Mất nhiều răng đơn lẻ khác nhau, không liền nhau? Bác sĩ chỉ cách tính chi phí Implant đúng chuẩn theo từng vị trí, từng số lượng răng — tránh báo giá sai lệch.
Mục lục
- 1 Mất nhiều răng vị trí đơn lẻ: Cách điều trị & tính chi phí theo từng trường hợp
- 2 Công thức tính chi phí trồng răng nhiều vị trí đơn lẻ
- 3 Tại sao mất nhiều răng đơn lẻ phải tính theo trụ?
- 4 Bảng Giá Implant Trọn Gói Tại Nha khoa Olympia (đã bao gồm trụ + abutment + răng sứ)
- 5 Các trường hợp mất răng rời rạc & cách tính chi phí cụ thể
- 5.1 Mất 2 Răng Đơn Lẻ (Không Liền Nhau)
- 5.2 Mất 3 răng đơn lẻ (không liền nhau)
- 5.3 Vì sao không dùng cầu/giảm trụ?
- 5.4 Công thức:
- 5.5 Tính tổng theo bảng giá Olympia:
- 5.6 Mất 4 răng đơn lẻ (không liền kề nhau)
- 5.7 Bảng tính:
- 5.8 Mất 5–6 răng đơn lẻ (không liền kề nhau)
- 5.9 Mất 7–10 răng đơn lẻ (không liền kề nhau)
- 6 Đặt lịch chụp phim và tư vấn Implant miễn phí cùng chuyên gia
- 7 Tham Khảo Các Bài Viết Liên Quan Tại Đây
Mất nhiều răng vị trí đơn lẻ: Cách điều trị & tính chi phí theo từng trường hợp
Nếu cô chú đang mất nhiều răng ở các vị trí khác nhau (không liền kề), chắc chắn sẽ có chung những băn khoăn này:
-
“Mất nhiều răng lẻ tẻ, bên trái 2 cái – bên phải 1 cái, tính sao cho đúng?”
-
“Có bắt buộc răng nào mất cũng phải đặt trụ không?”
-
“Có cách nào tính chi phí trước khi làm để chuẩn bị không?”
-
“Sợ đến nơi rồi phát sinh nhiều khoản không lường trước…”
ThS.BS Phạm Hùng Sơn chia sẻ —— đây là tình trạng rất phổ biến ở người trung niên và lớn tuổi, đặc biệt những ai bị viêm quanh răng trước đó hoặc mất răng lâu năm.
✅ Mất răng rải rác vẫn có công thức chuẩn để tính chi phí, hoàn toàn minh bạch.
Công thức tính chi phí trồng răng nhiều vị trí đơn lẻ
Chi phí trồng răng = (Số răng mất x Giá 1 trụ theo loại chọn) + Chi phí xử lý xương nếu có
Trong đó:
| Hạng mục | Ý nghĩa |
|---|---|
| Số răng mất | Bao nhiêu răng thì đặt bấy nhiêu trụ (Áp dụng với mất nhiều răng đơn lẻ) |
| Chi phí trụ implant | Tùy hãng lựa chọn: Hàn Quốc – Mỹ – Thụy Sĩ |
| Xử lý xương (nếu có) | Tăng thể tích xương hàm bị thiếu / Nâng nền xoang bị sà xuống / Dựng trục răng |
| Răng sứ + Abutment | Đã bao gồm trong bảng giá trọn gói của Olympia |
Các chi phí xử lý chi phí phát sinh minh bạch tại Olympia (nếu cần)
| Thủ thuật | Mức phí |
|---|---|
| Tăng thể tích xương hàm bị thiếu | 3.000.000 – 10.000.000 VNĐ |
| Nâng nền xoang bị sà xuống | 5.000.000 – 10.000.000 VNĐ |
| Dựng trục răng | 3.000.000 – 10.000.000 VNĐ |
Chỉ áp dụng khi xương không đủ tiêu chuẩn — được bác sĩ chứng minh bằng hình ảnh X-quang 3D và giải thích rõ ràng trước khi điều trị.
💡 Không có chuyện “phát sinh mập mờ” — mọi chỉ định đều dựa trên chụp 3D ConeBeam và phân tích xương kỹ lưỡng.
Tại sao mất nhiều răng đơn lẻ phải tính theo trụ?
Khi răng mất rời rạc, khoảng cách xa nhau, nếu cố làm “bắc cầu” có thể gây:
-
Lực nhai không đều → dễ lung lay phục hình
-
Gây tiêu xương kéo dài
-
Khó vệ sinh → viêm quanh Implant
➡️ Vì vậy, mỗi răng mất = 1 trụ riêng, đảm bảo:
-
Ăn nhai khỏe như răng thật
-
Tuổi thọ phục hình lâu dài
-
Hạn chế tái phát bệnh lý răng miệng
So sánh ngắn gọn để cô chú dễ hiểu
| Tình trạng | Giải pháp | Số trụ | Tính chi phí |
|---|---|---|---|
| Mất 3 răng rải rác | Implant từng vị trí | 3 | 3 x giá trụ + phát sinh nếu có |
| Mất 2 răng đối diện | Implant từng vị trí | 2 | 2 x giá trụ + phát sinh nếu có |
| Mất răng xen kẽ khắp hàm | Implant từng răng | Theo số mất | Tổng số trụ + xử lý xương nếu có |
Lời khuyên từ bác sĩ Olympia
“Mất nhiều răng rải rác là dấu hiệu xương hàm đang thoái hóa theo thời gian. Càng trì hoãn, tiêu xương càng nhanh, chi phí xử lý xương càng tăng.”
👉 Phát hiện sớm – điều trị sớm – chi phí thấp hơn, kết quả tốt hơn.
Bảng Giá Implant Trọn Gói Tại Nha khoa Olympia (đã bao gồm trụ + abutment + răng sứ)
| Dòng Implant | Xuất xứ | Bảo hành | Giá trọn gói |
|---|---|---|---|
| Dentium | Hàn Quốc | 15 năm | 12.000.000 – 14.000.000 / răng |
| SuperLine | Mỹ | 20 năm | 16.500.000 – 18.500.000 / răng |
| Neodent | Thụy Sĩ | 22 năm | 22.500.000 / răng |
| Straumann SLA | Thụy Sĩ | Trọn đời | 29.750.000 / răng |
| Straumann SLActive | Thụy Sĩ | Trọn đời | 34.850.000 / răng |
➡️ Không áp dụng trả góp 0%, thanh toán 2 đợt:
70% khi cấy trụ – 30% khi lắp răng.

Các trường hợp mất răng rời rạc & cách tính chi phí cụ thể
Trong phần này cô chú có thể tìm cách tính chi phí mất răng với trường hợp cụ thể theo tình trạng mất răng của mình. Hãy kéo để tìm chi tiết cách điều trị và tính chi phí chi tiết tại phần này.
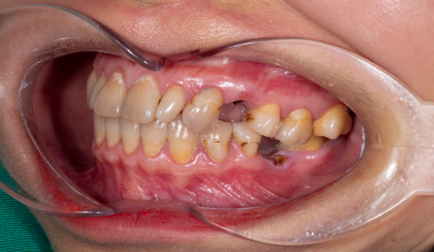
Mất 2 Răng Đơn Lẻ (Không Liền Nhau)
Đây là tình huống thường gặp nhất: một răng mất bên phải – một răng mất bên trái, hoặc hai răng cách xa nhau.
Trong trường hợp này, mỗi răng mất = 1 trụ Implant riêng, không thể dùng 1 trụ cho 2 răng vì:
- Hai răng không liên tiếp → không thể làm cầu
- Đảm bảo lực nhai khỏe – bền lâu như răng thật
- Tránh tiêu xương tại vị trí không đặt trụ
🧮 Công thức chung
Chi phí = (2 x Giá trụ Implant theo loại chọn) + Chi phí phát sinh nếu có
✅Trường hợp KHÔNG phát sinh chi phí xương
🏥 Xương hàm đủ tốt, không cần tăng thể tích xương hay nâng nền xoang.

Công thức:
Chi phí = 2 x Giá trụ Implant theo loại chọn
Tính chi phí cụ thể theo từng dòng Implant:
| Loại Trụ | Giá 1 trụ đã gồm Abutment + Răng sứ | Công thức tính | Tổng chi phí |
|---|---|---|---|
| Dentium – Hàn Quốc | 12.000.000 – 14.000.000₫ | 2 × 12–14 triệu | 24.000.000 – 28.000.000₫ |
| SuperLine – Mỹ | 16.500.000 – 18.500.000₫ | 2 × 16.5–18.5 triệu | 33.000.000 – 37.000.000₫ |
| Neodent – Thụy Sĩ | 22.500.000₫ | 2 × 22.5 triệu | 45.000.000₫ |
| Straumann SLA – Thụy Sĩ | 29.750.000₫ | 2 × 29.75 triệu | 59.500.000₫ |
| Straumann SLActive – Thụy Sĩ | 34.850.000₫ | 2 × 34.85 triệu | 69.700.000₫ |
✅ Phù hợp khách xương tốt – muốn tối ưu chi phí và thời gian phục hồi.
✅ Trường hợp CÓ phát sinh chi phí
Xảy ra khi:
-
Mất răng lâu → tiêu xương hàm
-
Xương mỏng, xương yếu
-
Vị trí răng gần xoang hàm → cần nâng nền xoang
-
Trục răng lệch → cần dựng trục
Chi phí xử lý thủ thuật phát sinh (tính theo bảng Olympia):
| Phát sinh | Chi phí |
|---|---|
| Tăng thể tích xương hàm | 3.000.000 – 10.000.000₫ / vị trí |
| Nâng nền xoang bị sà xuống | 5.000.000 – 10.000.000₫ |
| Dựng trục răng | 3.000.000 – 10.000.000₫ / răng |
Trường hợp mất 2 răng, thường sẽ phát sinh tại 1 hoặc cả 2 vị trí, tùy độ tiêu xương.
📌 Ví dụ tính chi phí phát sinh chi phí
Chi phí = (2 x giá trụ) + (2 x chi phí thủ thuật phát sinh )
| Loại Trụ | Trụ Implant | Tăng xương (giả sử 5 triệu/xương) | Công thức | Tổng tiền |
|---|---|---|---|---|
| Dentium | 12–14 triệu | 2 × 5 triệu | (2×12–14) + 10 | 34–38 triệu |
| SuperLine | 16.5–18.5 triệu | 2 × 5 triệu | (2×16.5–18.5) + 10 | 43–47 triệu |
| Neodent | 22.5 triệu | 2 × 5 triệu | (2×22.5) + 10 | 55 triệu |
| Straumann SLA | 29.75 triệu | 2 × 5 triệu | (2×29.75) + 10 | 69.5 triệu |
| Straumann SLActive | 34.85 triệu | 2 × 5 triệu | (2×34.85) + 10 | 79.7 triệu |
📝 Nếu cần nâng nền xoang hoặc dựng trục, chi phí sẽ cộng thêm tương ứng 5–10 triệu mỗi vị trí tùy mức độ. Chi phí này sẽ có thể thấp hơn hoặc trong quá trình tư vấn dù thiếu nhưng không đáng kể Nha khoa Olympia sẽ không tính thêm phần chi phí phát sinh này.
🎯 Toàn bộ chỉ định được bác sĩ giải thích bằng hình ảnh X-quang 3D CBCT – minh bạch chi phí.

🎤 Thông điệp dành cho khách mất 2 răng rải rác
“Mất 2 răng tưởng nhỏ, nhưng nếu để lâu, tiêu xương và lệch khớp cắn sẽ diễn tiến nhanh hơn. Trồng Implant sớm giúp tiết kiệm chi phí & giữ chắc xương hàm.”
✅ Càng trì hoãn → xương tiêu càng nhiều → chi phí xử lý xương càng cao
Mất 3 răng đơn lẻ (không liền nhau)
Đây là những trường hợp răng bị mất rời rạc, cách nhau ở nhiều vị trí trong hàm. Mỗi răng mất cần 1 trụ Implant riêng.
Vì sao không dùng cầu/giảm trụ?
-
Các răng mất không đứng cạnh nhau → không thể làm cầu.
-
Dùng ít trụ thay nhiều răng → lực nhai không đủ → dễ hỏng phục hình.
-
Mục tiêu là khôi phục như răng thật từng vị trí, bảo vệ xương & khớp cắn lâu dài.
🧮 Công thức tổng chi phí
Chi phí = (3 × Giá trụ Implant theo loại chọn) + Chi phí phát sinh (nếu có)
✅ Trường hợp KHÔNG phát sinh chi phí xương
Xương hàm tốt, không tiêu nhiều, không cần can thiệp bổ sung.
Công thức:
Chi phí = 3 × Giá trụ Implant
Tính tổng theo bảng giá Olympia:
| Loại Trụ | Giá 1 trụ đã gồm Abutment + Răng sứ | Công thức | Tổng chi phí |
|---|---|---|---|
| Dentium – Hàn Quốc | 12–14 triệu | 3 × 12–14 | 36–42 triệu |
| SuperLine – Mỹ | 16.5–18.5 triệu | 3 × 16.5–18.5 | 49.5–55.5 triệu |
| Neodent – Thụy Sĩ | 22.5 triệu | 3 × 22.5 | 67.5 triệu |
| Straumann SLA – Thụy Sĩ | 29.75 triệu | 3 × 29.75 | 89.25 triệu |
| Straumann SLActive – Thụy Sĩ | 34.85 triệu | 3 × 34.85 | 104.55 triệu |
✅ Phù hợp khách mất răng gần đây, xương chưa tiêu nhiều.
✅ Trường hợp CÓ phát sinh chi phí xương
Áp dụng khi:
-
Mất răng lâu năm → xương tiêu nhiều
-
Khu vực gần xoang hàm → cần nâng xoang
-
Xương mỏng → cần tăng thể tích xương
-
Cần dựng trục răng cho đúng hướng
Chi phí phát sinh tại Olympia:
| Kỹ thuật hỗ trợ | Chi phí |
|---|---|
| Tăng thể tích xương hàm | 3–10 triệu/ vị trí |
| Nâng nền xoang bị sà xuống | 5–10 triệu |
| Dựng trục răng | 3–10 triệu/ răng |
Với 3 răng đơn lẻ → có thể phát sinh ở 1–3 vị trí tuỳ mức độ tiêu xương.
📌 Ví dụ tính chi phí (giả sử cần tăng xương 5 triệu/ vị trí × 2 vị trí)
Chi phí = (3 × giá trụ) + (2 × 5 triệu)
| Loại Trụ | Trụ Implant | Tăng xương | Công thức | Tổng tiền |
|---|---|---|---|---|
| Dentium | 12–14 triệu | 10 triệu | (3×12–14)+10 | 46–52 triệu |
| SuperLine | 16.5–18.5 triệu | 10 triệu | (3×16.5–18.5)+10 | 59.5–65.5 triệu |
| Neodent | 22.5 triệu | 10 triệu | (3×22.5)+10 | 77.5 triệu |
| Straumann SLA | 29.75 triệu | 10 triệu | (3×29.75)+10 | 99.25 triệu |
| Straumann SLActive | 34.85 triệu | 10 triệu | (3×34.85)+10 | 114.55 triệu |
📎 Nếu cần nâng xoang hoặc dựng trục thêm, chi phí sẽ cộng theo mức thực tế (bác sĩ giải thích rõ trước khi làm).
🎤 Thông điệp chuyên gia cho khách mất 3 răng rải rác
“Mất 3 răng rải rác là dấu hiệu xương đang giảm đồng thời ở nhiều vị trí. Trồng sớm giúp giữ xương, phục hồi lực nhai & tránh lệch hàm.”
✅ Mất càng nhiều răng → nguy cơ lão hoá mặt, hóp má càng cao
✅ Trồng sớm → chi phí thấp hơn, kết quả tốt hơn
Mất 4 răng đơn lẻ (không liền kề nhau)
Đây là tình trạng khá phổ biến ở cô chú trung niên:
-
Mất 1–2 răng mỗi giai đoạn khác nhau
-
Do sâu răng lâu năm, viêm tủy, điều trị chậm
-
Một số răng nhổ từ lâu → xương đã tiêu khá nhiều
-
Hàm ăn nhai yếu dần theo thời gian, lệch mặt nhẹ
Mất rải rác 4 răng → mỗi vị trí cần 1 trụ Implant riêng để phục hồi chức năng như răng thật.
Không thể làm cầu răng, vì không có răng trụ liền kề và cầu dài quá sẽ yếu, dễ gãy.
🎯 Lợi ích khi trồng lại đủ 4 răng đơn lẻ
| Lợi ích | Ý nghĩa |
|---|---|
| Khôi phục lực nhai mạnh như răng thật | Ăn thịt dai, nhai chắc |
| Ngăn tiêu xương tại 4 vị trí mất răng | Giữ gương mặt không hóp |
| Không ảnh hưởng răng thật bên cạnh | Không phải mài răng khoẻ |
| Ổn định khớp cắn, tránh lệch hàm | Ăn uống, phát âm tốt |
| Giảm nguy cơ đau thái dương hàm theo tuổi | Tránh nhức đầu, mỏi cơ mặt |
Bác nên trồng lại sớm để giữ răng thật còn lại, tránh mất tiếp răng khác.
🧮 Công thức chi phí tổng
Tổng chi phí = (4 × Giá trụ Implant) + Chi phí phát sinh (nếu có)
✅ Trường hợp KHÔNG phát sinh chi phí
Xương còn đủ – chỉ cần đặt trụ & gắn răng sứ.
Chi phí = 4 × Giá trụ
Bảng tính:
| Loại trụ | Giá 1 trụ đã gồm Abutment + Răng sứ | Công thức | Tổng tiền |
|---|---|---|---|
| Dentium – Hàn Quốc | 12–14 triệu | 4 × 12–14 | 48 – 56 triệu |
| SuperLine – Mỹ | 16.5–18.5 triệu | 4 × 16.5–18.5 | 66 – 74 triệu |
| Neodent – Thuỵ Sĩ | 22.5 triệu | 4 × 22.5 | 90 triệu |
| Straumann SLA – Thuỵ Sĩ | 29.75 triệu | 4 × 29.75 | 119 triệu |
| Straumann SLActive – Thuỵ Sĩ | 34.85 triệu | 4 × 34.85 | 139.4 triệu |
👉 Trường hợp này thường gặp khi mất răng chưa lâu hoặc xương còn tốt.
✅ Trường hợp CÓ phát sinh chi phí
Thường gặp khi:
-
Mất răng > 1 năm
-
Xương tiêu nhiều
-
Gần xoang hàm
-
Cần dựng trục răng đúng hướng
Chi phí hỗ trợ (nếu có):
| Kỹ thuật | Chi phí |
|---|---|
| Tăng thể tích xương hàm | 3–10 triệu / vị trí |
| Nâng nền xoang bị sà xuống | 5–10 triệu |
| Dựng trục răng | 3–10 triệu / răng |
📌 Ví dụ tính chi phí thực tế
Giả sử cần tăng xương 2 vị trí, mỗi vị trí 5 triệu:
Tổng = (4 × Giá trụ) + (2 × 5 triệu)
| Trụ | Công thức | Tổng tiền |
|---|---|---|
| Dentium | (4×12–14) + 10 | 58 – 66 triệu |
| SuperLine | (4×16.5–18.5) + 10 | 76 – 84 triệu |
| Neodent | (4×22.5) + 10 | 100 triệu |
| Straumann SLA | (4×29.75) + 10 | 129 triệu |
| Straumann SLActive | (4×34.85) + 10 | 149.4 triệu |
📍 Nếu cần dựng trục hoặc nâng xoang thêm → bác sĩ báo rõ trước khi làm, không phát sinh mập mờ.
🎤 Góc nhìn chuyên gia (ThS.BS Phạm Hùng Sơn)
Trồng răng Implant cho khách hàng Hải ngoại về Việt Nam mất nhiều răng
“Khi cô chú mất 4 răng rải rác, nghĩa là hệ răng đang yếu dần theo tuổi. Nếu không trồng lại, các răng còn lại sẽ chịu tải quá mức và tiếp tục hỏng. Đặt Implant sớm để bảo tồn răng thật và giữ gương mặt trẻ lâu.”
Mất 5–6 răng đơn lẻ (không liền kề nhau)
Đây là nhóm khách hàng rất phổ biến, thường từ 40–70 tuổi:
-
Mất răng rải rác từng giai đoạn
-
Răng còn lại yếu dần, lung lay, mòn, xô lệch
-
Lực nhai giảm rõ rệt, ăn uống khó, tiêu hóa kém
-
Gương mặt bắt đầu hóp, lộ nếp nhăn vùng miệng
5–6 răng đơn lẻ mất rải rác = Mỗi vị trí cần 1 trụ Implant riêng.
Không thể làm cầu răng do thiếu răng trụ, cầu dài, dễ gãy – không bền.
🎯 Tại sao nên trồng lại ngay khi mất 5–6 răng?
| Vấn đề khi trì hoãn | Hậu quả |
|---|---|
| Tiêu xương hàm | Hóp má, lão hóa nhanh |
| Răng kế cạnh xô lệch | Lệch hàm, đau thái dương hàm |
| Khó nhai lâu dài | Suy dạ dày, trào ngược, kém hấp thu |
| Tăng nguy cơ rụng thêm răng | Hỏng cả hàm theo thời gian |
| Ảnh hưởng phát âm, hình dáng mặt | Lão hóa sớm |
Khi mất nhiều răng rải rác → lực nhai dồn lên các răng còn lại → rụng tiếp răng rất nhanh.
🧮 Công thức tính chi phí tổng
Tổng chi phí = (Số răng mất × Giá trụ) + Chi phí phát sinh (nếu có)
✅ Trường hợp KHÔNG phát sinh chi phí
Xương còn ổn, không cần ghép – Implant đặt trực tiếp.
Chi phí = Số răng × Giá trụ
Gầy sút vì mất răng nhai, bác Cần 67 tuổi “lột xác” sau trồng răng Implant – Ăn ngon, khỏe lại!
🎯 Mất 5 răng
| Loại trụ | Giá 1 trụ | Công thức | Tổng |
|---|---|---|---|
| Dentium – Hàn Quốc | 12–14 triệu | 5×12–14 | 60 – 70 triệu |
| SuperLine – Mỹ | 16.5–18.5 triệu | 5×16.5–18.5 | 82.5 – 92.5 triệu |
| Neodent – Thụy Sĩ | 22.5 triệu | 5×22.5 | 112.5 triệu |
| Straumann SLA | 29.75 triệu | 5×29.75 | 148.75 triệu |
| Straumann SLActive | 34.85 triệu | 5×34.85 | 174.25 triệu |
🎯 Mất 6 răng
| Loại trụ | Giá 1 trụ | Công thức | Tổng |
|---|---|---|---|
| Dentium | 12–14 triệu | 6×12–14 | 72 – 84 triệu |
| SuperLine | 16.5–18.5 triệu | 6×16.5–18.5 | 99 – 111 triệu |
| Neodent | 22.5 triệu | 6×22.5 | 135 triệu |
| Straumann SLA | 29.75 triệu | 6×29.75 | 178.5 triệu |
| Straumann SLActive | 34.85 triệu | 6×34.85 | 209.1 triệu |
✅ Trường hợp CÓ phát sinh chi phí
Thường gặp khi:
-
Mất >1–2 năm
-
Xương tiêu nhiều, xoang sà xuống
-
Cần dựng trục nhào hướng đúng
Chi phí phát sinh
| Hạng mục | Giá |
|---|---|
| Tăng thể tích xương hàm (nếu thiếu) | 3–10 triệu / vị trí |
| Nâng nền xoang bị sà xuống | 5–10 triệu |
| Dựng trục răng | 3–10 triệu / răng |
📌 Ví dụ thực tế – mất 6 răng, cần tăng xương 3 vị trí (5 triệu/vị trí)
Tổng = (6×Giá trụ) + (3×5 triệu)
| Trụ | Tổng |
|---|---|
| Dentium | 87 – 99 triệu |
| SuperLine | 114 – 126 triệu |
| Neodent | 150 triệu |
| Straumann SLA | 193.5 triệu |
| Straumann SLActive | 224.1 triệu |
Nếu cần dựng trục hoặc nâng xoang thêm → báo rõ trước, không phát sinh sau.
👨⚕️ Góc nhìn chuyên gia – ThS.BS Phạm Hùng Sơn
“Khi mất đến 5–6 răng rải rác, mục tiêu không chỉ là trồng lại răng mà là cứu hệ thống nhai còn lại. Trì hoãn càng lâu, xương tiêu càng nhiều, răng kế yếu dần, chi phí và độ phức tạp tăng gấp nhiều lần.
Mất 7–10 răng đơn lẻ (không liền kề nhau)
Nhóm khách hàng này thường thuộc độ tuổi 45–75 và thường có các biểu hiện sau:
-
Mất răng rải rác kéo dài 3–20 năm
-
Các răng còn lại lung lay, xô lệch, sai khớp cắn
-
Lực nhai giảm nghiêm trọng; ăn thịt dai, đồ cứng rất khó
-
Thói quen nhai nghiêng một bên → mỏi cơ mặt, thái dương hàm
-
Má hóp, mặt già đi thấy rõ vì tiêu xương hàm nhiều vùng
Đây là giai đoạn mà mất răng rải rác dễ tiến triển thành mất gần hết răng nếu không phục hồi kịp thời.
Đặc biệt, nhiều cô chú đang dùng răng cầu dài hoặc hàm tháo lắp, nay không còn nhai được nữa → cần chuyển sang Implant.
Các trường hợp mất răng đơn lẻ rải rác 7–10 vị trí thường gặp ở:
| Nhóm bệnh nhân | Đặc điểm |
|---|---|
| Người lớn tuổi (45–80) | Mất răng theo từng giai đoạn do sâu răng, viêm quanh răng, tiêu xương |
| Người từng làm cầu răng dài | Mất dần các răng trụ theo thời gian → các răng hỏng lẻ tẻ |
| Người đeo răng giả tháo lắp nhiều năm | Răng thật còn lại yếu dần → rụng lẻ tẻ theo từng vị trí |
| Người bị chấn thương + viêm quanh răng | Mất răng hỗn hợp: va chạm + bệnh lý nền |
| Người phẫu thuật ung thư vùng hàm | Mất răng rải rác sau phẫu thuật/xạ trị |
📌 Nặng nhất là người viêm quanh răng lâu năm: họ rụng răng từng chiếc một → kéo dài nhiều năm.
❌ Không phải mọi người mất 7-10 răng đều là “đơn lẻ”
Khi răng mất sát nhau, chúng ta xếp vào nhóm mất răng liên tiếp, không phải “đơn lẻ”.
👉 Vì vậy thực tế lâm sàng thường chia:
- Mất 2–6 răng đơn lẻ (rất thường gặp)
- Mất ≥7 răng đơn lẻ → lúc này hầu hết bệnh nhân đã chuyển sang tình trạng:
- Mất răng vùng rộng
- Hoặc nhiều cụm răng
- Hoặc gần toàn hàm, không còn “đơn lẻ thuần túy”
🎯 Nguyên tắc điều trị khi mất 7–10 răng đơn lẻ
-
Mỗi vị trí mất răng = 1 trụ Implant
-
Ưu tiên bảo tồn răng còn tốt và loại bỏ răng hỏng, lung lay nặng
-
Trường hợp răng còn nhưng yếu nhiều → bác sĩ sẽ đánh giá để tránh trồng răng rồi sau đó răng còn lại rụng tiếp
Khi mất răng nhiều rải rác, điều quan trọng là tái lập hệ thống nhai bền vững lâu dài, không phải chỉ “cấy cho đủ số răng”.
🧠 Cảnh báo quan trọng
Không nên tiếp tục làm cầu răng vì:
-
Không còn răng trụ đủ mạnh
-
Cầu quá dài → dễ gãy, viêm, hỏng cả hàm
-
Lực dồn quá mức lên răng còn lại → rụng nhanh hơn
Không nên chỉ dùng hàm tháo lắp vì:
-
Không nhai được đồ cứng, thịt dai
-
Lỏng, rơi khi nói chuyện/ăn uống
-
Tiêu xương nhanh, mặt già đi
🧮 Công thức tính chi phí
Tổng chi phí = (Số răng mất × Giá trụ) + Chi phí phát sinh (nếu có)
✅ TRƯỜNG HỢP KHÔNG PHÁT SINH CHI PHÍ
Xương còn đủ, không cần ghép, không cần nâng xoang.
Mất 7 răng
| Loại trụ | Công thức | Tổng |
|---|---|---|
| Dentium | 7 × 12–14 triệu | 84 – 98 triệu |
| SuperLine | 7 × 16.5–18.5 triệu | 115.5 – 129.5 triệu |
| Neodent | 7 × 22.5 triệu | 157.5 triệu |
| Straumann SLA | 7 × 29.75 triệu | 208.25 triệu |
| SLActive | 7 × 34.85 triệu | 243.95 triệu |
Mất 8 răng
| Loại trụ | Công thức | Tổng |
|---|---|---|
| Dentium | 8 × 12–14 | 96 – 112 triệu |
| SuperLine | 8 × 16.5–18.5 | 132 – 148 triệu |
| Neodent | 8 × 22.5 | 180 triệu |
| Straumann SLA | 8 × 29.75 | 238 triệu |
| SLActive | 8 × 34.85 | 278.8 triệu |
Mất 9 răng
| Loại trụ | Công thức | Tổng |
|---|---|---|
| Dentium | 9 × 12–14 | 108 – 126 triệu |
| SuperLine | 9 × 16.5–18.5 | 148.5 – 166.5 triệu |
| Neodent | 9 × 22.5 | 202.5 triệu |
| Straumann SLA | 9 × 29.75 | 267.75 triệu |
| SLActive | 9 × 34.85 | 313.65 triệu |
Mất 10 răng
| Loại trụ | Công thức | Tổng |
|---|---|---|
| Dentium | 10 × 12–14 | 120 – 140 triệu |
| SuperLine | 10 × 16.5–18.5 | 165 – 185 triệu |
| Neodent | 10 × 22.5 | 225 triệu |
| Straumann SLA | 10 × 29.75 | 297.5 triệu |
| SLActive | 10 × 34.85 | 348.5 triệu |
✅ TRƯỜNG HỢP CÓ PHÁT SINH CHI PHÍ
Thường gặp ở người mất răng nhiều năm:
-
Cần tăng thể tích xương hàm bị thiếu (3–10 triệu/vị trí)
-
Nâng nền xoang bị sà xuống (5–10 triệu)
-
Dựng trục răng (3–10 triệu/răng)
Chi phí phát sinh trung bình cho ca mất 7–10 răng: 15 – 50 triệu tùy mức độ tiêu xương.
👨⚕️ Góc nhìn chuyên môn – ThS.BS Phạm Hùng Sơn
“Ở giai đoạn mất 7–10 răng, nếu tiếp tục trì hoãn, răng còn lại sẽ suy yếu nhanh, dẫn đến mất toàn hàm và điều trị phức tạp hơn rất nhiều. Trồng Implant từng vị trí lúc này chính là giữ lại những răng còn tốt và giữ được cấu trúc xương mặt.”
📌 Lời khuyên dành cho cô chú
-
Đừng đợi “mất hẳn mới làm”
-
Mỗi năm chậm trễ là xương tiêu – mặt già đi – răng còn lại hỏng
Làm sớm = tiết kiệm tiền, thời gian và sức khỏe
🎯 Lưu ý quan trọng
Tin nhắn, hình ảnh, mô tả bằng lời không đủ để chẩn đoán chính xác.
Cần khám trực tiếp + chụp phim 3D CBCT để lên kế hoạch chính xác.
✅ Thực tế tại phòng khám Implant (theo kinh nghiệm điều trị)
Khi bệnh nhân mất 7–10 răng rải rác, đa số đang tiến gần đến giai đoạn mất toàn hàm chức năng.
Lúc này, phương án điều trị thường chia làm 2 hướng:
| Loại bệnh nhân | Hướng xử lý |
|---|---|
| Nhiều răng còn chắc | Cấy Implant cho các vị trí mất |
| Nhiều răng lung lay, viêm quanh răng nặng | Chuyển hướng kế hoạch trồng răng toàn hàm (4–6 trụ/hàm) thay vì cấy 7–10 trụ đơn lẻ |
Quy trình trồng răng số hóa toàn diện tại Nha khoa Olympia
Trường hợp đã tìm hết nhưng không có giống của mình cô chú có thể liên hệ trực tiếp với đội ngũ bác sĩ/chuyên gia để nhận tư vấn chi tiết thông qua việc để lại số điện thoại tại form đăng ký tư vấn hoặc số điện thoại chúng tôi đã để tại bài viết. Mong rằng bài viết này sẽ thật hữu ích khi cô chú đang muốn tìm hiểu, chuẩn bị chi phí để trồng răng với trường hợp mất răng của mình:
Cô chú/anh chị mất răng muốn tham khảo chi phí trồng răng Implant hoặc tư vấn hướng điều trị trực tiếp với trường hợp mất răng cụ thể của mình. Vui lòng liên hệ trực tiếp đến hotline của nha khoa tư vấn chi tiết, rõ ràng, minh bạch nhất:
Đặt lịch chụp phim và tư vấn Implant miễn phí cùng chuyên gia
📍 Nha khoa Olympia – Số 40 Trần Quang Diệu, Đống Đa, Hà Nội
📞 Hotline: 0961 621 186
🕗 Thời gian làm việc: 08:00 – 18:00 hàng ngày
👉 Đặt lịch ngay hôm nay để được chụp phim CT 3D miễn phí, tư vấn trực tiếp bởi ThS.BS Phạm Hùng Sơn – chuyên gia Implant hơn 20 năm kinh nghiệm.



