Phân tích công tâm từ góc độ chuyên gia: Khi nào nên bọc răng sứ – khi nào nên bảo tồn răng thật? Bọc răng sứ là ...[Xem thêm]
Bọc răng sứ là gì? Có đau không? Có phải mài nhiều không?
Bạn đang cân nhắc bọc răng sứ để cải thiện thẩm mỹ và ăn nhai? Nhưng lại lo lắng mài răng có đau không, có ảnh hưởng tủy ...[Xem thêm]
Khi nào cần bọc răng sứ? Câu trả lời chuẩn đắc từ chuyên gia
Bọc răng sứ không phải lúc nào cũng tốt. Hãy tìm hiểu những trường hợp nên và không nên bọc răng sứ để tránh những hối ...[Xem thêm]
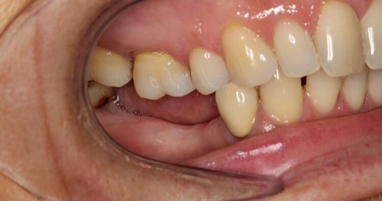
Răng khấp khểnh có nên bọc răng sứ không? Câu trả lời từ chuyên gia
Câu trả lời ngắn gọn: KHÔNG nên bọc sứ nếu răng chỉ khấp khểnh mà chưa có vấn đề về chức năng ăn nhai hay sức khỏe răng ...[Xem thêm]
BS CK1. Hà Thị Hương Trang – Chuyên gia Chỉnh nha cá nhân hóa tại Nha khoa Olympia
Hơn 10 năm kinh nghiệm – Hơn 8.200 ca chỉnh nha thành công – Mỗi ca niềng là một thiết kế nụ cười cá nhân hóa Chuyên ...[Xem thêm]
Đừng dại đi trồng răng sau 3 giờ chiều! Đây là lý do chuyên gia không khuyến khích!
Việc trồng răng Implant không nên thực hiện muộn vào buổi chiều là một khuyến cáo được nhiều bác sĩ cấy ghép kinh nghiệm ...[Xem thêm]
Vì sao chỉ bác sĩ chuyên sâu mới được cấy Implant bằng máng hướng dẫn phẫu thuật?
Kỹ thuật cấy Implant bằng máng hướng dẫn phẫu thuật (Surgical Guide) đang được xem là đỉnh cao của nha khoa hiện đại – ...[Xem thêm]
BS Bùi Hưng – Chuyên gia Implant số hóa với hơn 9.500 ca lâm sàng tại Nha khoa Olympia
Trong thời đại nha khoa hiện đại, cấy ghép Implant không còn chỉ là "trồng lại chiếc răng đã mất", mà đã trở thành một ...[Xem thêm]
ThS BS Phạm Hùng Sơn là ai? Chân dung chuyên gia Implant thế hệ đầu tại miền Bắc
ThS BS Phạm Hùng Sơn là ai? Chân dung chuyên gia Implant hàng đầu – người tái tạo nụ cười bằng cả tâm và tài. Trong lĩnh ...[Xem thêm]
Mất Răng Lâu Năm Gây Tiêu Xương Hàm Nghiêm Trọng – Đừng Chủ Quan!
Điều Gì Xảy Ra Trong Xương Hàm Khi Mất Răng? – Sự Thật Khiến Nhiều Người Bất Ngờ! Mất răng không chỉ ảnh hưởng đến nụ ...[Xem thêm]













