Nhiều cô chú khi được bác sĩ tư vấn “nên bọc chụp răng sứ sau khi điều trị tủy” thường thắc mắc: “Tôi vừa chữa tủy ...[Xem thêm]
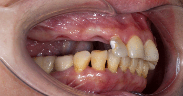
Răng bị sâu chỉ còn chân nhổ hay không nhổ có nguy hiểm không?
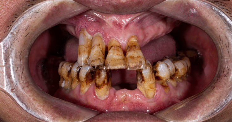
Răng sâu không chỉ khiến ăn uống đau buốt, mà nếu để lâu ngày, phần thân răng có thể vỡ nát chỉ còn lại chân răng nằm ...[Xem thêm]
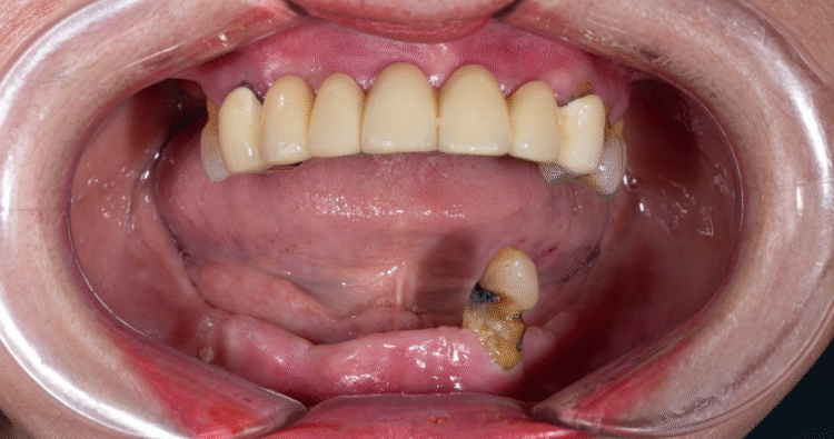
Ai nên trồng răng toàn hàm?
Ai nên trồng răng toàn hàm? Khi nào phải trồng toàn hàm 4–6 trụ và chi phí thực tế? ThS.BS Phạm Hùng Sơn giải thích ai ...[Xem thêm]
Ai nên trồng răng toàn hàm? Khi nào phải trồng toàn hàm và chi phí 4–6 trụ (cập nhật 2025)
Ai nên trồng răng toàn hàm? Trường hợp mất răng thế nào thì phải trồng toàn hàm — hướng dẫn chuyên sâu từ ThS.BS Phạm ...[Xem thêm]
Sự thật đằng sau “Trồng răng giá rẻ 1,9 – 2,9 – 3,9 triệu”
Trồng răng giá rẻ 1,9 – 3,9 triệu nghe hấp dẫn, nhưng sự thật lại tiềm ẩn nhiều rủi ro: trụ trôi nổi, không rõ nguồn ...[Xem thêm]
ĐỪNG NHỔ RĂNG OAN khi thấy răng lung lay: Khi nào NHỔ? Khi nào GIỮ RĂNG?
Răng lung lay chưa chắc đã phải nhổ! ThS.BS Phạm Hùng Sơn chia sẻ cách nhận biết khi nào nên giữ, khi nào bắt buộc phải ...[Xem thêm]
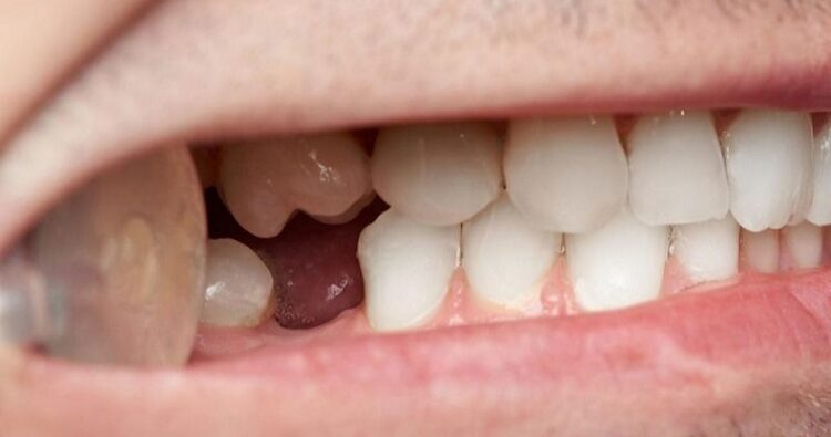
Mất 2 răng liên tiếp: Cách tính chi phí trồng Implant CHÍNH XÁC nhất 2025
Bị mất 2 răng liên tiếp như răng 6–7 hay 4–5 khiến ăn nhai khó khăn? ThS.BS Phạm Hùng Sơn (hơn 20 năm kinh nghiệm ...[Xem thêm]
Cách tính chi phí trồng răng Implant khi mất nhiều răng – Bác sĩ hướng dẫn chi tiết từng trường hợp
Theo thống kê tại Nha khoa Olympia, có đến 60% bệnh nhân mất răng không chỉ mất 1 chiếc mà thường mất nhiều răng liên ...[Xem thêm]
Bảng giá trồng răng mới nhất 2025 – Giải thích chi tiết từng khoản chi phí trồng răng Implant
Trồng răng Implant là phương pháp phục hồi răng mất được nhiều cô chú lựa chọn hiện nay nhờ độ bền cao, thẩm mỹ và ăn ...[Xem thêm]
Mất răng cửa do tai nạn: phải làm gì ngay lập tức?
Mất răng cửa không chỉ làm mất thẩm mỹ mà còn ảnh hưởng đến phát âm, khả năng ăn nhai và tâm lý của người bị tai nạn. ...[Xem thêm]













