Trồng răng Implant hiện nay là giải pháp phục hình răng mất được xem là tối ưu nhất, giúp bảo tồn răng thật và duy trì chức năng ăn nhai lâu dài. Bài viết này chia sẻ chi tiết hành trình của chị Nguyễn Thị Cẩm Vân (SN 1997, quê Hưng Yên, 28 tuổi) – người đã từng làm cầu răng sứ và quyết định chuyển sang trồng răng Implant tại Nha khoa Olympia, dưới sự trực tiếp tư vấn và cấy ghép của BS Bùi Văn Hưng – chuyên gia Implant Kỹ thuật Số Hóa (Digital Implant).
Mục lục
- 1 Vì sao bệnh nhân muốn thay cầu răng sứ bằng Implant?
- 2 Thăm khám ban đầu tại Nha khoa Olympia
- 3 Quy trình trồng răng Implant cho bệnh nhân 28 tuổi
- 4 Kết quả sau khi trồng răng Implant
- 5 So sánh: Cầu răng sứ và trồng răng Implant
- 6 Lời khuyên của BS Bùi Văn Hưng
- 7 Khi nào nên chuyển từ cầu răng sứ sang Implant?
- 8 Liên hệ tư vấn trồng răng Implant tại Nha khoa Olympia
- 9 Xem thêm các bài viết liên quan
Vì sao bệnh nhân muốn thay cầu răng sứ bằng Implant?
1. Hạn chế của cầu răng sứ sau nhiều năm sử dụng
-
Cầu răng sứ yêu cầu mài răng kế cận → răng thật yếu dần.
-
Sau 5–7 năm, nhiều bệnh nhân gặp tình trạng hở cổ răng, sâu răng trụ, viêm lợi.
-
Cầu răng sứ khó ngăn được tiêu xương hàm, lâu dài gây hóp má, lão hóa sớm.

2. Mong muốn có giải pháp bền vững
-
Chị Vân chia sẻ: “Em mới 28 tuổi, không muốn cứ vài năm lại phải thay cầu răng. Em muốn giải pháp chắc chắn, lâu dài để còn thoải mái ăn nhai và giữ thẩm mỹ.”
-
Chính mong muốn này đã khiến chị tìm đến trồng răng Implant.

Thăm khám ban đầu tại Nha khoa Olympia
Chị Vân được BS Bùi Văn Hưng trực tiếp thăm khám và thực hiện các bước kiểm tra:
-
Chụp CT Conebeam 3D để đánh giá tình trạng xương hàm.
-
Kiểm tra răng trụ đã mài làm cầu → phát hiện có dấu hiệu sâu ngầm và viêm lợi nhẹ.
-
Đánh giá mật độ xương tại vị trí răng mất → đủ điều kiện cấy Implant, không cần ghép xương.
🔥 Nguyễn Thị Cẩm Vân (28 tuổi, Phúc Thọ, Hà Nội) từng rơi vào khủng hoảng vì:
❌ Lần 1 làm cầu răng, 1 tuần gãy đôi
❌ Lần 2 cầu sứ sứt mẻ, ăn gì cũng ê buốt
❌ Lần 3 đau nhức cả nửa mặt, không há miệng được, đau đến phát khóc…
💡 Sau 3 lần thất bại, Vân quyết định tin tưởng công nghệ Cấy ghép Implant bằng MÁNG HƯỚNG DẪN PHẪU THUẬT – Giải pháp số hóa chính xác đến từng milimet, và chỉ sau 24H:
✅ KHÔNG rạch lợi – KHÔNG đau
✅ Trụ Superline (Mỹ) bền chắc – tích hợp nhanh
✅ Ăn nhai ngon lành như răng thật
✅ Phục hồi thần tốc – Gương mặt tươi tắn trở lại!
👉 Kết luận: Chị Vân hoàn toàn phù hợp với phương pháp cấy Implant bằng máng hướng dẫn phẫu thuật sau khi tháo cầu răng.
Quy trình trồng răng Implant cho bệnh nhân 28 tuổi
Bước 1: Tháo cầu răng sứ cũ
-
Bác sĩ tháo bỏ cầu răng sứ đã dùng 6 năm.
-
Làm sạch vùng răng trụ bị sâu, đồng thời đánh giá mức độ tổn thương.
-
Giữ lại răng khỏe mạnh, tránh mài thêm.
Bước 2: Lập kế hoạch Digital Implant
-
Sử dụng phần mềm giả định cấy Implant trên máy tính.
-
Xác định vị trí trụ Implant chính xác đến từng micromet.
-
Lập kế hoạch khớp cắn để đảm bảo Implant chịu lực tối ưu.
Bước 3: Tiểu phẫu đặt trụ Implant
-
Gây tê tại chỗ, hoàn toàn không đau.
-
Sử dụng máy định vị cấy ghép Implant kỹ thuật số, đặt trụ chính xác, không xâm lấn nhiều.
-
Trụ Implant được lựa chọn: Superline xuất xứ của Mỹ – nổi tiếng với độ bền và khả năng tích hợp xương nhanh.
Bước 4: Lắp răng tạm
-
Sau khi đặt Implant, bác sĩ lắp răng tạm để đảm bảo thẩm mỹ, ăn nhai nhẹ nhàng trong giai đoạn chờ tích hợp xương.
-
Chị Vân vẫn có thể cười, giao tiếp tự tin ngay sau phẫu thuật.
Bước 5: Tái khám định kỳ
-
Sau 1 tuần: Kiểm tra vết thương lành, không viêm nhiễm.
-
Sau 1 tháng: Trụ Implant ổn định, nướu khỏe mạnh.
-
Sau 3–4 tháng: Implant tích hợp hoàn toàn với xương hàm.
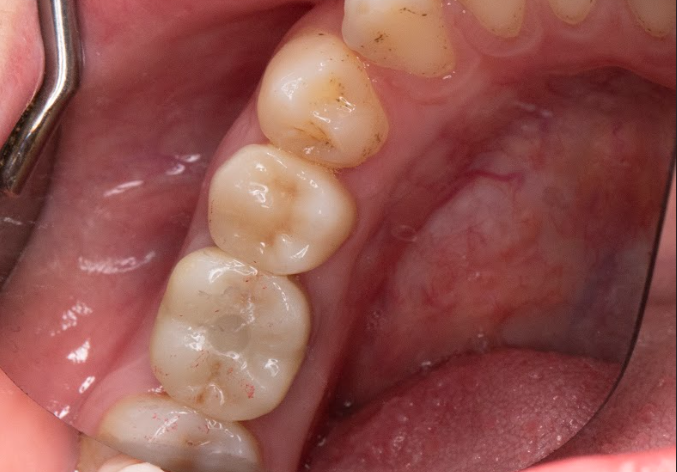
Bước 6: Gắn abutment & mão sứ
-
Sử dụng abutment cá nhân hóa CAD/CAM để tối ưu thẩm mỹ viền nướu.
-
Gắn mão sứ zirconia toàn khối, đảm bảo thẩm mỹ và độ bền cao.
-
Hoàn tất quy trình trồng răng Implant.
Quy trình trồng răng số hóa toàn diện tại Nha khoa Olympia
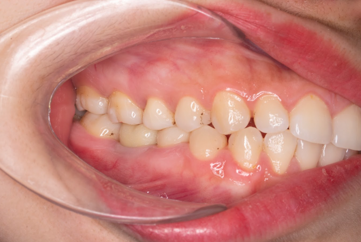
Kết quả sau khi trồng răng Implant
-
Khớp cắn ổn định, ăn nhai chắc chắn, thoải mái.

-
Không ảnh hưởng răng thật kế cận như cầu răng sứ trước đây.

-
Thẩm mỹ tự nhiên, nụ cười hài hòa, khó phân biệt đâu là răng Implant.
-
Bệnh nhân rất hài lòng: “Em thấy khác hẳn cầu răng, ăn uống chắc chắn, không còn lo sâu răng trụ. Em tiếc là không chọn Implant sớm hơn.”

So sánh: Cầu răng sứ và trồng răng Implant
| Tiêu chí | Cầu răng sứ | Trồng răng Implant |
|---|---|---|
| Bảo tồn răng thật | Phải mài 2 răng trụ | Giữ nguyên răng kế cận |
| Tuổi thọ | 5–7 năm | 20–30 năm, thậm chí trọn đời |
| Tiêu xương hàm | Có, gây hóp má | Không, giữ nguyên xương |
| Ăn nhai | Khó nhai đồ cứng | Ăn nhai như răng thật |
| Chi phí ban đầu | Thấp hơn | Cao hơn nhưng hiệu quả lâu dài |
Lời khuyên của BS Bùi Văn Hưng
“Ở độ tuổi 28, chị Vân lựa chọn chuyển từ cầu răng sang Implant là quyết định rất sáng suốt. Implant không chỉ giúp ăn nhai chắc chắn, mà còn bảo tồn răng thật và ngăn tiêu xương, đặc biệt phù hợp cho những bệnh nhân trẻ cần một giải pháp lâu dài.” – BS Bùi Văn Hưng
Tôi Dùng Công Nghệ Cấy Ghép Implant Này Giúp 1 Người Mất Răng Có Răng Ăn Nhai VĨNH VIỄN
Khi nào nên chuyển từ cầu răng sứ sang Implant?
-
Cầu răng sứ đã dùng lâu năm, gây sâu răng trụ hoặc lung lay.
-
Mong muốn bảo tồn răng thật, không muốn mài răng thêm.
-
Người trẻ (dưới 40 tuổi) cần giải pháp lâu dài, bền vững.
-
Thẩm mỹ nụ cười quan trọng (cầu răng lâu năm dễ bị đen viền nướu).
Liên hệ tư vấn trồng răng Implant tại Nha khoa Olympia
Nếu bạn đang phân vân giữa cầu răng sứ và trồng răng Implant, hãy đến Nha khoa Olympia để được tư vấn cá nhân hóa bởi các chuyên gia:
📞 Hotline: 0961 621 186
🏥 Địa chỉ: Nha khoa Olympia – Số 40 Trần Quang Diệu, Đống Đa, Hà Nội
🕗 Thời gian làm việc: 08:00 – 18:00 hàng ngày
Xem thêm các bài viết liên quan
-
Trồng Implant xong có cần tái khám không? Vì sao lại quan trọng?
-
Trụ Implant Neodent – Giải pháp phục hình tin cậy đến từ Thụy Sỹ
-
Người mặt vuông tưởng trồng răng Implant dễ, nhưng có một sự thật không ai nói với bạn



