Máng hướng dẫn được thiết kế dựa trên phim CT 3D và phần mềm lập kế hoạch phẫu thuật, giúp xác định chính xác vị trí, góc độ và độ sâu cấy Implant. Giảm thiểu sai sót do yếu tố con người, đảm bảo Implant được đặt đúng theo kế hoạch.
Mục lục
Công nghệ hình ảnh 3D cao cấp
- CT/Cone Beam CT (CBCT):
-

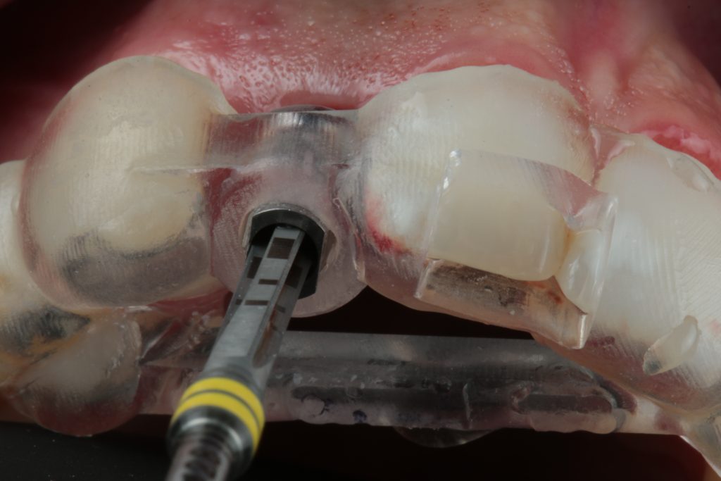
Trồng răng bằng máng hướng dẫn phẫu thuật được lên kế hoạch trên các phần mềm chuyên nghiệp mang lại sự chính xác cao .
- Độ phân giải cao giúp đo đạc chính xác độ dày xương, mật độ xương và góc nghiêng của trụ Implant.
-
- Phần mềm thiết kế Implant (ví dụ: Nobel Clinician, SimPlant, coDiagnostiX):
- Phân tích hình ảnh CT để lập bản đồ phẫu thuật ảo, tính toán vị trí tối ưu cho từng trụ Implant.
- Mô phỏng lực nhai và thẩm mỹ răng sứ sau phục hình.
Thiết kế máng hướng dẫn cá nhân hóa
- In 3D hoặc CAD/CAM:
- Máng được chế tạo bằng công nghệ in 3D hoặc gia công CNC từ nhựa y tế, khớp chính xác với mô hình răng và nướu của bệnh nhân.
- Có các lỗ khoan định vị sẵn theo góc độ và độ sâu đã tính toán trước, loại bỏ sai lệch do thao tác thủ công.
- Phân loại máng:
- Máng hỗ trợ xương (bone-supported): Dành cho trường hợp còn đủ xương.
- Máng hỗ trợ nướu (mucosa-supported): Khi không muốn bóc tách nướu nhiều.
- Máng hỗ trợ răng (tooth-supported): Áp dụng khi còn răng thật làm điểm tham chiếu.
Loại bỏ sai sót trong phẫu thuật
Trồng răng bằng máng hướng dẫn phẫu thuật loại bỏ những sai sót trong phẫu thuật, kiểm soát được kết quả cấy ghép trước khi cả thực hiện
- Không cần rạch nướu rộng:
- Máng hướng dẫn giúp khoan xương và đặt Implant xuyên qua nướu mà không cần bóc tách lớn, tránh biến dạng mô mềm.
- Hệ thống định vị cơ học:
- Máng có các sleeve (ống dẫn) kim loại hoặc nhựa cứng, giữ mũi khoan không bị lệch hướng.
- Kiểm soát lực khoan:
- Máy khoan Implant kết hợp với máng sẽ dừng tự động khi đạt độ sâu thiết kế, ngăn ngừa khoan quá sâu.
Đối chiếu dữ liệu số với thực tế
- Kỹ thuật in 3D mô hình hàm:
- Bác sĩ có thể in mô hình hàm từ dữ liệu CT để kiểm tra độ khớp của máng trước phẫu thuật.
- Hệ thống navigation (dẫn đường phẫu thuật):
- Một số phòng khám tích hợp máy dẫn đường trực tiếp trong phẫu thuật, hiển thị vị trí Implant trên màn hình theo thời gian thực.
Ứng dụng AI và học máy (trong tương lai gần)
- Các phần mềm hiện đại bắt đầu tích hợp AI để tự động đề xuất vị trí Implant dựa trên dữ liệu hàng ngàn ca thành công, tối ưu hóa độ chính xác.

So sánh với phương pháp truyền thống
| Yếu tố | Phương pháp truyền thống | Máng hướng dẫn phẫu thuật |
|---|---|---|
| Độ chính xác | Phụ thuộc kinh nghiệm BS | Số hóa, sai số < 0.1mm |
| Xâm lấn | Rạch nướu rộng | Xuyên nướu tối thiểu |
| Thời gian | 30–60 phút/trụ | 10–20 phút/trụ |
| Rủi ro | Cao (tổn thương dây TK) | Cực thấp |
Độ chính xác của máng hướng dẫn phẫu thuật đến từ sự kết hợp giữa công nghệ hình ảnh 3D, thiết kế số hóa cá nhân hóa và cơ chế định vị cơ học. Đây là phương pháp tối ưu cho những ca phức tạp hoặc yêu cầu tính thẩm mỹ cao như trồng răng toàn hàm All-on-4/6.



