càng khiến bà tổn thương vì không vững, dễ rơi, hôi miệng, và mỗi lần nhai là một lần đau.
Người lớn tuổi có nên trồng Implant không?
Khi con gái phát hiện điều mẹ giấu kín
Cho đến một lần vô tình, người con trai bắt gặp mẹ đang lau hàm giả trong phòng, đôi mắt bà hơi đỏ. Anh chững lại.
“Mẹ dùng cái này bao lâu rồi?” “Gần chục năm rồi con ạ. Mẹ quen rồi…” – bà Yến đáp nhẹ. Nhưng anh biết, không ai có thể “quen” với sự cô đơn đến mức phải ăn một mình trong suốt 10 năm.
Ngày hôm sau, chị tìm hiểu thông tin về trồng răng Implant – giải pháp phục hồi răng vững chắc, tự nhiên và không cần tháo ra như hàm giả.
Hành trình thuyết phục mẹ đi trồng răng
“Mẹ ơi, bây giờ người ta có kỹ thuật mới rồi, không đau như mẹ nghĩ đâu. Con đưa mẹ tới Nha khoa Olympia nhé.” Ban đầu, bà ngại, phần vì sợ đau, phần vì nghĩ “già rồi, còn đâu mà làm”.
Nhưng sau nhiều lần con động viên, cuối cùng bà đồng ý đi khám. Tại Nha khoa Olympia – 40 Trần Quang Diệu, bà được bác sĩ tư vấn tận tình. Kết quả chụp phim cho thấy bà có thể trồng được Implant toàn hàm với phương pháp All-on-6 số hóa, không cần ghép xương.
Trồng răng – và hành trình lấy lại thanh xuân
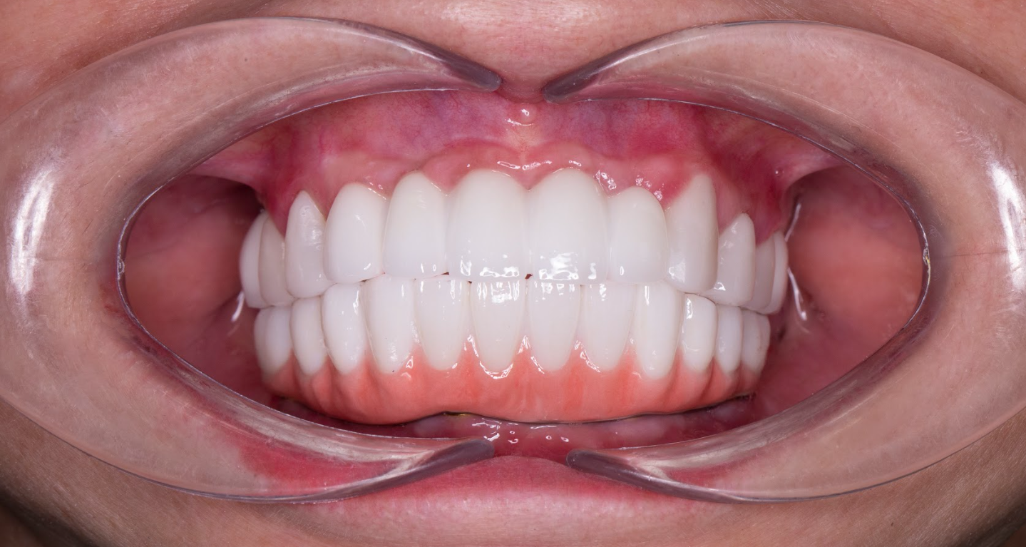
Ca điều trị diễn ra thuận lợi chỉ sau hơn 2 giờ đặt trụ nhờ công nghệ máng hướng dẫn phẫu thuật 3D. Bà được gắn răng tạm cố định ngay trong ngày, không cần phải đeo hàm tháo lắp nữa.
Điều kỳ diệu nhất là khi bà Yến cười lại – một nụ cười thật sự, tự nhiên và không giấu giếm. Tuần sau, bà ra ăn bún riêu với cháu nội, tự tay gắp thịt bò nhai giòn tan – điều mà trước đó với bà là “xa xỉ”.
Trồng răng – và hành trình lấy lại thanh xuân
Chia sẻ từ người con
“Mình không nghĩ nụ cười của mẹ lại có thể khiến cả nhà rưng rưng như vậy. Điều đáng tiếc nhất là… mình đã để mẹ chờ suốt 10 năm mới làm điều này.”
Bác sĩ nói gì về trường hợp của cô Yến?
ThS.BS Phạm Hùng Sơn – chuyên gia Implant với hơn 17.000 ca thực hiện tại Nha khoa Olympia – chia sẻ:
“Rất nhiều người lớn tuổi nghĩ mình không đủ điều kiện để trồng răng. Nhưng thực tế, với công nghệ số hóa hiện nay, người mất răng toàn hàm, tiêu xương vẫn hoàn toàn có thể trồng Implant vững chắc, ăn nhai tốt suốt nhiều năm, miễn là được khám và tư vấn đúng cách.”
Trọn vẹn bữa cơm bên gia đình của Phan Hải Yến sau hình trình trồng răng
Tổng kết: Mất răng lâu năm không phải dấu chấm hết
Nếu bạn đang chăm sóc cha mẹ, hãy để ý những chi tiết nhỏ – sự né tránh, sự im lặng, hay những lần mẹ từ chối bữa ăn. Có thể họ đang giấu đi điều gì đó.
Và nếu đó là nỗi mặc cảm vì mất răng – hãy là người đầu tiên giúp họ cười trở lại. Vì không bao giờ là quá muộn để một người mẹ được sống với niềm vui trọn vẹn.
Thông tin liên hệ – Đặt lịch tư vấn tại Nha khoa Olympia
🏥 NHA KHOA OLYMPIA 📍 40 Trần Quang Diệu, phường Ô Chợ Dừa, Đống Đa, Hà Nội 📞 Hotline / Zalo / Viber / Whatsapp: 096 162 11 86 🌐 Website:https://nhakhoaolympia.vn 🕐 Giờ làm việc: 8:00 – 18:00 | Tất cả các ngày trong tuần