Trồng răng Implant hiện đang là giải pháp phục hình răng mất tối ơu nhất hiện nay, thay thế cho các hình thức trồng răng ...[Xem thêm]
Trồng răng Implant tại Nha khoa Olympia – So sánh chi tiết 5 dòng trụ DIO, Dentium, Superline, Neodent, Straumann
Trồng răng Implant là giải pháp phục hình răng mất được hàng triệu khách hàng lựa chọn nhờ độ bền chắc, thẩm mỹ và chức ...[Xem thêm]
Niềng răng có đau không? Giải đáp chi tiết từ chuyên gia
Niềng răng có đau không? là thắc mắc của nhiều người trước khi quyết định chỉnh nha. Thực tế, cảm giác đau nhức khi ...[Xem thêm]
Niềng Răng Chen Chúc: Giải Pháp Tối Ưu Cho Hàm Răng Lộn Xộn
Niềng răng chen chúc là một trong những trường hợp phổ biến nhất trong chỉnh nha. Mức độ khó dễ của quá trình này phụ ...[Xem thêm]
Tại sao cần bác sĩ chỉnh nha cá nhân hóa?
Mỗi người có cấu trúc răng, hàm mặt và nhu cầu thẩm mỹ khác nhau, do đó chỉnh nha cá nhân hóa là yếu tố then chốt để đạt ...[Xem thêm]
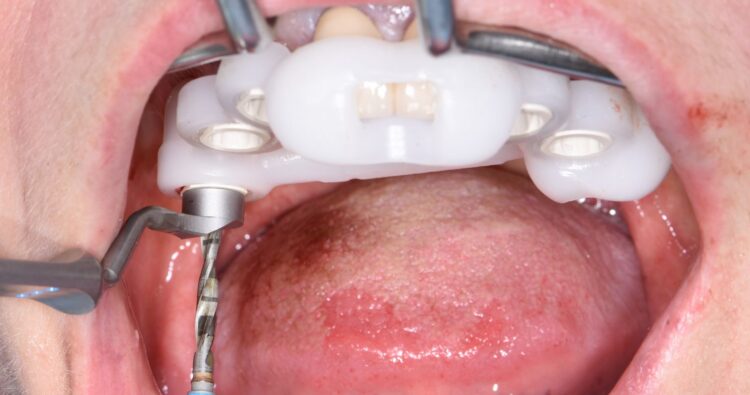
Nhược điểm của trồng răng bằng máng hướng dẫn phẫu thuật mà không nha khoa nào tiết lộ
Rất khó để phủ nhận những ưu điểm của phương pháp trồng răng Implant và càng khó để phủ nhận thế mạnh mà cấy ghép ...[Xem thêm]
Máng hướng dẫn phẫu thuật phù hợp với trường hợp phức tạp
Trồng răng bằng máng hướng dẫn phẫu thuật, đặc biệt hữu ích cho những ca khó như xương mỏng, cần ghép xương hoặc cấy ...[Xem thêm]
Máng hướng dẫn phẫu thuật tối ưu kết quả thẩm mỹ và chức năng
Trồng răng implant bằng máng hướng dẫn phẫu thuật tối ưu kết quả thẩm mỹ và chức năng: Implant được đặt chính xác giúp ...[Xem thêm]
Trồng răng bằng máng hướng dẫn phẫu thuật hồi phục nhanh, ít đau sau phẫu thuật
Vết mổ nhỏ, ít xâm lấn nên giảm sưng đau sau khi trồng răng. Thời gian lành thương nhanh hơn so với phương pháp truyền ...[Xem thêm]
Trồng răng bằng máng hướng dẫn phẫu thuật thời gian phẫu thuật nhanh chóng
Quy trình cấy ghép diễn ra nhanh hơn do bác sĩ không cần mở nướu rộng hay đo đạc thủ công. Giảm thời gian gây tê, ít mỏi ...[Xem thêm]













