“Niềng răng xong, em không chỉ cười đẹp hơn. Mà em còn học được cách nhìn mình bằng đôi mắt yêu thương hơn.” – Phạm Anh Thư (2K2, Hà Nội)
Mục lục
- 1 Có một Anh Thư từng ngại cười vì… chính nụ cười của mình
- 2 Nhưng rồi, cô quyết định: “Mình sẽ thay đổi.”
- 3 2 năm – không chỉ để thay đổi một hàm răng
- 4 Kết quả: Răng đều. Cắn chuẩn. Mặt thon. Nụ cười mới – và một Anh Thư mới
- 5 Niềng răng không làm bạn đẹp lên sau một đêm. Nhưng từng ngày, nó giúp bạn yêu bản thân hơn một chút
- 6 Bạn cũng có thể như Thư – nếu bắt đầu hôm nay
- 7 Thông tin điều trị của Anh Thư:
Có một Anh Thư từng ngại cười vì… chính nụ cười của mình
Cô gái ấy năm 20 tuổi có một nụ cười không trọn vẹn.
Răng chen chúc, khểnh lệch hai bên. Khớp cắn hạng II khiến hàm lệch nhẹ, nhìn nghiêng luôn thấy miệng trề ra.
Lợi đỏ, viêm quanh răng. Mỗi lần cười – là mỗi lần lo che miệng.
Không ai biết cảm giác ấy mệt mỏi thế nào, ngoại trừ chính người đang sống với nó. Và Anh Thư, đã sống với điều đó suốt những năm tháng tuổi trẻ rực rỡ nhất.

Nhưng rồi, cô quyết định: “Mình sẽ thay đổi.”
Niềng răng – với nhiều người là điều đơn giản. Nhưng với Thư, đó là một bước ngoặt.
Là lần đầu tiên cô làm điều gì đó lớn lao – cho chính bản thân mình.
Thư tìm đến Nha khoa Olympia khi mới hơn 20 tuổi.
Sau khi khám tổng thể, bác sĩ kết luận:
-
Răng chen chúc nặng cả hai hàm
-
Tình trạng khớp cắn hạng II hai bên (răng trên chìa, răng dưới lùi)
-
Viêm lợi nặng, nhiều mảng bám
-
Gương mặt dễ bị “móm giả” và lệch nhẹ nếu không can thiệp sớm

Phác đồ điều trị được thiết kế riêng cho Thư bởi BS CK1. Hà Thị Hương Trang – người đã đồng hành với hàng ngàn ca niềng răng khó, và luôn đặt yếu tố thẩm mỹ gương mặt lên hàng đầu.
2 năm – không chỉ để thay đổi một hàm răng
Thư gắn mắc cài kim loại tự buộc, kèm cắm 2 mini vis để kiểm soát lực kéo chính xác.
Cô học cách ăn chậm, nhai nhẹ, vệ sinh từng kẽ răng.

Cô biết đau, biết mỏi… nhưng cô cũng biết mỗi ngày trôi qua là một bước gần hơn với chính mình phiên bản tốt đẹp hơn.
“Ngày gắn mắc cài, em nhìn gương – thấy mình kỳ lạ lắm. Nhưng hôm nay, tháo niềng rồi, em soi gương và… muốn khóc. Không phải vì buồn – mà là vì biết ơn bản thân mình đã không bỏ cuộc.”
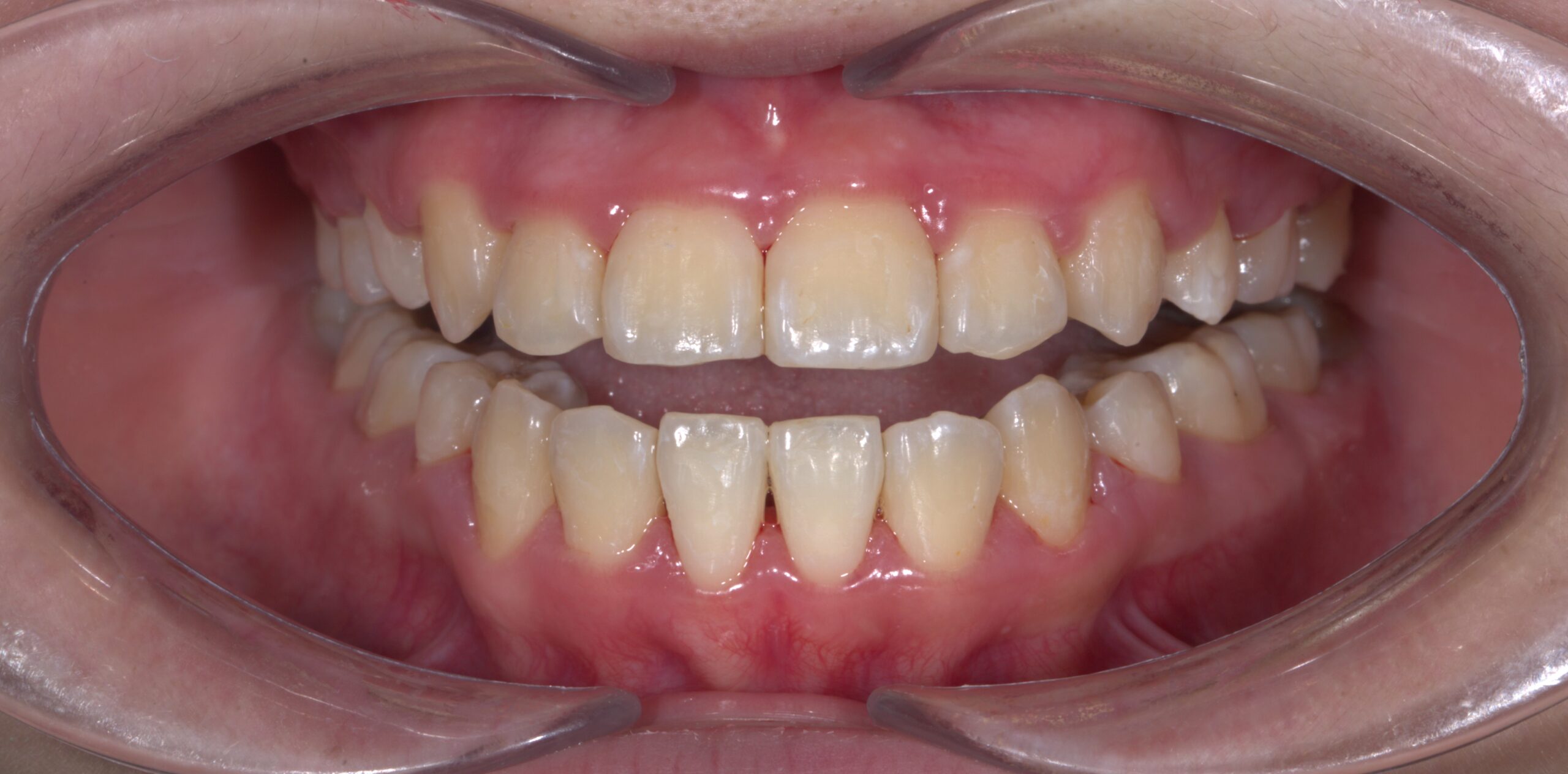
Kết quả: Răng đều. Cắn chuẩn. Mặt thon. Nụ cười mới – và một Anh Thư mới
-
Khớp cắn hạng II giờ đã trở về chuẩn hạng I
-
Răng đều, trắng và khít
-
Lợi không còn viêm, hồng khỏe
-
Mặt hài hòa, trục răng đúng – nhìn chính diện lẫn nghiêng đều sáng gương mặt hơn
-
Và điều đặc biệt nhất: thần thái của Thư đã khác hoàn toàn
Không còn là một cô gái ngại cười.
Mà là một cô gái sẵn sàng bước ra ánh sáng – với nụ cười tự hào, với gương mặt biết ơn chính mình.

Niềng răng không làm bạn đẹp lên sau một đêm. Nhưng từng ngày, nó giúp bạn yêu bản thân hơn một chút
Mỗi người có một “cái kén” vô hình mà mình đang sống trong đó.
Với Thư, cái kén ấy là sự ngại ngùng, là nụ cười không trọn, là gương mặt chưa từng được thẳng thắn soi vào gương.
Nhưng rồi, cô can đảm phá kén. Và sau 2 năm, bướm bay lên.
Sau 6 tháng niềng răng đã khiến Anh Thư thay đổi hoàn toàn không chỉ hàm răng mà còn cả sự tự tin, ngoại hình
Bạn cũng có thể như Thư – nếu bắt đầu hôm nay
Tình trạng khớp cắn hạng II, chen chúc nặng, lệch mặt… hoàn toàn có thể cải thiện nếu điều trị đúng thời điểm.
Đừng để “đến khi phải phẫu thuật” mới đi chỉnh nha.
Đừng chờ “đẹp rồi mới yêu bản thân” – hãy yêu bản thân để rồi sẽ đẹp.
Thông tin điều trị của Anh Thư:
-
Tình trạng: Chen chúc 2 hàm, viêm lợi, khớp cắn hạng II
-
Phương pháp: Mắc cài kim loại tự động AO, 2 mini vis
-
Chi phí trọn gói: 29,8 triệu đồng
-
Thời gian điều trị: T8/2022 – T8/2024
-
Thực hiện bởi: BS CK1. Hà Thị Hương Trang – Chuyên gia chỉnh nha cá nhân hóa tại Nha khoa Olympia
Nha khoa Olympia – nơi những hành trình “phá kén” bắt đầu

📍 Địa chỉ: 40 Trần Quang Diệu, Đống Đa, Hà Nội
📞 Hotline: 0961 621 186
🌐 Website: https://nhakhoaolympia.vn
📘 Fanpage: facebook.com/OlympiaDentalClinic
Bạn không cần giống ai cả. Chỉ cần giống chính bạn – nhưng là phiên bản bạn sẽ tự hào.
Và hành trình ấy… có thể bắt đầu từ một nụ cười mới.
Tham khảo các bài viết liên quan tại đây



