Tiêu xương hàm là hậu quả nghiêm trọng sau khi mất răng, gây biến dạng khuôn mặt và khó phục hình răng. Tìm hiểu dấu hiệu nhận biết và cách khắc phục hiệu quả bằng cấy ghép Implant tại Nha khoa Olympia.
Mục lục
- 1 Tiêu xương hàm sau mất răng: Dấu hiệu và cách khắc phục
- 1.1 Tiêu xương hàm là gì?
- 1.2 Vì sao mất răng lại gây tiêu xương hàm?
- 1.3 Dấu hiệu nhận biết tiêu xương hàm sau mất răng
- 1.4 Hậu quả nguy hiểm khi bị tiêu xương hàm
- 1.5 Các phương pháp khắc phục tiêu xương hàm
- 1.6 Quy trình khắc phục tiêu xương hàm tại Nha khoa Olympia
- 1.7 Vì sao nên khắc phục tiêu xương hàm tại Nha khoa Olympia?
- 1.8 Câu hỏi thường gặp về tiêu xương hàm sau mất răng
- 1.9 Xem thêm các bài viết liên quan
Tiêu xương hàm sau mất răng: Dấu hiệu và cách khắc phục
Tiêu xương hàm là gì?
Tiêu xương hàm là tình trạng xương ổ răng bị tiêu biến sau khi mất răng do không còn lực nhai truyền xuống. Khi răng thật mất đi, vùng xương hàm bên dưới không còn được kích thích, dần teo nhỏ lại, gây ra nhiều hệ lụy nghiêm trọng cho thẩm mỹ và chức năng nhai.
Theo các nghiên cứu lâm sàng:
-
Trong 6 tháng đầu sau khi mất răng, xương hàm có thể tiêu đi từ 25–30%.
-
Sau 1–2 năm, mức tiêu xương có thể lên đến 50–60%.
-
Tiêu xương diễn ra nhanh hơn ở hàm trên so với hàm dưới.
Vì sao mất răng lại gây tiêu xương hàm?

Bản chất của xương hàm được duy trì nhờ lực nhai tác động thông qua chân răng. Khi răng mất đi:
-
Không còn chân răng: lực nhai không truyền xuống xương hàm.
-
Mạch máu giảm nuôi dưỡng: xương không được tái tạo thường xuyên.
-
Tế bào xương thoái hóa: dẫn đến teo xương, mỏng lợi, tụt nướu.
👉 Đây cũng là lý do vì sao cầu răng sứ hay hàm tháo lắp không thể ngăn ngừa tiêu xương, vì chúng chỉ thay thế phần thân răng, không có chân răng nhân tạo để truyền lực xuống xương.
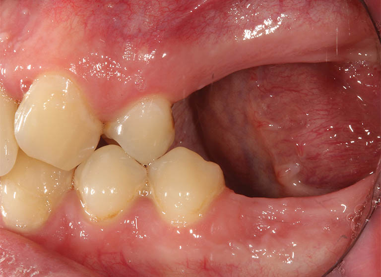
Dấu hiệu nhận biết tiêu xương hàm sau mất răng
1. Thay đổi khuôn mặt
-
Vùng má hóp lại, khuôn mặt trông già hơn tuổi.
-
Xuất hiện nhiều nếp nhăn quanh miệng.
-
Gương mặt mất cân đối do cấu trúc xương bị thay đổi.
2. Nướu tụt, ổ răng lõm xuống
-
Phần lợi tại vị trí mất răng dần tụt xuống.
-
Ổ răng lõm tạo thành khoảng trống, khó đặt mão sứ hoặc hàm giả.
3. Răng xung quanh xô lệch
-
Răng kế cận đổ nghiêng vào khoảng trống.
-
Sai khớp cắn, gây khó khăn khi nhai.
4. Khó khăn trong ăn nhai
-
Lực nhai yếu đi rõ rệt.
-
Thức ăn khó nghiền nát, ảnh hưởng tiêu hóa.
5. Thay đổi phát âm
-
Khoảng trống do mất răng và tụt lợi khiến phát âm không rõ.
-
Một số âm gió bị ảnh hưởng, đặc biệt khi mất răng cửa.
👉 Nếu bạn mất răng >6 tháng và bắt đầu thấy những thay đổi trên, rất có thể bạn đã gặp tình trạng tiêu xương hàm.
Hậu quả nguy hiểm khi bị tiêu xương hàm
-
Già trước tuổi: khuôn mặt biến dạng, lão hóa nhanh.
-
Mất khả năng phục hình đơn giản: không thể làm cầu răng hay đặt Implant bình thường.
-
Ảnh hưởng tiêu hóa: ăn nhai kém làm dạ dày quá tải.
-
Tăng nguy cơ bệnh lý răng miệng: răng xô lệch, dễ sâu răng, viêm lợi.
-
Tốn kém chi phí: càng để lâu, càng phải ghép xương phức tạp trước khi trồng Implant.
Các phương pháp khắc phục tiêu xương hàm
1. Ghép xương
-
Áp dụng: khi xương hàm bị tiêu một phần nhưng vẫn còn đủ nền xương.
-
Cách thực hiện: bác sĩ sử dụng xương nhân tạo, xương tự thân hoặc kết hợp để bù đắp.
-
Ưu điểm: tái tạo lại thể tích xương, đủ điều kiện đặt Implant.
2. Nâng xoang hàm
-
Áp dụng: tiêu xương ở vùng hàm trên, gần xoang.
-
Kỹ thuật: nâng màng xoang và ghép xương vào khoảng trống.
-
Kết quả: tăng chiều cao xương, đủ để cố định trụ Implant.
3. Cấy ghép Implant – giải pháp duy nhất ngăn ngừa tiêu xương
Implant là phương pháp thay thế cả thân răng và chân răng. Nhờ có trụ Titanium cắm vào xương, lực nhai được truyền xuống giúp xương hàm tiếp tục duy trì và phát triển.
-
Khôi phục chức năng nhai gần như răng thật.
-
Ngăn ngừa tiêu xương lâu dài.
-
Đảm bảo thẩm mỹ tối đa.
👉 Xem thêm: [Công thức tính chi phí trồng răng Implant]
Mất Răng Lâu Năm Tiêu Xương Nặng Có Trồng Được Implant Không Ths BS Phạm Hùng Sơn
Quy trình khắc phục tiêu xương hàm tại Nha khoa Olympia
Bước 1: Thăm khám & chụp CT ConeBeam 3D
-
Đánh giá mật độ xương, mức độ tiêu xương.
-
Lập kế hoạch điều trị chi tiết.
Bước 2: Ghép xương/nâng xoang nếu cần
-
Bác sĩ phục hồi nền xương trước khi đặt Implant.
-
Sử dụng vật liệu xương chất lượng cao, an toàn.
Bước 3: Cấy trụ Implant
-
Ứng dụng công nghệ Digital Implant – định vị chính xác, an toàn.
-
Thời gian lành thương nhanh chóng.
Bước 4: Gắn Abutment & mão sứ
-
Abutment cá nhân hóa, mão sứ thẩm mỹ tự nhiên.
-
Hoàn thiện nụ cười, khôi phục khả năng nhai.
Bước 5: Chăm sóc & tái khám định kỳ
-
Theo dõi sự tích hợp xương.
-
Đảm bảo Implant bền vững, ổn định.
Quy trình trồng răng số hóa toàn diện tại Nha khoa Olympia
Vì sao nên khắc phục tiêu xương hàm tại Nha khoa Olympia?
-
ThS.BS Phạm Hùng Sơn: hơn 20 năm kinh nghiệm, 17.000 ca Implant thành công.
-
BS Bùi Hưng: chuyên gia Digital Implant, tiên phong ứng dụng công nghệ số.
-
Trang thiết bị hiện đại: CT ConeBeam 3D, phần mềm định vị Implant.
-
Chi phí minh bạch – bảo hành trọn đời trụ Implant.
📍 Địa chỉ: 40 Trần Quang Diệu, Đống Đa, Hà Nội
📞 Hotline: 0961 621 186
🕗 Thời gian làm việc: 08:00 – 18:00 hàng ngày
Câu hỏi thường gặp về tiêu xương hàm sau mất răng
1. Mất răng bao lâu thì bắt đầu tiêu xương?
👉 Thông thường chỉ sau 3–6 tháng, xương hàm đã bắt đầu tiêu biến rõ rệt.
2. Làm cầu răng sứ có ngăn được tiêu xương không?
👉 Không. Cầu răng chỉ phục hình thân răng, không thay thế chân răng nên không ngăn tiêu xương.
3. Tiêu xương nặng có trồng Implant được không?
👉 Có, nhưng cần ghép xương hoặc nâng xoang trước khi cấy Implant.
Tiêu xương hàm sau mất răng là biến chứng nguy hiểm, ảnh hưởng trực tiếp đến thẩm mỹ, chức năng ăn nhai và sức khỏe tổng thể. Giải pháp duy nhất để ngăn ngừa và khắc phục hiệu quả chính là trồng răng Implant.
Tại Nha khoa Olympia, đội ngũ chuyên gia Implant hàng đầu cùng công nghệ Digital Implant hiện đại cam kết mang lại kết quả an toàn – bền vững – thẩm mỹ tự nhiên.
👉 Gọi ngay 0961 621 186 để được tư vấn miễn phí và đặt lịch khám cùng chuyên gia.



