Sau nhiều năm mất răng, sụt cân chỉ còn 39kg và phải truyền dinh dưỡng, cô Cúc (72 tuổi, Việt kiều Đức) đã tìm lại sức khỏe và nụ cười nhờ trồng răng Implant tại Nha khoa Olympia cùng ThS.BS Phạm Hùng Sơn và BS Bùi Văn Hưng.
Mục lục
- 1 72 tuổi – từ truyền chất dinh dưỡng đến bữa cơm trọn vẹn nhờ trồng răng Implant
- 2 Tình trạng của cô Cúc trước khi trồng răng Implant
- 3 Vì sao cô quyết định về Việt Nam trồng răng Implant?
- 4 Digital Implant – “vị cứu tinh” cho bệnh nhân mất răng tiêu xương nặng
- 5 Quy trình trồng răng Implant cho cô Cúc tại Nha khoa Olympia
- 6 Kết quả sau điều trị – “Tôi không còn phải truyền chất nữa”
- 7 Tại sao nhiều người cao tuổi vẫn nên trồng răng Implant?
- 8 Nha khoa Olympia – địa chỉ trồng răng Implant uy tín cho người lớn tuổi
- 9 Thông tin liên hệ
- 10 Xem thêm các bài viết liên quan
72 tuổi – từ truyền chất dinh dưỡng đến bữa cơm trọn vẹn nhờ trồng răng Implant
“Tôi chỉ ước có thể ăn được một bữa cơm ngon, không phải truyền chất dinh dưỡng nữa…” – đó là chia sẻ đầy xúc động của cô Dương Thị Cúc (72 tuổi, Việt kiều Đức) khi trở lại Việt Nam để điều trị.
Mất nhiều răng, tiêu xương nặng, sử dụng hàm giả tháo lắp trong nhiều năm khiến cô chỉ còn 39kg, sức khỏe suy kiệt, thường xuyên phải truyền dịch dinh dưỡng. Nhưng nhờ công nghệ Digital Implant cùng bàn tay phẫu thuật của ThS.BS Phạm Hùng Sơn và BS Bùi Văn Hưng, cô đã tìm lại cuộc sống trọn vẹn từng ngày.
72 TUỔI – Về Việt Nam chỉ đề TRỒNG RĂNG – Cô Cúc TĂNG 5KG, KHÔNG cần truyền dinh dưỡng
Tình trạng của cô Cúc trước khi trồng răng Implant
-
Mất nhiều răng cả hai hàm.
-
Tiêu xương nặng do mất răng lâu năm.

-
Hàm giả tháo lắp lỏng lẻo, gây đau nướu, không ăn được thức ăn cứng.
-
Sụt cân nghiêm trọng, chỉ còn 39kg.
-
Phải truyền chất dinh dưỡng định kỳ để duy trì thể trạng.
-
Tâm lý chán nản, mất tự tin trong sinh hoạt hàng ngày.

Vì sao cô quyết định về Việt Nam trồng răng Implant?
Nhiều người thắc mắc, tại sao cô không điều trị tại Đức – nơi y tế phát triển, mà lại về Việt Nam?
Lý do là bởi:
-
Chi phí điều trị Implant tại châu Âu quá cao, khó phù hợp với bệnh nhân lớn tuổi cần phục hình toàn hàm.
-
Niềm tin tuyệt đối vào chuyên môn của bác sĩ Việt Nam, đặc biệt là:
-
ThS.BS Phạm Hùng Sơn – hơn 20 năm kinh nghiệm, hơn 17.000 ca Implant thành công.
-
BS Bùi Văn Hưng – chuyên gia Implant số hóa, ứng dụng Digital Implant để dẫn đường chính xác tuyệt đối.
-
-
Công nghệ Digital Implant hiện đại, kiểm soát an toàn tuyệt đối cho bệnh nhân có tình trạng xương hàm phức tạp.
-
Sự tận tâm, gần gũi trong chăm sóc, khác biệt hoàn toàn so với trải nghiệm y tế “công nghiệp hóa” ở nước ngoài.
Digital Implant – “vị cứu tinh” cho bệnh nhân mất răng tiêu xương nặng
Trước đây, trường hợp tiêu xương nặng thường phải ghép xương, nâng xoang phức tạp, thời gian điều trị kéo dài. Nhưng với công nghệ Digital Implant, bác sĩ có thể:
-
Quét, scan toàn bộ hàm răng bằng công nghệ số hóa.
-
Lập kế hoạch cấy ghép trên phần mềm 3D, tính toán chính xác vị trí trụ.
-
Dẫn đường phẫu thuật bằng máng hướng dẫn kỹ thuật số, hạn chế xâm lấn, giảm đau tối đa.
-
Đặt trụ Implant an toàn ngay cả khi xương hàm tiêu nặng.
Đây chính là bước ngoặt quan trọng giúp ca điều trị của cô Cúc thành công.
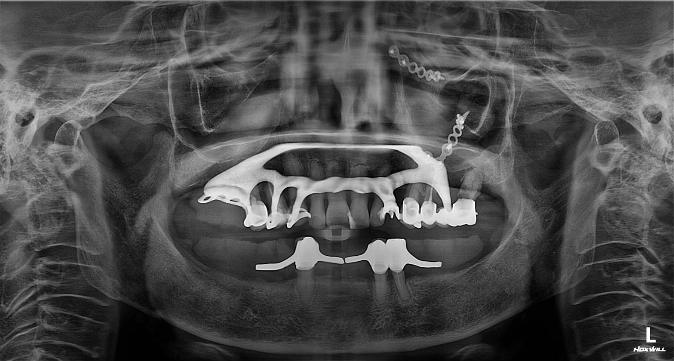
Quy trình trồng răng Implant cho cô Cúc tại Nha khoa Olympia
1. Thăm khám & đánh giá tình trạng xương hàm
-
Chụp CT ConeBeam 3D để phân tích mật độ xương.
-
Đánh giá mức độ tiêu xương nặng, khả năng đặt Implant.
-
Xác định giải pháp: Trồng Implant toàn hàm bằng công nghệ Digital Implant.
2. Lập kế hoạch điều trị kỹ thuật số
-
BS Bùi Văn Hưng sử dụng phần mềm Implant 3D để mô phỏng vị trí cấy ghép.
-
Lập máng hướng dẫn phẫu thuật giúp quá trình cấy ghép chính xác tuyệt đối.
3. Phẫu thuật cấy ghép Implant
-
ThS.BS Phạm Hùng Sơn trực tiếp thực hiện phẫu thuật.
-
Sử dụng hệ thống trụ Implant cao cấp, độ bền và tích hợp xương vượt trội.
-
Quy trình nhẹ nhàng, không đau, an toàn cho bệnh nhân lớn tuổi.
4. Phục hình tạm thời
-
Sau khi đặt trụ, cô được gắn răng tạm để ăn nhai và giao tiếp bình thường.
5. Phục hình răng sứ hoàn thiện
-
Sau 3–6 tháng, khi Implant tích hợp xương, tiến hành lắp răng sứ cố định.
-
Kết quả: Hàm răng mới chắc khỏe, ăn nhai tự nhiên như răng thật.
Quy trình trồng răng số hóa toàn diện tại Nha khoa Olympia
Kết quả sau điều trị – “Tôi không còn phải truyền chất nữa”
Chỉ sau một thời gian ngắn, tình trạng của cô thay đổi rõ rệt:
-
Không còn phải truyền dinh dưỡng, có thể tự ăn uống đầy đủ.
-
Tăng cân trở lại, cải thiện sức khỏe tổng thể.

-
Ăn được nhiều loại thức ăn: thịt, rau, hoa quả… mà trước kia phải kiêng.
-
Tinh thần phấn chấn, vui vẻ, giao tiếp tự tin.

-
“Mỗi chiếc răng được trồng giống như thêm một phần sức khỏe được hồi sinh” – cô Cúc chia sẻ.

Tại sao nhiều người cao tuổi vẫn nên trồng răng Implant?
Nhiều bệnh nhân lớn tuổi ngại cấy ghép Implant vì lo ngại sức khỏe yếu, xương hàm kém. Nhưng thực tế, với công nghệ hiện đại, Implant vẫn là giải pháp tối ưu:
-
Khôi phục khả năng ăn nhai như răng thật.
-
Ngăn ngừa tiêu xương hàm, giúp gương mặt không bị hóp, già nua.
-
Cải thiện sức khỏe tổng thể, tránh suy dinh dưỡng.
-
Nâng cao chất lượng cuộc sống, tự tin hơn trong giao tiếp.
Nha khoa Olympia – địa chỉ trồng răng Implant uy tín cho người lớn tuổi
-
ThS.BS Phạm Hùng Sơn: Hơn 20 năm kinh nghiệm, đã thực hiện thành công hơn 17.000 ca Implant.
-
BS Bùi Văn Hưng: Chuyên gia Implant kỹ thuật số, ứng dụng công nghệ Digital Implant hiện đại.
-
Công nghệ tiên tiến: CT ConeBeam 3D, scan kỹ thuật số, CAD/CAM.
-
Dịch vụ chăm sóc tận tâm, đặc biệt cho người cao tuổi và Việt kiều.
Thông tin liên hệ
📍 NHA KHOA OLYMPIA
🏥 Địa chỉ: Số 40 Trần Quang Diệu, Đống Đa, Hà Nội
📞 Hotline: 0961 621 186
✉ Zalo/Viber/Whatsapp: 0961 621 186
🕗 Giờ làm việc: 08:00 – 18:00 tất cả các ngày trong tuần
🌐 Website: https://nhakhoaolympia.vn/



