Bệnh nhân tiểu đường có trồng răng Implant được không? Giải thích chi tiết bởi ThS.BS Phạm Hùng Sơn – chuyên gia Implant ...[Xem thêm]
Viêm Quanh Răng Nguy Hiểm Cỡ Nào? 8 Dấu Hiệu Báo Động Sớm & Cách Điều Trị Tránh Mất Răng
Viêm quanh răng gây lung lay răng, tụt lợi, tiêu xương và mất răng nếu không điều trị sớm. Chuyên gia Implant ThS.BS ...[Xem thêm]
Chuyển Từ Cầu Răng Sứ Sang Trồng Implant Bao Nhiêu Tiền? Bảng Giá Chuẩn – Phân Tích 6 Trường Hợp Phổ Biến
Cầu răng sứ bị lung lay, đau viêm, hỏng? Nên chuyển sang Implant hay tiếp tục làm lại cầu? Bài viết phân tích đầy đủ các ...[Xem thêm]
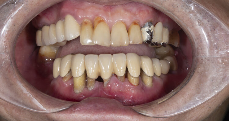
Cầu Răng Sứ Tất Cả Những Điều Cần Biết Trước Khi Làm Hay Đã Làm Rồi Đều Nên Đọc
Tại Nha khoa Olympia, các cô chú/anh chị mất răng đến thăm khám kiểm tra tình trạng răng đã làm cầu răng sứ bị hỏng: ...[Xem thêm]
Hậu quả mất răng lâu năm: 7 biến chứng âm thầm khiến gương mặt “già đi 10 tuổi” mà nhiều người không biết!
Mất răng lâu năm gây tiêu xương, xô lệch hàm, khớp thái dương đau, mặt già nhanh. Chuyên gia Implant Phạm Hùng Sơn phân ...[Xem thêm]
Có nên dùng hàm tháo lắp? Chuyên gia Implant cảnh báo 5 nguy cơ nghiêm trọng người lớn tuổi hay bỏ qua!
Hàm tháo lắp (removable denture) là phương pháp phục hình răng mất cổ điển nhất, phổ biến từ nhiều thập kỷ trước. Không ...[Xem thêm]
Cách Nhận Biết Địa Chỉ Trồng Răng Uy Tín: 9 Tiêu Chí Bác Sĩ Implant Khuyên Bạn Phải Biết
Khi đọc bài viết này có thể cô chú đã từng tìm hiểu, từng đọc rất nhiều thậm chí xem rất nhiều các nha khoa quảng cáo ...[Xem thêm]
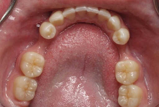
Mất nhiều răng rời rạc: Cách điều trị và tính chi phí chính xác theo từng trường hợp | Bác sĩ giải thích dễ hiểu
Mất nhiều răng đơn lẻ khác nhau, không liền nhau? Bác sĩ chỉ cách tính chi phí Implant đúng chuẩn theo từng vị trí, từng ...[Xem thêm]
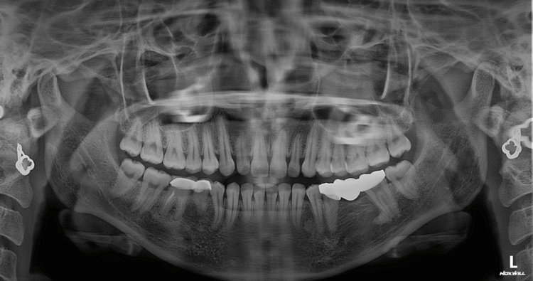
Chụp phim khi trồng răng có tác dụng gì? Bác sĩ giải thích vì sao KHÔNG THỂ bỏ qua bước này!
Khi nói đến trồng răng Implant, nhiều người nghĩ rằng chỉ cần đến nha khoa, bác sĩ “nhìn qua” răng là có thể tư vấn và ...[Xem thêm]
Chụp phim khi trồng răng có tác dụng gì? Vì sao cần thiết trước khi cấy Implant?
Chụp phim X-quang trước khi trồng răng giúp bác sĩ xác định chính xác thể tích xương, vị trí thần kinh, xoang hàm và ...[Xem thêm]













