Răng số 6 là “răng chủ lực” trong ăn nhai. Theo ThS.BS Phạm Hùng Sơn – chuyên gia Implant hơn 20 năm kinh nghiệm, nếu ...[Xem thêm]
Chi phí trồng răng mất lâu năm 2025: Giá, phương pháp & lưu ý khi bị tiêu xương
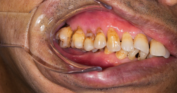
Khi bị mất răng lâu năm, nhiều cô chú thường nghĩ chỉ cần “trồng lại răng giả” là xong. Nhưng thực tế, răng mất càng lâu ...[Xem thêm]
Mất răng lâu năm: Khi nào cần tăng thể tích xương hàm bị thiếu trước khi trồng răng Implant?
Nhiều người trung niên, lớn tuổi sau khi mất răng lâu năm thường được bác sĩ thông báo: “Cần tăng thể tích xương hàm bị ...[Xem thêm]
Trồng răng Implant ở đâu tốt tại Hà Nội? Nha khoa Olympia – Địa chỉ được hàng nghìn khách hàng tin chọn
Ở độ tuổi trung niên hay lớn tuổi, việc mất răng lâu năm không chỉ ảnh hưởng đến thẩm mỹ mà còn khiến việc ăn uống khó ...[Xem thêm]
ThS BS Phạm Hùng Sơn – Bác sĩ trồng răng Implant giỏi hàng đầu Hà Nội, hơn 20 năm kinh nghiệm phục hình răng mất
Trồng răng thì ai cũng làm được — nhưng để trồng răng chắc bền, không đau, không biến chứng, và ăn nhai như răng thật ...[Xem thêm]
Nha khoa trồng răng Implant uy tín tại Hà Nội – Bác sĩ hơn 20 năm kinh nghiệm trực tiếp cấy ghép
Nhiều cô chú trung niên và người lớn tuổi sau khi mất răng thường rất băn khoăn: “Nên trồng Implant ở đâu để yên tâm, ...[Xem thêm]
Bảng giá trồng răng Implant tại Hà Nội [Cập nhật mới nhất 2025] – Giải thích chi phí rõ ràng, dễ hiểu từ chuyên gia
Khi bị mất răng, điều đầu tiên khiến nhiều cô chú lo lắng không chỉ là việc ăn nhai khó khăn hay nụ cười kém tự tin, mà ...[Xem thêm]
Bảng giá trồng răng Implant tại Hà Nội [Cập nhật mới nhất 2025] – Giải thích chi tiết từng khoản chi phí
Trong hơn 20 năm thực hiện Implant, ThS.BS Phạm Hùng Sơn nhận thấy điều khiến nhiều khách hàng băn khoăn nhất không phải ...[Xem thêm]
Cách chọn loại trụ Implant phù hợp với từng đối tượng – BS Phạm Hùng Sơn chia sẻ bí quyết lựa chọn “chuẩn – bền – tiết kiệm”
Giữa hàng ngàn nha khoa và vô số lời quảng cáo về “trồng răng Implant giá rẻ”, việc tìm được nha khoa uy tín và loại trụ ...[Xem thêm]
Cách tính chi phí trồng 1 răng Implant chính xác nhất 2026 – Chuyên gia ThS.BS Phạm Hùng Sơn giải đáp
Khi bị mất một chiếc răng, nhiều cô chú, anh chị thường rơi vào hoang mang, lo lắng: “Không biết mình nên trồng răng thế ...[Xem thêm]













